Logo

American Heart Association

  113
  0


Final ID: MP2156

The Wrong Hoofbeats: Chagas Cardiomyopathy Presenting as Ventricular Tachycardia with Misleading Lyme Serology

Abstract Body (Do not enter title and authors here): Background
Chagas cardiomyopathy is a common cause of nonischemic cardiomyopathy in Latin America and often presents with ventricular arrhythmias. With increasing global migration, the prevalence of Chagas cardiomyopathy in non-endemic regions is rising, including the United States. As such, evaluating the etiology of ventricular arrhythmias requires a broad differential. We present the diagnostic work up of a patient presenting with monomorphic ventricular tachycardia (VT), ultimately found to have Chagas cardiomyopathy.

Case
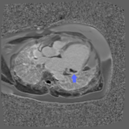
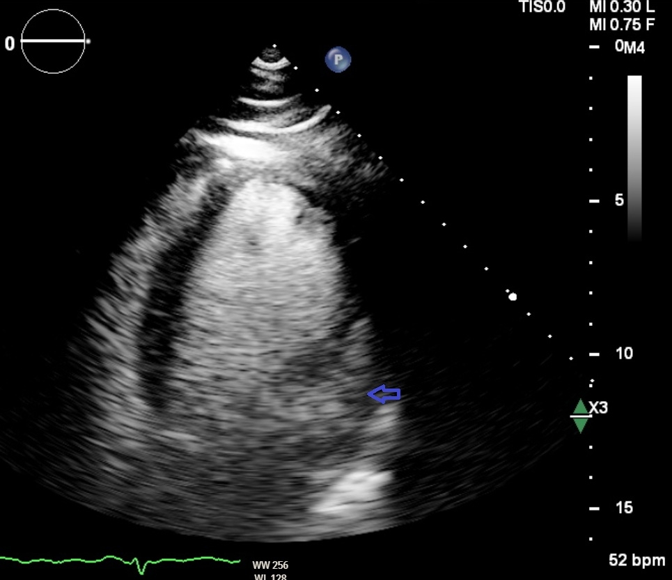
A 54-year-old Spanish-speaking male with no past medical history presented after being found unconscious and diaphoretic. Electrocardiogram demonstrated sustained monomorphic VT. After stabilization, transthoracic echocardiography revealed a left ventricular (LV) ejection fraction 30-35% with global hypokinesis and severely dilated LV cavity. Coronary angiography revealed patent coronaries. Further workup with cardiac magnetic resonance imaging demonstrated transmural late gadolinium enhancement in the basal to mid-lateral wall corresponding with hypokinetic myocardium, with a LV thrombus adjacent to the mitral valve and developing apicolateral aneurysm. An 18-fludeoxyglucose positron emission tomography scan was done which showed increased glucose uptake in the dysfunctional mid-lateral to apicolateral and anterolateral myocardium, without extracardiac evidence of sarcoid. Serologic testing was notable for an initially positive Lyme IgM, but confirmatory testing was negative. Further, serologies for Trypanosoma cruzi returned positive.

Discussion
Although imaging was initially concerning for cardiac sarcoidosis, it did not meet clinical diagnostic criteria given absence of extracardiac involvement and presence of positive Trypanosoma cruzi titers. Empiric treatment was initiated for suspected Lyme carditis as he endorsed a history of rash resembling erythema migrans prior to presentation but was discontinued once confirmatory testing was negative. He was ultimately diagnosed with Chagas cardiomyopathy, but given his high-risk Rassi score, antiparasitic therapy was deferred and confirmatory testing was not pursued. He was started on guideline-directed medical therapy for cardiomyopathy and anticoagulation for LV thrombus. Amiodarone was initiated for VT, and an automatic implantable cardioverter defibrillator was placed for secondary prevention.
  • Pu, Alex  ( University of Maryland School of Medicine , Baltimore , Maryland , United States )
  • Mysore, Manu  ( University of Maryland School of Medicine , Baltimore , Maryland , United States )
  • Leventhal, Sarah  ( University of Maryland School of Medicine , Baltimore , Maryland , United States )
  • Wade, Carol  ( University of Maryland School of Medicine , Baltimore , Maryland , United States )
  • Bruno, Shelby  ( University of Maryland School of Medicine , Baltimore , Maryland , United States )
  • Naami, Robert  ( University of Maryland School of Medicine , Baltimore , Maryland , United States )
  • Allaham, Haytham  ( University of Maryland School of Medicine , Baltimore , Maryland , United States )
  • Amara, Richard  ( University of Maryland School of Medicine , Baltimore , Maryland , United States )
  • Jones, Niya  ( University of Maryland School of Medicine , Baltimore , Maryland , United States )
  • Ananthram, Manjula  ( University of Maryland School of Medicine , Baltimore , Maryland , United States )
  • Author Disclosures:
    Alex Pu: DO NOT have relevant financial relationships | Manjula Ananthram: No Answer | Manu Mysore: DO NOT have relevant financial relationships | Sarah Leventhal: DO NOT have relevant financial relationships | Carol Wade: No Answer | Shelby Bruno: No Answer | Robert Naami: No Answer | Haytham Allaham: No Answer | Richard Amara: No Answer | Niya Jones: No Answer
Meeting Info:

Scientific Sessions 2025

2025

New Orleans, Louisiana

Session Info:

From Molecules to Man and Beyond: Interesting Cases and Studies in Heart Failure

Monday, 11/10/2025 , 12:15PM - 01:30PM

Moderated Digital Poster Session

More abstracts on this topic:
Association of Demographic and Clinical Factors with SARS-CoV-2 Anti-Nucleocapsid Antibody Response Among Previously Infected US Adults: The C4R Study

Demmer Ryan, Bell Taison, Anderson Michaela, Allen Norrina, Schreiner Pamela, Bowler Russell, Schwartz David, Lee Joyce, Xanthakis Vanessa, Rock Jean, Bievenue Rachel, Wu Chaoqi, Pirzada Amber, Doyle Margaret, Regan Elizabeth, Make Barry, Kanaya Alka, Kandula Namratha, Morganroth S, Coresh Joe, Isasi Carmen, Raffield Laura, Kim John, Elkind Mitchell, Howard Virginia, Ortega Victor, Woodruff Prescott, Cole Shelley, Henderson Joel, Mantis Nicholas, Oelsner Elizabeth, Sun Yifei, Balte Pallavi, Cushman Mary, Boyle Rebekah, Tracy Russell, Styer Linda

Association of Antiphospholipid Syndrome with Infective Endocarditis and Staphylococcal Sepsis: A U.S. Nationwide Inpatient Sample Analysis

Abofrekha Bahy, Schwartz Jessica, Lahoud Chloe, Mustafa Ahmad, Wei Chapman, Weinberg Mitchell, Amor Martin

More abstracts from these authors:
Catheter-Directed Thrombolysis is Associated with Lower Cost and Similar Mortality Compared to Mechanical Thrombectomy in High-Risk Pulmonary Embolism

Pu Alex, Annabathula Rahul, Allaham Haytham, Chahal Diljon, Toursavadkohi Shahab, Gupta Anuj

Don't Forget about the Kidneys! Case Presentation

Naami Robert, Lo Kevin, Joseph Joshua, Burka Semenawit

You have to be authorized to contact abstract author. Please, Login
Not Available