Logo

American Heart Association

  73
  0


Final ID: MP200

Stress Cardiomyopathy Without Acute Stress: Potential Delayed Impact of a Neurological Insult

Abstract Body (Do not enter title and authors here): Background: Takotsubo syndrome (TTS) is a reversible cardiac condition typically triggered by acute stress, causing transient left ventricular dysfunction. Neurological insults like subarachnoid hemorrhage (SAH) can precipitate TTS, usually within days. Delayed TTS presentations without acute stressors are rare and poorly understood. We report a unique case of TTS occurring three months post-SAH, highlighting latent brain-heart interactions.

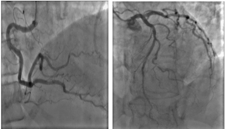
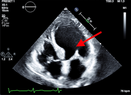
Case Discussion: A 71-year-old postmenopausal woman presented with acute dyspnea and elevated troponin (2900 pg/mL). Her history included traumatic SAH three months prior with a normal echocardiogram at that time. Electrocardiogram showed non-specific T-wave changes . Transthoracic echocardiography revealed severe left ventricular dysfunction (ejection fraction 25-30%) with apical ballooning and mid-to-apical hypokinesis, consistent with TTS . Coronary angiography confirmed non-obstructive coronary arteries. No recent stressors or acute neurological events were identified, suggesting a delayed TTS linked to the prior SAH. Heart failure therapy was initiated; follow-up echocardiography is pending.

Conclusions: This case demonstrates a rare delayed TTS presentation three months post-SAH, challenging the typical acute timeline. It underscores the need for extended cardiac monitoring in SAH patients, particularly postmenopausal women, to detect latent cardiac effects. Prospective studies are essential to elucidate the pathophysiology and temporal variability of delayed TTS.
  • Paudel, Hemraj  ( Ascension Saint Joseph Hospital , Chicago , Illinois , United States )
  • Paudel, Binod  ( Pokhara Academy of Health Sciences , Kushma , Nepal )
  • Sharma, Sushil  ( Warrington and Halton Halton , Warrington , United Kingdom )
  • Haroun, Mohammed  ( Ascension Saint Joseph Hospital , Chicago , Illinois , United States )
  • Gebrecherkos, Yonas  ( Ascension Saint Joseph Hospital , Chicago , Illinois , United States )
  • Author Disclosures:
    Hemraj Paudel: DO NOT have relevant financial relationships | Binod Paudel: DO NOT have relevant financial relationships | Sushil Sharma: DO NOT have relevant financial relationships | Mohammed Haroun: DO NOT have relevant financial relationships | Yonas Gebrecherkos: DO NOT have relevant financial relationships
Meeting Info:

Scientific Sessions 2025

2025

New Orleans, Louisiana

Session Info:

Heart Failure and Cardiomyopathies: Disease Management

Saturday, 11/08/2025 , 03:15PM - 04:05PM

Moderated Digital Poster Session

More abstracts on this topic:
Cerebrospinal Fluid Proinflammatory Cytokines are Associated with Poor Outcome following Hemorrhagic Stroke

Sorensen Gracey, Gilmore Emily, Matouk Charles, Sheth Kevin, Kim Jennifer, Petersen Nils, Sansing Lauren, Magid-bernstein Jessica, Grychowski Lauren, Yan Jennifer, Herman Alison, He Zili, Johnson Conor, Beatty Hannah, Jayasundara Sithmi, Falcone Guido

Accentuated Effect of Transportation Noise Exposure on Cardiovascular Risk in Individuals with Anxiety and Depression

Saeed Fatima, Khawand Annemarie, Seligowski Antonia, Banks Jamie, Muenzel Thomas, Tawakol Ahmed, Osborne Michael, Abohashem Shady, Abikaram Krystel, Assefa Alula, Ahmad Taha, Arora Gagan, Khalil Maria, Lau Hui Chong, Aldosoky Wesam

You have to be authorized to contact abstract author. Please, Login
Not Available