Logo

American Heart Association

  19
  0


Final ID: Sa4008

Heart Failure in Anti-MDA5 Dermatomyositis: A Rare Manifestation of an Amyopathic Inflammatory Myopathy

Abstract Body (Do not enter title and authors here): Background:
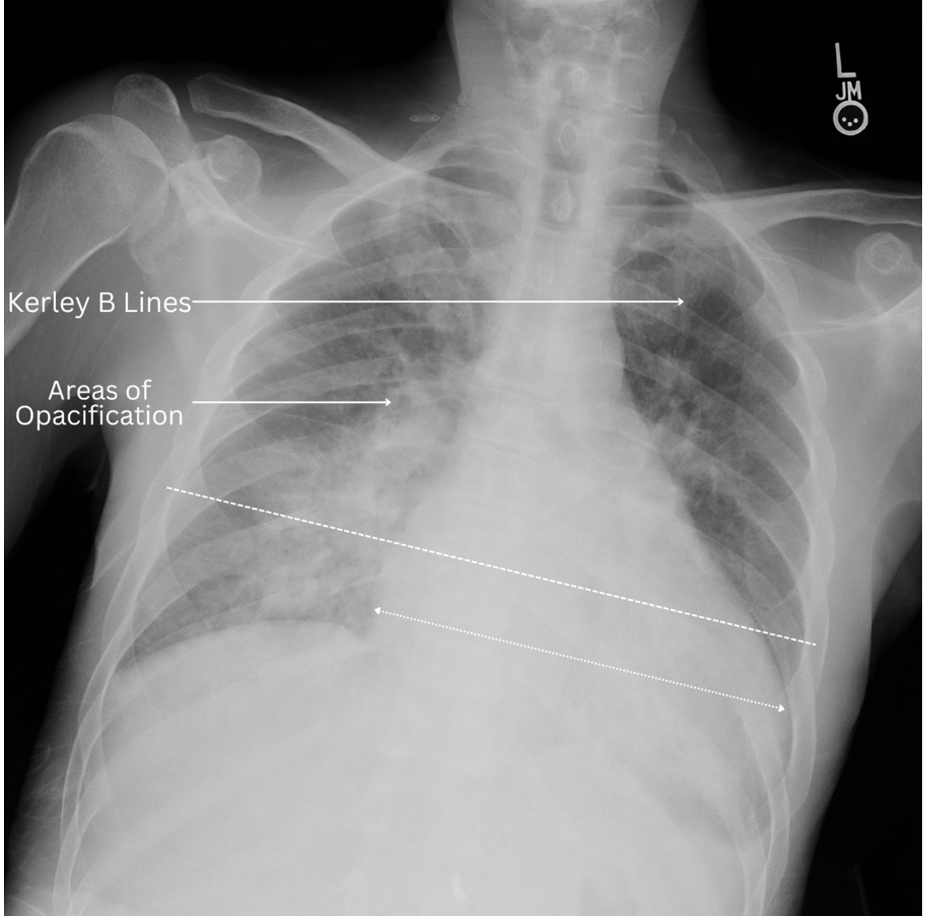
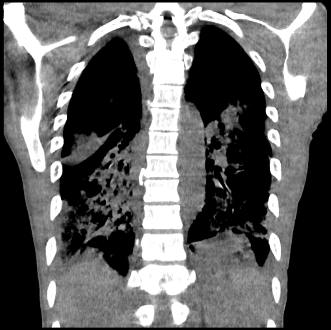
Anti-MDA5 dermatomyositis is a rare subtype of idiopathic inflammatory myopathy with high mortality, often due to interstitial lung disease (ILD). Myocardial involvement, although rarer, can be life-threatening. Early diagnosis and management can significantly impact outcomes.
Case:
A 47-year-old male with supposed history of rheumatoid arthritis (RA) presented with shortness of breath and had a cardiac arrest in the ED. He was found to have an ejection fraction of 10-15%. Ischemic evaluation and genetic testing were negative. Dermatologic findings of the Gottron sign, heliotrope rash, shawl sign, and mechanic’s hands were noted along with crackles in his lungs. Inflammatory markers were elevated but creatine kinase (CK) and aldolase were normal. Rheumatoid factor, anti-CCP, and anti-Jo-1 antibodies were negative. Myositis panel revealed high positive MDA-5 antibodies. Lung biopsy revealed ILD and endomyocardial biopsy showed evidence of inflammation. He was treated with steroids and intravenous immunoglobulin with inotropic support.
Decision-Making:
Anti-MDA5 dermatomyositis is known to be associated with high mortality related to rapidly progressive ILD. In contrast, this patient’s course was dominated by myocardial disease. Cardiac involvement in clinically apparent in only 10-20% of patients, and myocardial inflammation can lead to complications with poor outcomes. Furthermore, the lack of classic weakness and normal CK and aldolase posed a diagnostic challenge. Early diagnosis and initiation of anti-inflammatory therapy is essential to mitigate the high mortality rates associated with this elusive disease.
Conclusion:
This case illustrates the diagnostic challenges of anti-MDA-5 positive dermatomyositis, highlighting heart failure as a rare presentation.
  • Kalra, Shekhar  ( Maulana Azad Medical College , New Delhi , India )
  • Hirenallur Lohithaswa, Pareekshith  ( Bangalore Medical College and Resea , Bengaluru , India )
  • Gohri, Jay  ( JSS Medical College , New Delhi , India )
  • Rantanen, Petra  ( Emory University , Atlanta , Georgia , United States )
  • Loyd, Quentin  ( Emory University , Atlanta , Georgia , United States )
  • Bhatt, Kunal  ( Emory University , Atlanta , Georgia , United States )
  • Author Disclosures:
    Shekhar Kalra: DO NOT have relevant financial relationships | Pareekshith Hirenallur Lohithaswa: DO NOT have relevant financial relationships | jay gohri: DO NOT have relevant financial relationships | Petra Rantanen: DO NOT have relevant financial relationships | Quentin Loyd: No Answer | Kunal Bhatt: No Answer
Meeting Info:

Scientific Sessions 2025

2025

New Orleans, Louisiana

Session Info:

Electrophysiology, Amyloidosis & Precision Cardiology

Saturday, 11/08/2025 , 10:30AM - 11:30AM

Abstract Poster Board Session

More abstracts on this topic:
Contemporary Diagnosis, Management, and Outcomes of Patients With Low-Gradient Severe Aortic Stenosis: A Multi-Center Analysis

Vemulapalli Sreekanth, Genereux Philippe, Lindman Brian, Elmariah Sammy, Pibarot Philippe, Peterson Benjamin, Rodriguez Evelio, Leon Martin, Mack Michael, Eberst Kyle

1-year comparison of quadruple therapy sequencing strategies for heart failure with reduced ejection fraction using an individual-based state-transition microsimulation model

Turgeon Ricky, Van Minh Tri, Loewen Peter, Hawkins Nathaniel, Sadatsafavi Mohsen, Zhang Wei, Mackay Kelly

More abstracts from these authors:
Application of Artificial Intelligence (AI) for Predictive Modelling and Imaging in Cardiac Transplantation - A Systematic Review and Meta-Analysis

Iyer Vardhini Ganesh, Chandra Mohan Trisha, Gupta Aryan, Gupta Era, Prasad Kushal, Kalra Shekhar, Chandramouli Bellur Vinay, Prasad Ananya, Oudit Omar, Magaji Rishikesh R

A Rare Case of Acute Undifferentiated Leukemia Presenting as an Isolated Cardiac Mass

Mallipeddi Tarun, Rantanen Petra, Debakey Michael, Cheng Lily, Waheed Nida

You have to be authorized to contact abstract author. Please, Login
Not Available