Logo

American Heart Association

  51
  0


Final ID: Mo3109

Beyond Antibiotics: Transcatheter AngioVac Debulking of Right-Sided Methicillin-Resistant Staphylococcus aureus Endocarditis in a Hemodialysis Patient

Abstract Body (Do not enter title and authors here): Background
Methicillin-Resistant Staphylococcus aureus (MRSA) infective endocarditis (IE) is a serious complication in hemodialysis patients with indwelling catheters, with mortality rates up to 30 to 40%. Right-sided IE, although less common, presents diagnostic challenges, especially when vegetations are localized to central venous structures. In catheter-associated infections, vegetations may lie in areas poorly visualized by transthoracic echocardiography. Surgical intervention carries high perioperative risk in patients with ESRD and sepsis. In select cases, transcatheter debulking with the AngioVac system may offer a minimally invasive, life-saving alternative.

Case Presentation
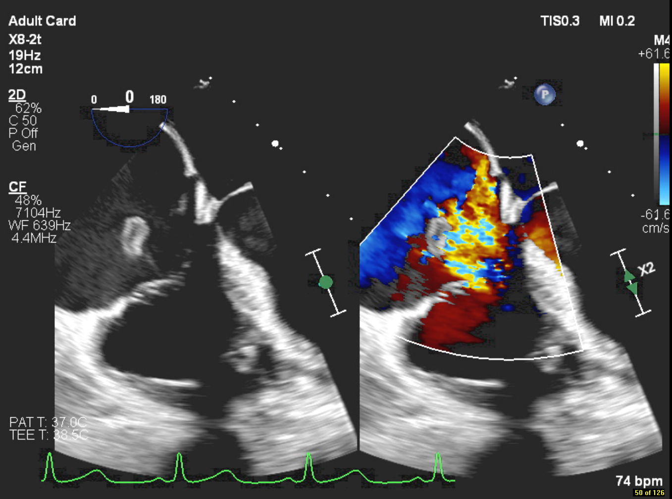
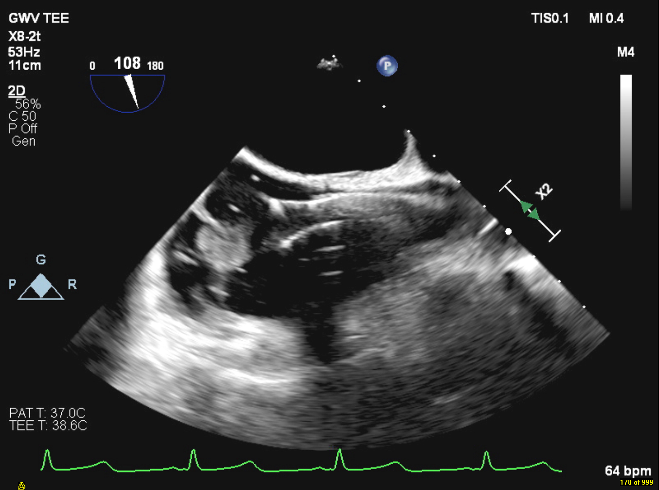
A 51-year-old female with ESRD on hemodialysis via a right tunneled catheter presented with fever and left knee pain. She was febrile and septic on admission; blood cultures grew MRSA. IV vancomycin was started, and the catheter was removed. Initial transthoracic echocardiography (TTE) showed no vegetations or intracardiac masses. CT chest post catheter removal revealed vegetations on the tricuspid valve, in the SVC, and right brachiocephalic vein with septic pulmonary emboli. Transesophageal echocardiography (TEE) showed a large, mobile, multilobular vegetation on the anterior tricuspid leaflet extending into the right atrium and SVC, with severe tricuspid regurgitation. She underwent transcatheter debulking with AngioVac, successfully removing vegetations from the tricuspid valve, SVC, brachiocephalic vein, and right heart. No residual vegetations were seen post-procedure. MRSA was also isolated from the left knee aspirate; she underwent incision and drainage. Blood cultures cleared following catheter removal and AngioVac intervention. She was discharged to a skilled nursing facility for rehabilitation and completed a six-week course of IV vancomycin.

Discussion
This case highlights the importance of early recognition and multidisciplinary management of catheter-associated MRSA IE. Vegetations may be missed on initial imaging when located in central venous structures. Catheter removal can unmask or dislodge vegetations, leading to septic emboli. Persistent bacteremia after catheter removal should raise suspicion for significant residual vegetations in the SVC or right heart chambers. In this high-risk patient, AngioVac enabled effective source control without surgery. This case highlights AngioVac as a valuable tool in managing right-sided IE in nonsurgical candidates.
  • Aghasili, Chukwuemeka  ( Geisinger Health System , Wilkes Barre , Pennsylvania , United States )
  • Nawaz, Haleema  ( Geisinger Health System , Wilkes Barre , Pennsylvania , United States )
  • Frimpong, Smith  ( Geisinger Health System , Wilkes Barre , Pennsylvania , United States )
  • Hassan, Rafla  ( Geisinger Health System , Wilkes Barre , Pennsylvania , United States )
  • Al-abboud, Omar  ( Geisinger Health System , Wilkes Barre , Pennsylvania , United States )
  • Ahmad, Tariq Ali  ( Geisinger Health System , Wilkes Barre , Pennsylvania , United States )
  • Author Disclosures:
    Chukwuemeka Aghasili: DO NOT have relevant financial relationships | Haleema Nawaz: DO NOT have relevant financial relationships | Smith Frimpong: DO NOT have relevant financial relationships | Rafla Hassan: DO NOT have relevant financial relationships | Omar Al-Abboud: No Answer | Tariq Ali Ahmad: No Answer
Meeting Info:

Scientific Sessions 2025

2025

New Orleans, Louisiana

Session Info:

Sex, Genetics, and Disparities in Aortic and Mitral Valve Disease

Monday, 11/10/2025 , 01:00PM - 02:15PM

Abstract Poster Board Session

More abstracts on this topic:
Cardiovascular Interventions and Mortality in Recurrent Infective Endocarditis and Substance Use Disorder: The Paradox of Procedure

Ali Karim, Parks Santangelo Elise, Reznikoff Charles, Bart Gavin, Shroff Gautam

Association of Demographic and Clinical Factors with SARS-CoV-2 Anti-Nucleocapsid Antibody Response Among Previously Infected US Adults: The C4R Study

Demmer Ryan, Bell Taison, Anderson Michaela, Allen Norrina, Schreiner Pamela, Bowler Russell, Schwartz David, Lee Joyce, Xanthakis Vanessa, Rock Jean, Bievenue Rachel, Wu Chaoqi, Pirzada Amber, Doyle Margaret, Regan Elizabeth, Make Barry, Kanaya Alka, Kandula Namratha, Morganroth S, Coresh Joe, Isasi Carmen, Raffield Laura, Kim John, Elkind Mitchell, Howard Virginia, Ortega Victor, Woodruff Prescott, Cole Shelley, Henderson Joel, Mantis Nicholas, Oelsner Elizabeth, Sun Yifei, Balte Pallavi, Cushman Mary, Boyle Rebekah, Tracy Russell, Styer Linda

More abstracts from these authors:
You have to be authorized to contact abstract author. Please, Login
Not Available