Logo

American Heart Association

  60
  0


Final ID: Su2083

Fibrosing Mediastinitis in Pregnancy: A Rare Case with Antepartum Hemoptysis and Airway Obstruction

Abstract Body (Do not enter title and authors here): Background:
Fibrosing Mediastinitis (FM) is a rare, progressive disorder characterized by fibrous tissue growth in the mediastinum, the compartment containing the heart, major blood vessels, trachea, and esophagus. This abnormal process can compress these structures, leading to serious complications. It is most commonly associated with Histoplasmosis but can be caused by other infections, autoimmune diseases, radiation therapy, or idiopathically. FM typically affects women in their third or fourth decades, but pregnancy-associated cases are extremely rare. Existing case reports show variable outcomes based on the extent of vascular and airway compromise and the timing of diagnosis. We present a case of FM in a pregnant patient, complicated by antepartum hemoptysis and left lung atelectasis, who was managed with an interdisciplinary approach including pulmonology and cardio-obstetrics.
Case Description:
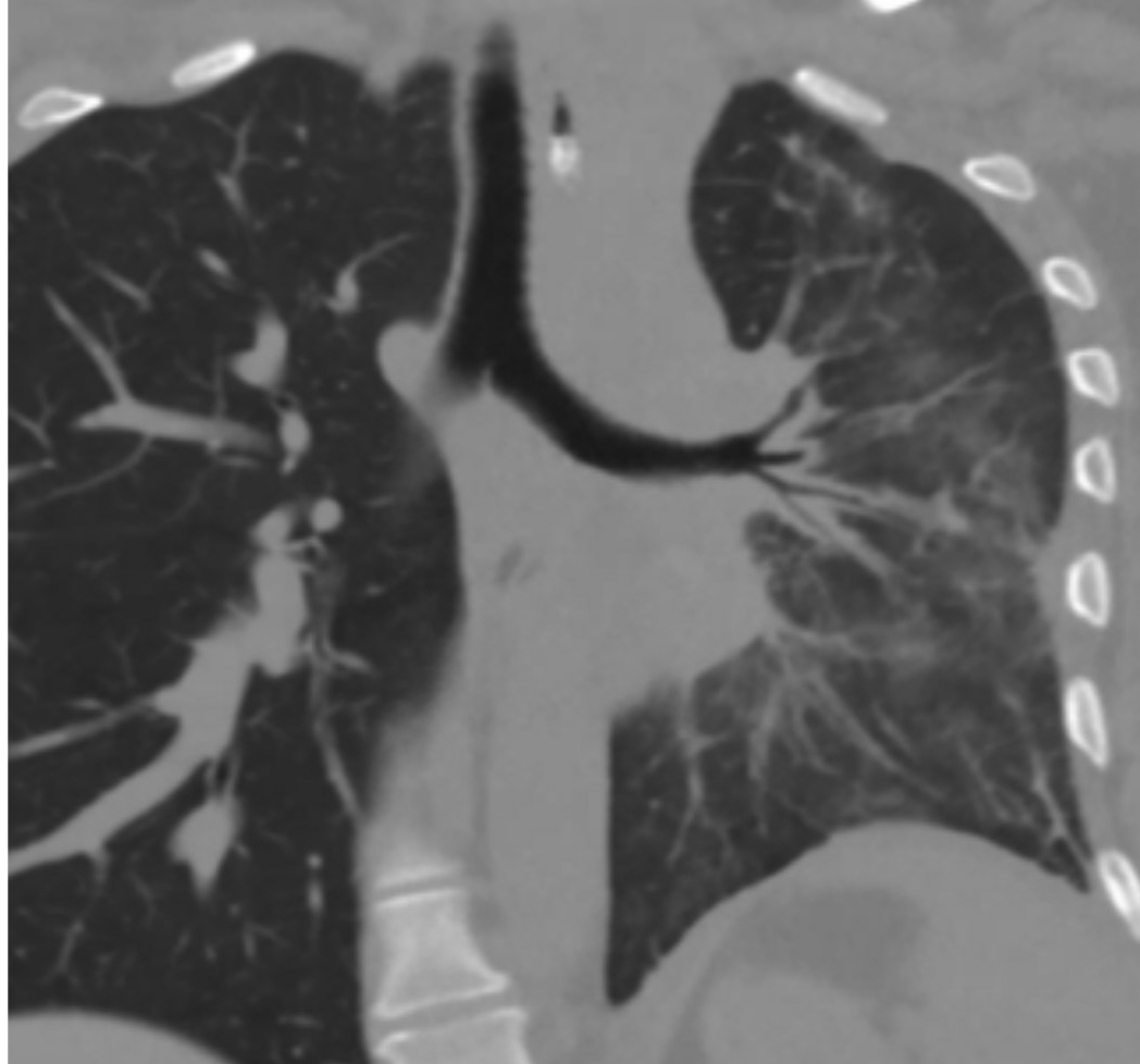
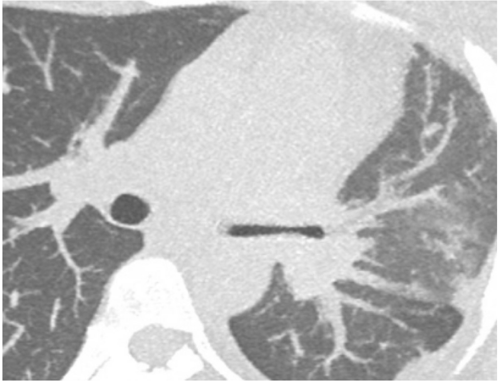
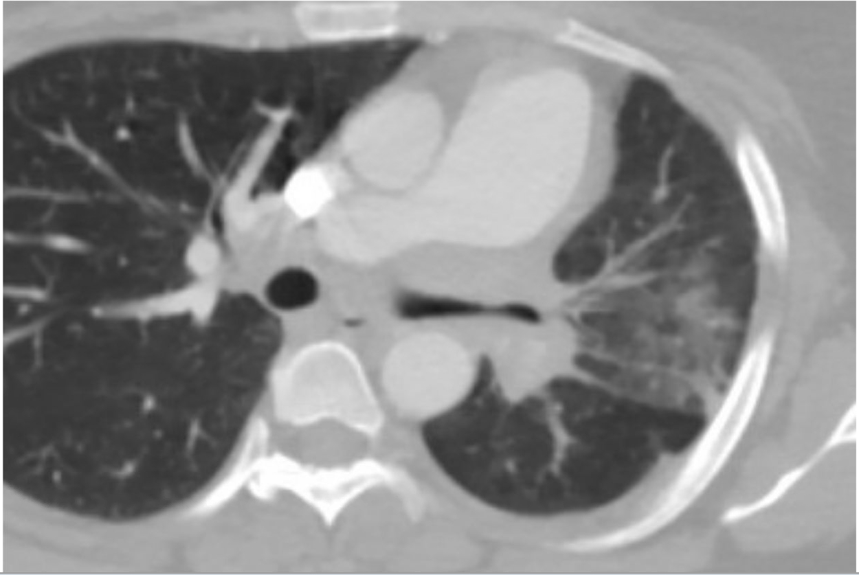
A 37-year-old G1P1 female with known idiopathic FM and a previous mediastinectomy presented at 23 weeks and 3 days with preterm labor and cervical dilation to 4 cm. She received steroids and magnesium for fetal neuroprotection. In the days prior to delivery, she experienced hemoptysis, prompting pulmonology consultation. She was managed conservatively with chest physiotherapy and nebulizers. The patient had no more hemoptysis and at 24 weeks and 1 day, she underwent classical cesarean delivery for breech presentation and non-reassuring fetal heart tones. The neonate was admitted to NICU and the patient was discharged in stable condition. Outpatient imaging revealed a stable calcified mediastinal mass causing 80% narrowing of the left main bronchus and left lung atelectasis. Subsequent bronchoscopy with balloon dilation improved airway patency, but stenting was deferred.
Discussion:
FM can remain stable during pregnancy, but physiologic changes in pregnancy such as increases in blood volume and cardiac output can be exacerbated by FM, potentially leading to pulmonary hypertension and reduced blood flow to the uterus. Notably, FM-related airway obstruction may not always present with overt respiratory distress and can be managed conservatively in select patients. Also, while balloon dilation may offer symptomatic relief, stenting decisions must be individualized based on functional status and patient preference. Finally, early multidisciplinary collaboration is crucial to prepare for peripartum respiratory complications in patients with known mediastinal pathology.
  • Trivedi, Dhruti  ( Medical College of Georgia , McDonough , Georgia , United States )
  • Chinmay, Poojita  ( Medical College of Georgia , Duluth , Georgia , United States )
  • Islam, Shaheen  ( Medical College of Georgia , McDonough , Georgia , United States )
  • Ray, Chadburn  ( Medical College of Georgia , McDonough , Georgia , United States )
  • Sharma, Gyanendra  ( Medical College of Georgia , McDonough , Georgia , United States )
  • Author Disclosures:
    Dhruti Trivedi: DO NOT have relevant financial relationships | Poojita Chinmay: DO NOT have relevant financial relationships | Shaheen Islam: No Answer | Chadburn Ray: No Answer | Gyanendra Sharma: DO NOT have relevant financial relationships
Meeting Info:

Scientific Sessions 2025

2025

New Orleans, Louisiana

Session Info:
More abstracts on this topic:
Advanced Lipid Status Parameters in Women With Preeclampsia

Gojkovic Tamara, Saric Matutinovic Marija, Ivanisevic Jasmina, Vladimirov Sandra, Spasojevic Kalimanovska Vesna, Mikovic Zeljko, Stefanovic Aleksandra, Ardalic Daniela, Antonic Tamara, Banjac Gorica, Zeljkovic Aleksandra, Vekic Jelena, Miljkovic Trailovic Milica, Munjas Jelena, Jovicic Snezana

4D Cardiac Magnetic Resonance Identifies Differences in Regional Strain Patterns Among Pediatric Heart Transplant Patients with Acute Rejection or Cardiac Allograft Vasculopathy

Henderson Christopher, Starnes Joseph, Samyn Margaret, Damon Bruce, Hernandez Lazaro, Goergen Craig, Soslow Jonathan, Prado Marco Aurélio, Earl Conner, Georgedurrett Kristen, Lee Simon, Nandi Deipanjan, Chan Kak-chen, Shugh Svetlana, Kikano Sandra

More abstracts from these authors:
You have to be authorized to contact abstract author. Please, Login
Not Available