Logo

American Heart Association

  84
  0


Final ID: MP1047

Acute Severe Mitral Regurgitation Due to Flail Posterior Leaflet without Chordal Rupture Following Myosin Inhibitor Treatment of Hypertrophic Obstructive Cardiomyopathy

Abstract Body (Do not enter title and authors here): Background: Acute severe mitral regurgitation (MR) in patients with hypertrophic cardiomyopathy (HCM) is commonly caused by dynamic left ventricular outflow tract (LVOT) obstruction [systolic anterior motion (SAM)-dependent] with the remaining generally caused by spontaneous or secondary (degenerative valve disease, endocarditis). In both scenarios, hemodynamic forces play a significant role. We present a unique case of acute severe MR due to rapidly developing flail P3 segment of posterior mitral leaflet in a patient with obstructive HCM successfully treated with Mavacamten.
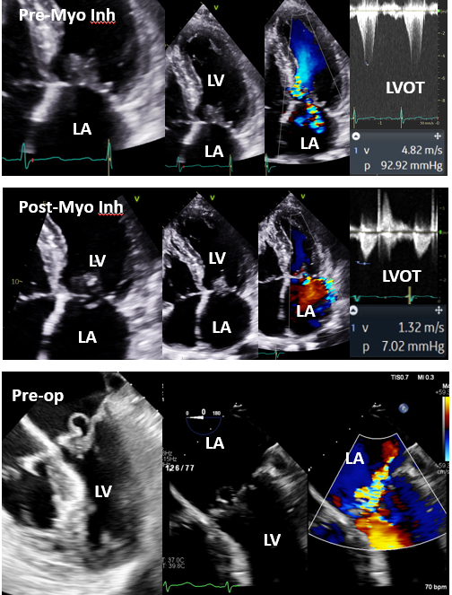
Case description: A 73-year-old female with symptomatic obstructive HCM and provoked LVOT gradients 92 (Valsalva) and 200 (exercise) mmHg and mild-moderate posteriorly directed MR was started on Mavacamten 5 mg daily (Figure, top row). No evidence of degenerative disease or prolapse was noted on baseline study. Within 3 months of treatment, she was free of symptoms and provoked LVOT gradient had decreased to <20 mmHg. Eight months after treatment, she presented with acute onset severe dyspnea and transthoracic echocardiogram showed no significant LVOT obstruction but segmental posterior leaflet flail with anteriorly directed severe MR that was not seen on previous studies (including 2 months prior) [Figure, middle row]. Transesophageal echocardiography (Figure, bottom row) confirmed severe prolapse (aneurysmal) of P3 segment of posterior mitral valve leaflet and severe MR. No chordal rupture was detected by echocardiography or later at surgery (extended septal myectomy, mitral valve repair with P3 triangular resection, commissuroplasty of P3-A3, and placement of annuloplasty ring). She had significant improvement in symptoms, and there was no evidence of MR, SAM, or LVOT obstruction on intraoperative transesophageal echocardiography.
Discussion: Acute severe MR in obstructive HCM is commonly dynamic and related to outflow tract obstruction due to SAM. Much less commonly, chordal rupture (either spontaneous or related to degenerative mitral valve disease or endocarditis) may result in acute severe MR. Isolated, rapidly developing severe leaflet prolapse without chordal rupture is a unique and previously not reported etiology of acute severe MR in obstructive HCM. Most unusual features of this presentation are the rapid development of marked prolapse while being treated with a potent negative inotrope and after elimination of LVOT gradients (markedly reduced intracavitary pressure).

  • Patel, Shreyan  ( St. Luke’s University Health Networ , Bethlehem , Pennsylvania , United States )
  • Taha, Israa  ( St. Luke’s University Health Networ , Bethlehem , Pennsylvania , United States )
  • Elmi, Daniel  ( Temple Lewis Katz School of Medicine , Bethlehem , Pennsylvania , United States )
  • Shirani, Jamshid  ( ST LUKES UNIVERSITY HEALTH NETWORK , Bethlehem , Pennsylvania , United States )
  • Author Disclosures:
    Shreyan Patel: DO NOT have relevant financial relationships | Israa Taha: DO NOT have relevant financial relationships | Daniel Elmi: DO NOT have relevant financial relationships | Jamshid Shirani: No Answer
Meeting Info:

Scientific Sessions 2025

2025

New Orleans, Louisiana

Session Info:

Heart Failure Potpourri: From Horses to Zebras

Saturday, 11/08/2025 , 12:15PM - 01:15PM

Moderated Digital Poster Session

More abstracts on this topic:
Effect of Mavacamten on Measures of Cardiopulmonary Exercise Testing: An Analysis of the ODYSSEY-HCM Randomized Trial

Owens Anjali, Desai Milind

Clinical Responses to Aficamten Monotherapy Compared with Metoprolol Monotherapy for Obstructive Hypertrophic Cardiomyopathy Outcomes and Disease Burden: MAPLE-HCM Responder Analysis

Wang Andrew, Claggett Brian, Costabel Juan, Correia Edileide, Dybro Anne, Elliott Perry, Kulac Ian, Lakdawala Neal, Lewis Gregory, Mann Amy, Nair Ajith, Garcia-pavia Pablo, Poulsen Steen, Reant Patricia, Schulze Christian, Solomon Scott, Sohn Regina, Berhane Indrias, Heitner Stephen, Jacoby Daniel, Kupfer Stuart, Malik Fady, Masri Ahmad, Wohltman Amy, Fifer Michael, Maron Martin, Merkely Bela, Nassif Michael, Pena Pena Maria Luisa, Barriales-villa Roberto, Bilen Ozlem, Burroughs Melissa

More abstracts from these authors:
Congestive Heart Failure Impedes Effective Fluid Resuscitation in Sepsis

Ma Zhiyuan, Krishnamurthy Mahesh, Puleo Peter, Allen David, Shirani Jamshid

Differential Outcomes of TAVR With and Without Percutaneous Coronary Intervention During Same Hospitalization

Ankola Mihir, Viqar Aamir, Yellapu Vikas, Shirani Jamshid

You have to be authorized to contact abstract author. Please, Login
Not Available