Logo

American Heart Association

  52
  0


Final ID: MP870

Dynamic Left Ventricular Outflow Tract Obstruction in a Patient Post Transcatheter Aortic Valve Replacement Induced by Left Bundle Branch Area Pacing Following Atrioventricular Junction Ablation

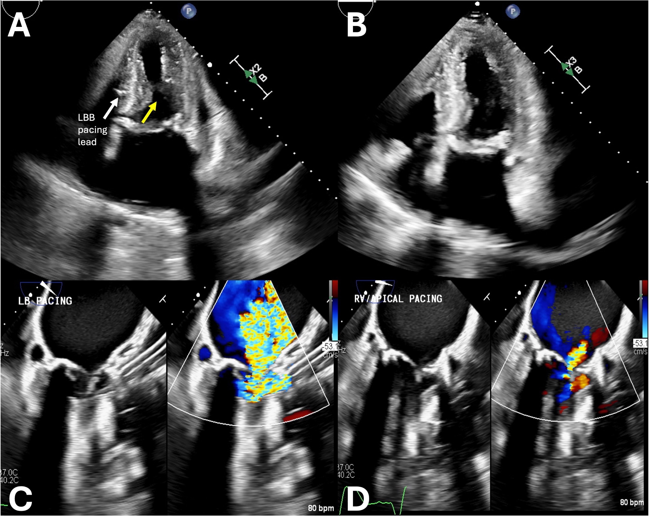
Abstract Body (Do not enter title and authors here): Description of Case: An 81-year old-female with paroxysmal atrial fibrillation (AF) and severe aortic stenosis presented with AF with rapid ventricular response and volume overload. She had undergone an uncomplicated transcatheter aortic valve replacement (TAVR) 14 days prior with post procedure echocardiogram (TTE) demonstrating ejection fraction greater than 70%, a mean gradient across the TAVR valve of 11 mmHg, and mild mitral regurgitation (MR). Management included diuresis, rate control, and a failed cardioversion. TEE at the time of cardioversion, while tachycardic, demonstrated systolic anterior motion of the mitral valve (SAM) but no gradient across the aortic valve. She underwent atrioventricular (AV) junction ablation and placement of a left bundle branch area pacing (LBBAP) lead. Immediately post-procedure, she developed acute dyspnea and a new systolic murmur. Right heart catheterization revealed pulmonary artery pressure 90/30 mmHg and wedge pressure 39 mmHg with a prominent v-wave, and cardiac index of 1.6 L/min/m2. A simultaneous LV-AO pressure tracing demonstrated a gradient of 52 mmHg. TTE revealed a late-peaking doppler signal across the aortic valve with a peak velocity of 4 m/s, SAM, and severe MR. An Impella CP was placed for circulatory support. TTE revealed the LBBAP lead was adjacent to a 1.8 cm basal septal bulge (Figure 1). The next day, a transvenous RV apical pacing lead was placed, and simulatenous LV-AO pressure tracing revealed a peak-to-peak gradient of 45 mmHg during LBBAP, which immediately decreased to 5 mmHg with RV apical pacing (Figure 2). This led to a decrease in MR from severe to mild. Given the dynamic nature of the obstruction, alcohol septal ablation was performed. The Impella CP was removed and vasopressors were weaned. A permanent RV apical lead was added and used for pacing. The patient remained hemodynamically stable and was discharged to rehabilitation.
Discussion: This case highlights a report of dynamic left ventricular outflow tract (LVOT) obstruction precipitated by LBBAP in a patient post-TAVR who previously did not have evidence of LVOT obstruction. Previously, RV apical pacing was a seldom used treatment for obstructive hypertrophic cardiomyopathy. Changing the pacing location to RV apical pacing instantly resolved the LVOT obstruction highlighting the need to be wary of pacing strategies in post TAVR patients who may have septal hypertrophy and may be at risk of LVOT obstruction secondary to LBBAP.
  • Rahim, Muhammed  ( Johns Hopkins Hospital , Baltimore , Maryland , United States )
  • Sumner, Brian  ( Valley Hospital , Paramus , New Jersey , United States )
  • Rai, Ashish  ( Valley Hospital , Paramus , New Jersey , United States )
  • Chang, Ernest  ( Valley Hospital , Paramus , New Jersey , United States )
  • Goldschmidt, Howard  ( Valley Hospital , Paramus , New Jersey , United States )
  • Mittal, Suneet  ( Valley Hospital , Paramus , New Jersey , United States )
  • Tayal, Rajiv  ( Valley Hospital , Paramus , New Jersey , United States )
  • Habibi, Mohammadali  ( Valley Hospital , Paramus , New Jersey , United States )
  • Rahim, Hussein  ( Valley Hospital , Paramus , New Jersey , United States )
  • Kim, Francis  ( Valley Hospital , Paramus , New Jersey , United States )
  • Kunnirickal, Steffne  ( Valley Hospital , Paramus , New Jersey , United States )
  • Grau, Juan  ( Valley Hospital , Paramus , New Jersey , United States )
  • Jabagi, Habib  ( Valley Hospital , Paramus , New Jersey , United States )
  • Burns, Paul  ( Valley Hospital , Paramus , New Jersey , United States )
  • Litwok, Yonathan  ( Valley Hospital , Paramus , New Jersey , United States )
  • Author Disclosures:
    Muhammed Rahim: DO NOT have relevant financial relationships | Brian Sumner: DO NOT have relevant financial relationships | Ashish Rai: No Answer | Ernest Chang: No Answer | Howard Goldschmidt: No Answer | Suneet Mittal: No Answer | Rajiv Tayal: No Answer | Mohammadali Habibi: No Answer | Hussein Rahim: No Answer | Francis Kim: No Answer | Steffne Kunnirickal: No Answer | Juan Grau: No Answer | Habib Jabagi: DO NOT have relevant financial relationships | Paul Burns: No Answer | Yonathan Litwok: No Answer
Meeting Info:

Scientific Sessions 2025

2025

New Orleans, Louisiana

Session Info:

Complex Aortic Pathology Clinical Case Series

Saturday, 11/08/2025 , 01:45PM - 03:00PM

Moderated Digital Poster Session

More abstracts on this topic:
A Rare Case of Epicardial Cavernous Hemangioma with Coexisting Severe Mitral Regurgitation

Abdallah Ala, Sutton Jenna, Houshmand Nazanin, Gupta Neelesh, Ahsan Chowdhury

A Remedy for the Heart and the Hemoglobin: Improvement in Anemia Post Transcatheter Aortic Valve Replacement

Matta Raghav, Roy Aanya, Hammad Bayan, Draffen Arvind, Natsheh Zachary, Tiu Daniel, Tiu David, Salem Edward, Balami Jesse, Kalagara Swetha, Gupta Neil, Uraizee Omar, Sahgal Savina, Mishra Atreya, Ene Adriana, Hattab Aleyah, Arora Aarushi, Sufyaan Humam, Dau Trang, Silberstein Jonathan, Yu Julia, Torres Kayla, Seshadri Suhas, Navarro Laura, Singam Manisha, Ismail Mariam, Rana Riya, Habeel Samer, Liu Simon, Chaganti Srinidhi, Gurbuxani Vidur, Dwyer Kaluzna Stephanie, Groo Vicki, Carlson Andrew, Shroff Adhir, Bhayani Siddharth, Khan Azmer, Bhattaram Rohan, Zhang Runze, Shah Pal

More abstracts from these authors:
Artificial Intelligence-based improvement of smartwatch detection of AF

Wan Elaine, Glotzer Taya, Mittal Suneet, Senepart Oceane, Lefebvre Baptiste

Long-term Outcomes of Anticoagulation Guided by an Implantable Loop Recorder Following Catheter Ablation of Atrial Fibrillation

Musat Dan, Mittal Suneet, Park Leah Sarang, Milstein Nicolle, Bhatt Advay, Habibi Mohammadali, Kochav Stephanie, Preminger Mark, Sichrovsky Tina, Shaw Richard

You have to be authorized to contact abstract author. Please, Login
Not Available