Logo

American Heart Association

  30
  0


Final ID: MP872

Silent Storm: Aortitis and Coronary Compression Unveiled in a Healthy Woman

Abstract Body (Do not enter title and authors here): Background:
Takayasu arteritis is a rare, granulomatous large-vessel vasculitis primarily affecting the aorta and its branches. Its non-specific presentation often delays diagnosis and can increase the risk of cardiovascular complications.

Case summary:
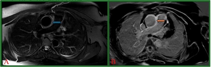
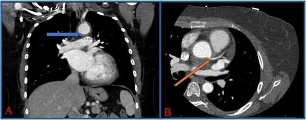
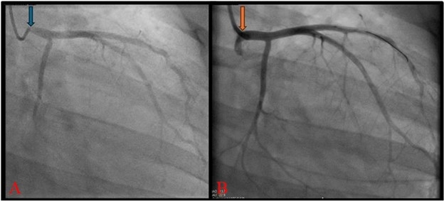
A healthy 42-year-old woman with a BRCA mutation presented for breast cancer screening via a magnetic resonance imaging (MRI). This revealed cardiomegaly, for which she was referred to our hospital for workup. Her exam revealed a widened pulse pressure (70 mmHg) and a diastolic murmur at the right upper sternal border. Subsequently, a computed tomography (CT) and transthoracic echocardiogram showed perivascular fat-stranding concerning for aortitis (Figure 1A) and aortic regurgitation (AR) with left ventricular (LV) dilation and dysfunction, respectively. These findings were confirmed with a cardiac MRI (Figure 2) and transesophageal echo. Subsequent coronary CT angiogram ruled out aortic dissection but revealed 70% ostial left main (LM) coronary artery stenosis (Figure 1B), which was confirmed on coronary angiogram (Figure 3A).
Given these findings, she was started on empiric steroids for presumed Takayasu arteritis after multidisciplinary discussions. Due to her severe AR associated with LV dysfunction and severe left main disease, she met Class I indications for surgical aortic valve replacement (SAVR) and coronary artery bypass grafting (CABG). A multidisciplinary discussion was held between cardiology, cardiothoracic surgery, and rheumatology regarding surgical timing given concerns for ongoing inflammation and associated surgical risks.
However, her course was complicated by refractory chest pain requiring nitroglycerin infusion. After extensive discussions, via shared decision-making we proceeded with a temporizing, high-risk coronary stenting as a bridge to surgery following successful tapering of immunosuppressive therapy. She underwent a successful PCI (Figure 3B) and was initiated on dual-antiplatelet therapy. Ultimately, she was discharged on a prednisone taper and methotrexate, with plans for interval SAVR and CABG once on the lowest dose steroid.

Discussion:
Timely diagnosis and treatment is crucial to improving outcomes in Takayasu arteritis. Complications such as coronary artery stenosis and AR often require surgery but can be complicated by inflammation leading to friable tissue and an increased operative risk. Multidisciplinary management is key for optimal management and timing of such.
  • Ye, Linda  ( Kaiser Permanente , San Francisco , California , United States )
  • Min, Kyung  ( Kaiser Permanente , San Francisco , California , United States )
  • Lien, Tann  ( Kaiser Permanente , San Francisco , California , United States )
  • Lee, Emily  ( Kaiser Permanente , San Francisco , California , United States )
  • Hamilton, Steven  ( Kaiser Permanente , San Francisco , California , United States )
  • Mina, Rina  ( Kaiser Permanente , San Francisco , California , United States )
  • Leung, Gordon  ( Kaiser Permanente , San Francisco , California , United States )
  • Author Disclosures:
    Linda Ye: DO NOT have relevant financial relationships | Kyung Min: DO NOT have relevant financial relationships | Tann Lien: No Answer | Emily Lee: DO NOT have relevant financial relationships | Steven Hamilton: DO NOT have relevant financial relationships | Rina Mina: DO NOT have relevant financial relationships | gordon leung: No Answer
Meeting Info:

Scientific Sessions 2025

2025

New Orleans, Louisiana

Session Info:

Complex Aortic Pathology Clinical Case Series

Saturday, 11/08/2025 , 01:45PM - 03:00PM

Moderated Digital Poster Session

More abstracts on this topic:
A Non-odorant Olfactory Receptor Ligand Depolymerizes the Platelet Actin Cytoskeleton to Prevent Thrombosis

Aggarwal Anu, Godwin Matthew, Ali Mariya, Jennings Courtney, Rajasekar Bhairavi, Scalise Alliefair, Stauffer Shaun, Mccrae Keith, Mcintyre Thomas, Cameron Scott, Wang Nancy, Josyula Vara Prasad, Yang Moua, Young Shim, Kennedy Quinn, Samuel Reina, Sangwan Naseer, Guntupalli Suman

Analysis of Polarization Changes in Ascending Aortic Endothelial Cells Induced by Aortic Valve Regurgitation

Tamagawa Yuki, Miyagawa Shigeru, Kawamura Takuji, Harada Akima, Miyake Keisuke, Kawamura Ai, Kido Takashi, Yamashita Kizuku, Shimamura Kazuo, Saito Shunsuke

More abstracts from these authors:
A Silent Murmur: Incidental Finding of a Cardiac Paraganglioma

Min Kyung, Srikanth Kishan, Lien Tann, Hernandez Salvador, Colicci Steven, Wheeler Amber, Ting Jennifer

You have to be authorized to contact abstract author. Please, Login
Not Available