Logo

American Heart Association

  22
  0


Final ID: Mo1027

An Unusual Presentation of Cerebellar Stroke Following the Removal of Microaxial Flow Pump

Abstract Body (Do not enter title and authors here): Introduction
With the rise in Microaxial Flow Pump (MAFP) usage for acute myocardial infarction (AMI) related cardiogenic shock, early recognition of MAFP complications is critical. We describe a case of a patient with a delayed diagnosis of cerebellar stroke occurring after MAFP removal.

Description of Case
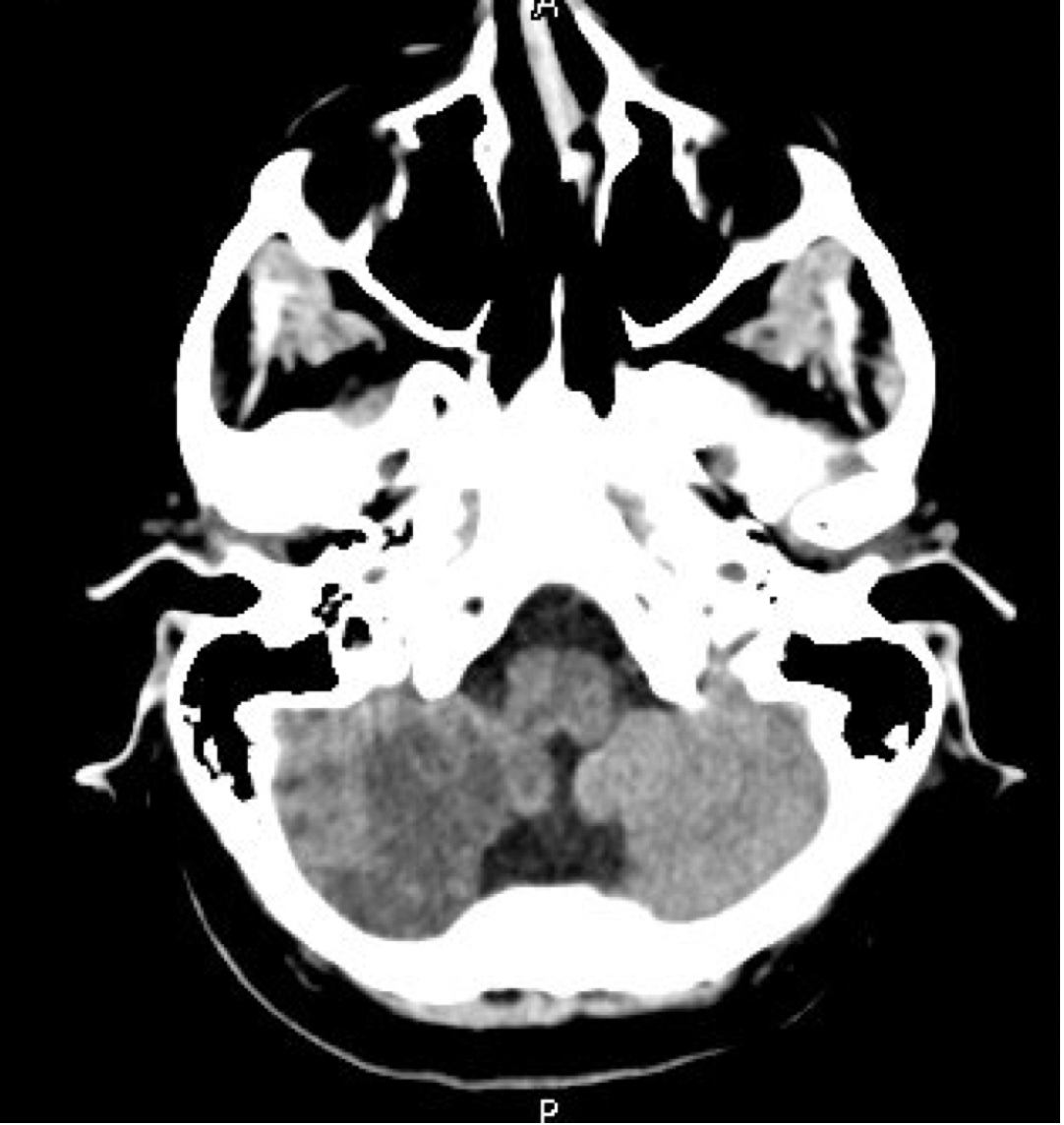
Our patient is a 71-year-old female with a history of hyperlipidemia who presented with vomiting. She reported an episode of chest pain 1 week prior that spontaneously resolved. Electrocardiogram showed anteroseptal Q waves and anterior ST segment elevations. Emergent catheterization was delayed due to concerns of nonviable myocardium with Q waves and the distant history of chest pain. Patient was tachycardic and tachypneic, but blood pressure was initially stable on arrival. Physical exam revealed elevated jugular venous pressure and mild crackles in the lung bases. Echocardiogram showed severely reduced ejection fraction of <15% with akinesis of the mid to apical walls. High sensitivity troponin increased to >60,000. Patient later developed tenuous blood pressure, increased oxygen requirement, and lactic acidosis. She was taken for a right and left heart catheterization and underwent successful aspiration thrombectomy with stenting of the proximal left anterior descending artery. MAFP was placed during the procedure and was removed on hospital day 7. After pump removal, the patient began complaining of new blurred vision and right-sided headache behind her eye. Bilateral miosis was noted without nystagmus. Initial computed tomography (CT) head reported no acute intracranial abnormalities. After two days of persistent symptoms, neurology was consulted and noted an acute infarct in the right cerebellar hemisphere after independent review of the CT head. Brain magnetic resonance imaging (MRI) showed subacute right posterior inferior cerebellar artery (PICA) territory infarct. The patient’s neurological symptoms gradually improved over her hospital course and she was discharged to a rehab facility.

Discussion
MAFP can assist with coronary intervention and allow for myocardial recovery but comes with associated risks such as stroke. Cerebellar strokes can be rare with PICA being the most commonly involved artery. CT imaging may be normal in up to 25% of patients, which necessitates further investigation with MRI imaging. Early recognition of strokes during and after MAFP usage is essential to mitigate complications and improve future patient outcomes.
  • Liu, Zi Qian  ( University at Buffalo , Buffalo , New York , United States )
  • Alsheikh-kassim, Mohammad  ( University at Buffalo , Buffalo , New York , United States )
  • Karpenos, Joseph  ( University at Buffalo , Buffalo , New York , United States )
  • Frodey, Kevin  ( University at Buffalo , Buffalo , New York , United States )
  • Author Disclosures:
    Zi Qian Liu: DO NOT have relevant financial relationships | Mohammad Alsheikh-Kassim: DO NOT have relevant financial relationships | Joseph Karpenos: DO NOT have relevant financial relationships | Kevin Frodey: No Answer
Meeting Info:

Scientific Sessions 2025

2025

New Orleans, Louisiana

Session Info:

Echocardiography Research and Case Reports

Monday, 11/10/2025 , 01:00PM - 02:00PM

Abstract Poster Board Session

More abstracts on this topic:
Absence of standard modifiable risk factors (SMuRF-less) among 5002 Middle Eastern patients with atherosclerotic cardiovascular disease: (Interim analysis from the Jo-SMuRF Study)

Aldalal'ah Mo'men, Hammoudeh Ayman, Hamza Ibrahem, Alqudah Mohammad, Khasawneh Hasan, Alomari Sawsan, Alomari Ahmad, H. Assaf Sarah, Zaqqa Ayah, Khatatbeh Moawiah

A 50% or Greater Reduction in LDL-Cholesterol Is Associated with Improved Long-Term Outcomes and Lower Health Care Utilization After Myocardial Infarction - a SWEDEHEART study

Reitan Christian, Watanabe Alexandre, Bash Lori, Galvain Thibaut, Arnet Urs, Jernberg Tomas

You have to be authorized to contact abstract author. Please, Login
Not Available