Logo

American Heart Association

  63
  0


Final ID: MP53

Kounis Syndrome: Keeping the heart Bee-zy!

Abstract Body (Do not enter title and authors here): Background: Kounis syndrome (allergic angina syndrome) is triggered commonly by drugs, insect bites and even ice cream, causing myocardial infarction (MI). Treating this with the typical acute coronary syndrome (ACS) protocol may be clinically detrimental. We present a case of suspected type 2 Kounis syndrome in a low-resource setting.

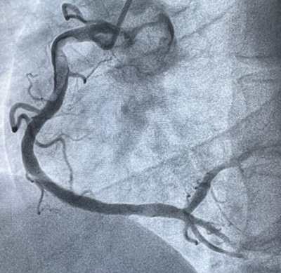
Case Description: A 45-year-old man presented to the emergency room with chest pain for the past 6 hours. He had history of multiple bee stings 14 hours ago. Review of systems was negative for rash, dizziness, palpitations or shortness of breath. He was a chronic smoker and alcoholic with no comorbidities and no history of allergies. He was conscious, oriented and his vitals were stable. ECG showed ST segment elevation in leads II, III and aVF (Figure 1). Echocardiogram showed mild left ventricular systolic dysfunction. Acute inferior wall MI and Kounis syndrome were suspected, and he was treated with routine ACS protocol, steroids and anti-histaminics. Coronary angiography showed mild, clinically insignificant atherosclerotic changes in the proximal right coronary artery (Figure 2), but absence of thrombus occluding the vessel. Patient was admitted in the cardiac intensive care unit and recovered well.

Discussion: Common triggers for Kounis are antibiotics and insect bites. Insect venom contains phospholipase A2 & 5-HT, which can be allergic or directly toxic to cardiac tissue. They activate mast cells and induce vasospasm, leading to acute MI. Most patients present immediately with anaphylaxis and ACS, but some, like our patient, present with delayed, subclinical symptoms, presenting a diagnostic challenge. Tryptase and IgE levels as diagnostic tools are still under investigation considering the short half-life and lack of sensitivity respectively, and non-availability in low-resource settings. A therapeutic oxymoron has been described - the need for systemic vasoconstrictors and myocardial vasodilators. This warrants cautious use of beta blockers and epinephrine. The use of steroids and antihistaminics are under evaluation. A consensus is yet to be reached regarding diagnosis and treatment guidelines.

Conclusion: Kounis syndrome must be considered high on differential in a case of acute MI if supporting history is positive. More research needs to be done on the long-term outcomes of the empiric treatment of suspected Kounis syndrome in low-resource settings, where advanced diagnostic tests are unavailable.
  • G.v, Vishwajit  ( Coimbatore Medical College Hospital , Coimbatore , India )
  • Dhanaraj, Chakkravarthi  ( Coimbatore Medical College Hospital , Coimbatore , India )
  • Vijayakumar, Keerthika  ( Mayo Clinic , Rochester , Minnesota , United States )
  • Manikandan, Kanishka  ( St David's Medical Center , Austin , Texas , United States )
  • J, Yashwanth  ( Coimbatore Medical College Hospital , Coimbatore , India )
  • K, Ranjith  ( Coimbatore Medical College Hospital , Coimbatore , India )
  • Author Disclosures:
    Vishwajit G.V: DO NOT have relevant financial relationships | CHAKKRAVARTHI DHANARAJ: No Answer | Keerthika Vijayakumar: DO NOT have relevant financial relationships | KANISHKA MANIKANDAN: DO NOT have relevant financial relationships | Yashwanth J: No Answer | Ranjith K: No Answer
Meeting Info:

Scientific Sessions 2025

2025

New Orleans, Louisiana

Session Info:

Complex Cases and Bold Solutions: Innovations in Advanced Cardiovascular Care

Saturday, 11/08/2025 , 10:45AM - 12:00PM

Moderated Digital Poster Session

More abstracts on this topic:
Association Between the Severity of Coronary Artery Stenosis with the Minimum Responsive Dose of Intracoronary Ergonovine Provocation Test

Rha Seung-woon, Park Chang Gyu, Oh Dong, Ahn Woo Jin, Hyun Sujin, Cha Jinah, Choi Se Yeon, Choi Byoung Geol, Sinurat Markz, Park Soohyung, Choi Cheol Ung

Association Between the Severity of Coronary Artery Stenosis with the Minimum Responsive Dose of Intracoronary Acetylcholine Provocation Test

Rha Seung-woon, Park Chang Gyu, Oh Dong, Ahn Woo Jin, Hyun Sujin, Cha Jinah, Choi Se Yeon, Choi Byoung Geol, Sinurat Markz, Park Soohyung, Choi Cheol Ung

More abstracts from these authors:
Incidence and Risk Factors for Atrial Arrhythmia in Adults with Systemic Right Ventricle

Havangi Prakash Shisheer, Ahmad Rimsha, Chiriac Anca, Connolly Heidi, Egbe Alexander, Deshmukh Abhishek, Asirvatham Samuel, Vijayakumar Keerthika, Madhavan Malini

Causes and Predictors of Mortality in Adults with Congenital Heart Disease: A Single Center Study

Nallathambi Naveenkumar, Madhavan Malini, Pradeep Aishwarya, Vijayakumar Keerthika, Egbe Alexander, Miranda William, Burchill Luke, Connolly Heidi, Deshmukh Abhishek, Nguyen Duy

You have to be authorized to contact abstract author. Please, Login
Not Available