Logo

American Heart Association

  55
  0


Final ID: MP2456

Presence of Cardiac Calcification After Congenital Heart Surgery Predicts Cardiac Complications

Abstract Body (Do not enter title and authors here): Introduction/Background
CT has been utilized to visualize cardiac calcification (CC). This tool has primarily been used to assess the burden of coronary artery disease, with established methods and clinical implications for risk stratification. In patients with congenital heart disease (CHD), CC can develop following surgical treatment, affecting heart valves and prosthetic materials, and may lead to complications such as arrhythmias and heart failure. Even with known potential risks, there has not been an assessment of the predictive value of the presence and quantification of CC for cardiac complications in CHD. The clinical impact of CC in this population remains unknown.

Research Question/Hypothesis
We hypothesized that cardiac calcification after surgical repair of CHD is associated with an increased risk of cardiac complications.

Methods/Approach
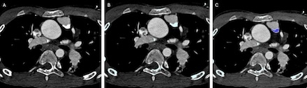
Retrospective, single center review of CT scans from patients with CHD who underwent surgical repair between 2014 and 2021. Patients with CC were identified, and cvi42® (Circle Cardiovascular Imaging, Inc) was used to quantify CC (Figure 1). These patients were age-matched to controls. Operative details and post-operative cardiac complications (atrial arrhythmias, ventricular arrhythmias, myocardial infarction, hospitalization for heart failure and cardiac arrest) were compared. Measurements were independently performed by a medical student and an attending physician, with the attending physician repeating all calculations.

A total of 229 patients were identified, including 24 with CC (Table 1). There were more cardiac complications in the CC group (63% vs. 24%, p=0.008). Patients with cardiac complications had higher calcium scores compared to those without (2074.4 vs. 491.0, p=0.006). Kaplan-Meier analysis demonstrated a significant association between the presence of CC and the occurrence of complications over time (p=0.009, Figure 2). The weighted Kappa value for inter-reader variability was 0.71.

Conclusion
CC after CHD surgery is associated with an increased risk of cardiac complications. This finding underscores the potential value of monitoring CC after CHD surgery for risk stratification and early intervention. While prior studies primarily focused on coronary calcification, our study broadens the scope by examining intracardiac calcification in postoperative CHD patients. Future research is needed to explore preventive interventions to reduce calcification-related complications.
  • Hindosh, Ziad  ( UNIVERSITY OF ARIZONA , Tucson , Arizona , United States )
  • Seckeler, Michael  ( UNIVERSITY OF ARIZONA , Tucson , Arizona , United States )
  • Hoyer, Andrew  ( UNIVERSITY OF ARIZONA , Tucson , Arizona , United States )
  • Author Disclosures:
    Ziad Hindosh: DO NOT have relevant financial relationships | Michael Seckeler: DO have relevant financial relationships ; Consultant:Abbott:Active (exists now) | Andrew Hoyer: No Answer
Meeting Info:

Scientific Sessions 2025

2025

New Orleans, Louisiana

Session Info:
More abstracts on this topic:
A Beta Tubulin Mutation Suppresses Arrhythmias and Improves Connexin 43 Localization in Heart of Duchenne Muscular Dystrophy Mice

Zhou Delong, Liu Tong, Yehia Ghassan, Romanienko Peter, Rodney George, Wehrens Xander, Lampe Paul, Gourdie Robert, Xie Lai-hua, Fraidenraich Diego, Nouet Julie, Mesa Elam, Yegneshwaran Vasisht, Geukgeuzian Geovanni, Adibemma Ifeanyichukwu, Nandakumar Swetha, Ramirez Edwin, Li Hong

A Machine Learning-Derived Socio-Environmental Risk Score More Accurately Predicts Cardiovascular Events and Better Addresses Health Inequities than Social Deprivation Index

Chen Zhuo, Nasir Khurram, Al-kindi Sadeer, Rajagopalan Sanjay, Ponnana Sai Rahul, Dazard Jean-eudes, Zhang Tong, Dong Weichuan, Okyere Robert, Sirasapalli Santosh, Deo Salil, Khraishah Haitham

More abstracts from these authors:
Association Between G6PD Deficiency and Congenital Heart Disease Incidence and Hospital Outcomes

Hendrickson Alana, Caryl Natalie, Meziab Omar, Andrews Jennifer, Barber Brent, Seckeler Michael

Hospital outcomes of patients with type 1 diabetes mellitus and moderate and severe congenital heart disease

Bose Cameron, Chin Cindy, Caryl Natalie, Meziab Omar, Barber Brent, Andrews Jennifer, Seckeler Michael

You have to be authorized to contact abstract author. Please, Login
Not Available