Logo

American Heart Association

  58
  0


Final ID: Sa1032

Computed Tomographic Images just after Successful Primary PCI Can Evaluate Symptomatic Transient ST Re-elevation Showed Transmural Myocardial Hemorrhag

Abstract Body (Do not enter title and authors here): Background
Reperfusion therapy such as percutaneous coronary intervention (PCI) is widely used in patients with acute myocardial infarction (AMI). While hemorrhagic transformation is frequently discussed in cerebral infarction following reperfusion, little attention has been given to hemorrhagic infarction in the setting of AMI. Clinically, we noticed that some patients exhibited transient ST re-elevation immediately after reperfusion, whereas others did not. This observation prompted us to investigate the potential relationship between transient ST re-elevation and the presence of myocardial hemorrhage. To this end, we performed contrast-enhanced CT scanning shortly after reperfusion therapy to evaluate myocardial bleeding.
Methods
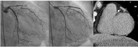
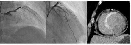
We enrolled patients diagnosed with AMI with proximal lesions in the left anterior descending artery. A CT scan was conducted within 10 minutes of the final coronary angiography to visualize dye accumulation from the base to the apex of the left ventricle. Myocardial hemorrhage was defined based on CT density: an area more than 20 Hounsfield Units (HU) above the density of the non-infarcted myocardium and less than 400 HU, to avoid interference from stents or calcifications.
Results
A total of 39 patients were studied. Among them, 11 exhibited transient ST re-elevation following reperfusion (re-elevation group), while the remaining 28 did not (no re-elevation group). In the re-elevation group, the dye volume index ranged from 9.38 to 25.46 ml/m2, whereas in the no re-elevation group, it ranged from 0 to 10 ml/m2. The difference was statistically significant, suggesting that re-elevation was associated with greater myocardial dye accumulation. Moreover, penetrating myocardial pigment elevation was frequently seen in the re-elevation group but was absent in the no re-elevation group.
Conclusion
CT imaging performed shortly after reperfusion therapy in AMI patients can help detect myocardial hemorrhage. The presence of transient ST re-elevation immediately after reperfusion may serve as a clinical indicator of myocardial hemorrhage, which tends to be transmural in such cases.
  • Omori, Kazuhira  ( University of Yamanashi , Chuo Yamanasashi , Japan )
  • Author Disclosures:
    Kazuhira Omori: DO NOT have relevant financial relationships
Meeting Info:

Scientific Sessions 2025

2025

New Orleans, Louisiana

Session Info:

Imaging Challenges in MR, CT, PET and Echo

Saturday, 11/08/2025 , 02:30PM - 03:30PM

Abstract Poster Board Session

More abstracts on this topic:
Challenges in Coronary Angiography Through Radial Artery Access due to Anatomic Variations: A Single-Center Experience

Harmouch Wissam, Khalife Wissam, Villarreal Rizzo Alan, Thakker Ravi, Abdurrahman Selma, Patel Vishal, Kumar Neha, Farooqui Salman, El Haddad Danielle, Gilani Syed

AI-driven Measurement of Myosteatosis in Coronary Artery Calcium Scans Predicts Atrial Fibrillation and Heart Failure. An AI-CVD Study within the Multi-Ethnic Study of Atherosclerosis (MESA)

Naghavi Morteza, Wong Nathan, Vliegenthart Rozemarijn, Mcconnell Michael, Maron David, Branch Andrea, Kloner Robert, Mechanick Jeffrey, Ma Ning, Yip Rowena, Fan Wenjun, Azimi Amir, Roy Sion, Nasir Khurram, Molloi Sabee, Fayad Zahi, Kakadiaris Ioannis, Abela George, Narula Jagat, Williams Kim, Shah Prediman, Benjamin Emelia, Atlas Kyle, Levy Daniel, Zhang Chenyu, Reeves Anthony, Atlas Thomas, Yankelevitz David, Mirjalili Seyed Reza, Henschke Claudia

More abstracts from these authors:
Apolipoprotein A2 as Protection Against Increased Mortality After Aortic Aneurysm Repair

Eguchi Miu, Nakamura Takamitsu, Omori Kazuhira, Horikoshi Takeo, Yoshizaki Toru, Kobayashi Tsuyoshi, Sato Akira

Prediction of major adverse clinical events using fatty liver index in patients following percutaneous coronary intervention

Yoshizaki Toru, Nakamura Takamitsu, Eguchi Miu, Omori Kazuhira, Horikoshi Takeo, Kobayashi Tsuyoshi, Sato Akira

You have to be authorized to contact abstract author. Please, Login
Not Available