Logo

American Heart Association

  56
  0


Final ID: MP315

When Cancer Isn’t Cancer: Unmasking a Rare Cardiac Mass Impersonator

Abstract Body (Do not enter title and authors here):
Background: Transthoracic echocardiography (TTE) is a cornerstone for identifying intracardiac pathology due to its accessibility and rapid utility. However, its limited specificity can lead to diagnostic uncertainty in complex or rare cases. CT chest offers broader anatomical detail but lacks the superior tissue characterization of cardiac MRI, which better distinguishes thrombus, tumor, or infection. We present a case of disseminated cardiac aspergillosis that resembled metastatic cancer on TTE and CT, delaying treatment.

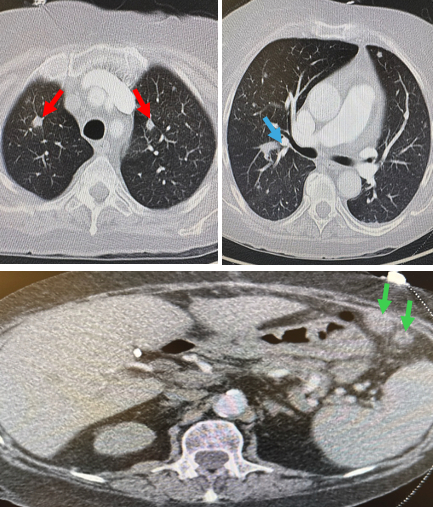
Case: A 65-year-old woman with end-stage renal disease status post renal transplant and on chronic immunosuppression presented with two days of worsening dyspnea. She was hypotensive and tachycardic but afebrile and without leukocytosis. TTE showed a moderate pericardial effusion with early tamponade physiology and a partially mobile 1.8 × 1.0 cm mass attached to the posteromedial papillary muscle, interpreted as tumor or thrombus (Figure 1). Cardiac MRI was recommended but deferred due to instability. CT chest with contrast revealed several pulmonary nodules, two masses in the right breast, and an enlarged mediastinal lymph node—findings suggestive of widespread malignancy (Figure 2). The patient then exhibited altered mental status, prompting a CT scan of the head, which identified ring-enhancing lesions in the brain (Figure 3). Subsequently, samples of blood and pericardial fluid revealed the presence of disseminated Aspergillus fumigatus.

Discussion: TTE and CT chest are useful for evaluating cardiopulmonary pathology but lack the resolution, tissue characterization, and perfusion detail that cardiac MRI provides to differentiate tumors, thrombi, vegetations, and other masses in ambiguous cases. This case highlights the need for a broad differential in immunocompromised hosts, where rare infections may mimic malignancy and where MRI may not be feasible, potentially postponing diagnosis and treatment. Disseminated aspergillosis is an uncommon yet lethal condition that should be considered in high-risk populations.

Conclusion: In immunocompromised patients, intracardiac masses or effusions on TTE or CT chest warrant a broad differential diagnosis. Fungal infections like disseminated aspergillosis may closely resemble malignancy, which can delay diagnosis and treatment. Early consideration of empiric antifungal therapy or cardiac MRI—when feasible—may improve outcomes.
  • Khalil, Omar  ( VCU Health , Richmond , Virginia , United States )
  • Alroobi, Hasan  ( VCU Health , Richmond , Virginia , United States )
  • Krayem, Hussein  ( VCU Health , Richmond , Virginia , United States )
  • Bodair, Ramez  ( VCU Health , Richmond , Virginia , United States )
  • Makkiya, Mohammed  ( VCU Health , Richmond , Virginia , United States )
  • Author Disclosures:
    Omar Khalil: DO NOT have relevant financial relationships | Hasan Alroobi: No Answer | Hussein Krayem: DO NOT have relevant financial relationships | Ramez Bodair: No Answer | Mohammed Makkiya: No Answer
Meeting Info:

Scientific Sessions 2025

2025

New Orleans, Louisiana

Session Info:

Cardiac Imaging in Cancer Therapy: Risk Prediction, Detection, and AI-Driven Insight

Saturday, 11/08/2025 , 12:15PM - 01:25PM

Moderated Digital Poster Session

More abstracts on this topic:
Catheter ablation approach and outcome in HIV+ patients with atrial fibrillation: a systematic review and meta-analysis

Mazetto Roberto, Bastos Eduarda, Guida Camila, Bulhões Elísio Bulhões, Queiroz Ivo, Antunes Vanio, Defante Maria Luiza Rodrigues, Romeiro Pedro, Barbosa Lucas, X. Mendes Beatriz, Silva Catarina

A Multicenter Friedreich Ataxia Registry Identifies Posterior Wall Thickness as a Predictor of Major Adverse Cardiac Events

Lin Kimberly, Johnson Jonathan, Mccormack Shana, Lynch David, Tate Barbara, Feng Yixuan, Huang Jing, Mercer-rosa Laura, Dedio Anna, Mcsweeney Kara, Fournier Anne, Yoon Grace, Payne Ronald, Cripe Linda, Patel Aarti, Niaz Talha

More abstracts from these authors:
Comparative Outcomes of Intra-Aortic Balloon Pump Versus Impella in Non-Myocardial Infarction Cardiogenic Shock: A National Inpatient Sample Database Analysis

Khalil Omar, White Amirah, Liu Qi, Kontos Michael, Shah Keyur, Li Pengyang, Saed Aldien Arwa, Patel Aditi, Cai Peng, Krayem Hussein, Ghoussaini Racha, Roberts Charlotte, Rao Krishnasree, Cooke Richard

Comparable Outcomes in Direct Impella Use Versus Intra-Aortic Balloon Pump-to-Impella Escalation Strategy in Cardiogenic Shock

Patel Aditi, Shah Keyur, Li Pengyang, Wahba Romani, Cai Peng, Khalil Omar, Ghoussaini Racha, Gabrah Kirollos, Tchoukina Inna, Smallfield Melissa, Kontos Michael

You have to be authorized to contact abstract author. Please, Login
Not Available