Logo

American Heart Association

  64
  0


Final ID: Mo3094

A Rare Association of Darier’s Disease and Dilated Cardiomyopathy: A Case Report Exploring the Cardiac Implications of ATP2A2 Mutation

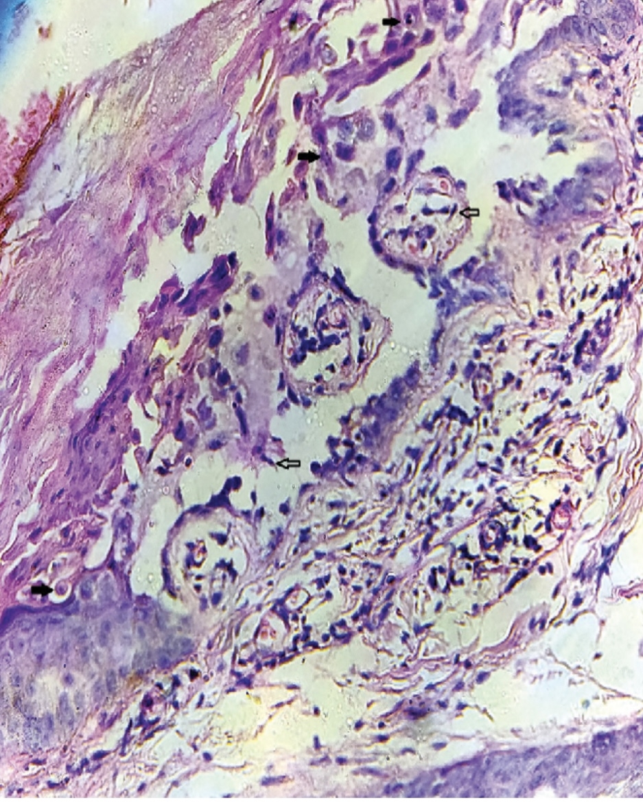
Abstract Body (Do not enter title and authors here): Darier’s disease (DD) is a rare autosomal dominant dermatologic disorder caused by mutations in the ATP2A2 gene, which encodes the sarco/endoplasmic reticulum Ca2+-ATPase pump (SERCA2). While DD is classically characterized by hyperkeratotic papules, nail changes, and mucosal involvement, ATP2A2 is also abundantly expressed in cardiac myocytes, where SERCA2a plays a central role in calcium handling and myocardial contractility. I present a unique case of dilated cardiomyopathy (DCM) in a 22-year-old male with longstanding, biopsy-confirmed DD. The patient developed progressive exertional dyspnea, orthopnea, and declining functional capacity. Dermatologic examination showed discrete hyperkeratotic papules in flexural areas and longitudinal erythronychia with distal splitting of fingernails. Echocardiography revealed global hypokinesis, dilated cardiac chambers, and a reduced left ventricular ejection fraction of 28%. Extensive evaluation excluded ischemic, infectious, autoimmune, and metabolic causes. Genetic testing identified a pathogenic heterozygous ATP2A2 mutation. Given the known cardiac expression of SERCA2a, a mechanistic link between the patient’s cutaneous and cardiac phenotypes was strongly considered. To my knowledge, this represents one of the few documented cases highlighting a potential association between DD and cardiomyopathy. This case expands the phenotypic spectrum of ATP2A2 mutations and underscores the need to consider cardiac screening in symptomatic DD patients. Recognition of such systemic associations is essential for early diagnosis, personalized care, and appropriate multidisciplinary management. Further investigation into the cardiovascular manifestations of ATP2A2-related disorders is warranted.
  • Jacob, Nidhi  ( Government Medical College Mahasamu , Pathanamthitta , India )
  • Author Disclosures:
    Nidhi Jacob: DO NOT have relevant financial relationships
Meeting Info:

Scientific Sessions 2025

2025

New Orleans, Louisiana

Session Info:

Cool Clinical Cases in Cardiomyopathies

Monday, 11/10/2025 , 01:00PM - 02:00PM

Abstract Poster Board Session

More abstracts on this topic:
Atrial Fibrillation in Genotyped Dilated Cardiomyopathy: Epidemiology and Associated Risk Factors - Insights from the SHaRe Consortium

Heymans Astrid, Reza Nosheen, Helms Adam, Shore Supriya, Prasad Sanjay, Tayal Upasana, Wheeler Matthew, Fornaro Alessandra, Olivotto Iacopo, Mestroni Luisa, Wilsbacher Lisa, Balakrishnan Iswaree, Khan Sadiya, Sinagra Gianfranco, Merlo Marco, Rossano Joseph, Lin Kimberly, Ho Carolyn, Heymans Stephane, Parikh Victoria, Verdonschot Job, Lakdawala Neal, Claggett Brian, Stroeks Sophie, Stewart Garrick, Seidman Christine, Beelen Nina, Owens Anjali, Day Sharlene

A Novel Missense Mutation in TNNT2 Gene in a Lebanese Pedigree With Ebstein Anomaly And Wolf-Parkinson-White Syndrome: A Case Report

Atasi Montaser, Dankar Razan, Barakat Salim, Wehbi Jad, Refaat Marwan

You have to be authorized to contact abstract author. Please, Login
Not Available