Logo

American Heart Association

  46
  0


Final ID: MP1050

The Valve That Wasn't: Unraveling a Diagnostic Mystery

Abstract Body (Do not enter title and authors here): Background
Dynamic left ventricular outflow tract (LVOT) obstruction can clinically and echocardiographically mimic aortic stenosis (AS). We report an elderly patient with presumed AS ultimately diagnosed with dynamic LVOT obstruction via invasive hemodynamic assessment, highlighting diagnostic pitfalls and management implications.

Case
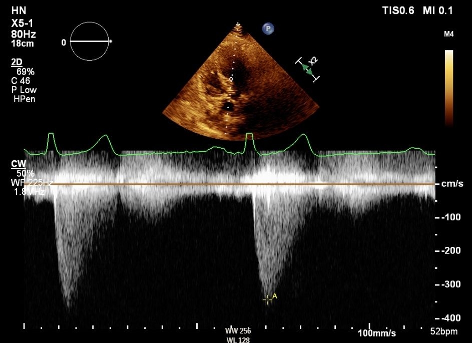
A 68-year-old male with history of hypertension was referred from another hospital for aortic valve (AV) replacement evaluation due to a few months of progressively worsening exertional chest pain and dyspnea. Exam was notable for a crescendo decrescendo systolic murmur; the patient was otherwise hemodynamically stable. ECG on arrival revealed left axis deviation and voltage criteria for left ventricular hypertrophy. Transthoracic echocardiography (TTE) report from the outside hospital mentioned “moderate to severe AS”. On admission repeat TTE revealed chordal systolic anterior motion with flow acceleration and significant LVOT pressure gradient up to 60-65mmHg while AV was hard to visualize but did not appear severely stenosed. Significant gradients were noted on continuous wave (CW) doppler of AV (Figure 1) while stepwise pulsed wave (PW) doppler was unrevealing. Based on obstructive physiology noted on TTE, therapy with a beta blocker was initiated. To further evaluate an invasive hemodynamic study was performed which did not reveal a resting gradient (Figure 2) however provocation with isoproterenol revealed LV-Ao (left ventricle to aorta) gradient which was higher with increasing doses (Figure 3). Furthermore, aortic waveform morphology and post PVC (premature ventricular contraction) response also revealed dynamic LVOT obstruction. Transducers were switched to verify findings and catheter pullback did not demonstrate any zero error. A final diagnosis of dynamic LVOT obstruction with no hemodynamically significant AV stenosis was made and patient was discharged on beta blockers with plan to consider septal reduction strategies if symptoms persist despite optimal medical therapy. He stayed asymptomatic and follow up echo did not reveal any gradient.

Discussion
This case highlights diagnostic limitations of noninvasive imaging especially with suboptimal valve visualization. In patients with equivocal TTE findings of AS and elevated LVOT pressure gradient, invasive hemodynamic testing with provocation maneuvers is essential to reach appropriate diagnosis to ensure targeted management and avoid unnecessary valve interventions.
  • Javed, Muhammad Abdullah  ( Baylor College of Medicine , Houston , Texas , United States )
  • Abidin, Zain Ul  ( Aga Khan University , Karachi , Sindh , Pakistan )
  • Abdul Jabbar, Ali Bin  ( Creighton University , Omaha , Nebraska , United States )
  • Liu, Jing  ( Baylor College of Medicine , Houston , Texas , United States )
  • Khalid, Umair  ( Baylor College of Medicine , Houston , Texas , United States )
  • Author Disclosures:
    Muhammad Abdullah Javed: DO NOT have relevant financial relationships | Zain Ul Abidin: No Answer | Ali Bin Abdul Jabbar: DO NOT have relevant financial relationships | Jing Liu: No Answer | Umair Khalid: No Answer
Meeting Info:

Scientific Sessions 2025

2025

New Orleans, Louisiana

Session Info:

Heart Failure Potpourri: From Horses to Zebras

Saturday, 11/08/2025 , 12:15PM - 01:15PM

Moderated Digital Poster Session

More abstracts on this topic:
A Pressure-Volume Loops Approach Predicts Outcomes After Double Switch Operation For Congenitally Corrected Transposition Of The Great Arteries with Intact Ventricular Septum

Thatte Nikhil, Del Nido Pedro, Ghelani Sunil, Hammer Peter, Marx Gerald, Beroukhim Rebecca, Gauvreau Kimberlee, Callahan Ryan, Prakash Ashwin, Emani Sitaram, Hoganson David

Multinational Clinical and Community-based Validation of PRESENT-SHD, an Ensemble Deep Learning Approach for the Detection of Multiple Structural Heart Disorders Using Electrocardiographic Images

Dhingra Lovedeep, Khera Rohan, Aminorroaya Arya, Pedroso Aline, Sangha Veer, Brant Luisa, Barreto Sandhi, Ribeiro Antonio Luiz, Krumholz Harlan, Oikonomou Evangelos

More abstracts from these authors:
You have to be authorized to contact abstract author. Please, Login
Not Available