Logo

American Heart Association

  70
  0


Final ID: MP2583

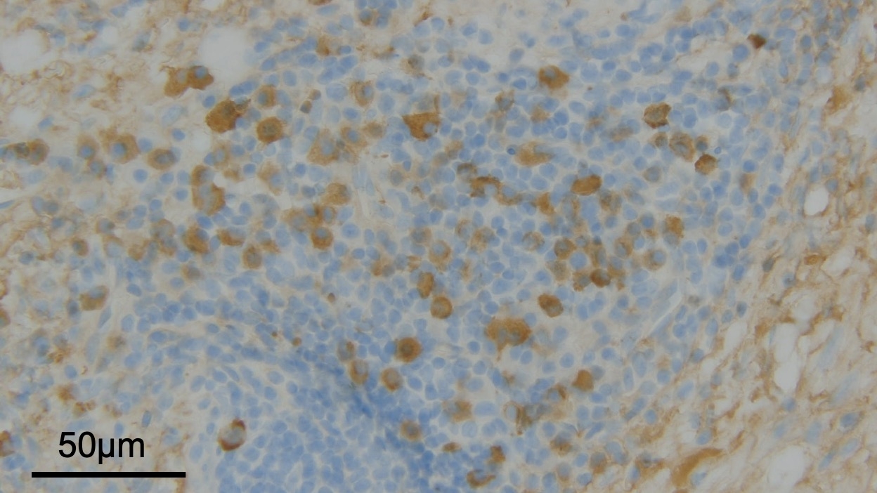
Serum levels of IgG4 as a preoperative indicator of IgG4-related abdominal aortic aneurysm

Abstract Body (Do not enter title and authors here): [Background]
Immunoglobulin G4-related disease (IgG4-RD) has systemic inflammatory fibrous lesions characterized by elevated serum IgG4 and infiltration of IgG4-positive plasmacytes that frequently form aortic aneurysm with prominent thickening of the adventitia. The relationship between preoperative serum IgG4 levels and the histopathological features of IgG4-related abdominal aortic aneurysm (IgG4-AAA) remains unclear.
[Aims]
We sought to investigate whether preoperative elevation in serum IgG4 levels is associated with histopathologically diagnosed IgG4-AAA.
[Methods]
We retrospectively recruited 26 patients (22 males, mean age: 73.0 ± 5.2 years), who underwent open surgical repair for AAA between October 2023 and February 2025. Serum IgG4 levels were preoperatively measured, and resected aneurysmal tissues were examined by hematoxylin-eosin and IgG/IgG4 immunohistochemical staining. IgG4-AAA was diagnosed according to international criteria: >10 IgG4-positive plasma cells per high-power field (HPF) and IgG4/IgG ratio >40%. The presence of storiform fibrosis and obliterative phlebitis was also assessed. Patients were categorized into a group with elevated serum levels of IgG4 (E group; IgG4>135mg/dL, n=3) and a normal group (N group; IgG4£135mg/dL, n=23).
[Results]
Fusiform aneurysms were observed in 21 patients (80.8%), saccular aneurysms in 5. The average maximum transverse diameter was 54.2±9.5mm. Among the three patients with elevated serum IgG4, two met the full histopathological criteria for IgG4-RD, while one only one of three required features. Two patients with normal IgG4 levels also met the pathologic criteria. The median IgG4 level was 164 mg/dL (interquartile range: 124–577) in the E group and 43 mg/dL (interquartile range: 34–62) in the N group. Receiving operator curve analysis for serum IgG4 levels yielded a sensitivity of 0.50, a specificity of 0.95 for the diagnosis of IgG4-RD. An area under the curve was 0.727, indicating moderate diagnostic accuracy. No significant differences in inflammatory markers or surgical outcomes were found between the 2 groups.
[Conclusion]
Elevated preoperative serum IgG4 levels were mostly consistent with histologically confirmed IgG4-AAA. Serum IgG4 may be a useful non-invasive marker for preoperative screening of IgG4-AAA.
  • Negoto, Shinya  ( Kurume University School of Medicine , Fukuoka , Japan )
  • Tahara, Nobuhiro  ( Kurume University School of Medicine , Fukuoka , Japan )
  • Sato, Yukako  ( Kurume University School of Medicine , Fukuoka , Japan )
  • Mine, Hiroki  ( Kurume University School of Medicine , Fukuoka , Japan )
  • Kanamoto, Ryo  ( Kurume University School of Medicine , Fukuoka , Japan )
  • Zaima, Yasuyuki  ( Kurume University School of Medicine , Fukuoka , Japan )
  • Kono, Takanori  ( Kurume University School of Medicine , Fukuoka , Japan )
  • Yusuke, Shintani  ( Kurume University School of Medicine , Fukuoka , Japan )
  • Takagi, Kazuyoshi  ( Kurume University School of Medicine , Fukuoka , Japan )
  • Shojima, Takahiro  ( Kurume University School of Medicine , Fukuoka , Japan )
  • Otsuka, Hiroyuki  ( Kurume University School of Medicine , Fukuoka , Japan )
  • Takaseya, Tohru  ( Kurume University School of Medicine , Fukuoka , Japan )
  • Arinaga, Koichi  ( Kurume University School of Medicine , Fukuoka , Japan )
  • Tayama, Eiki  ( Kurume University School of Medicine , Fukuoka , Japan )
  • Author Disclosures:
    Shinya Negoto: DO NOT have relevant financial relationships | Takahiro Shojima: No Answer | Hiroyuki Otsuka: No Answer | Tohru Takaseya: No Answer | Koichi Arinaga: No Answer | Eiki Tayama: No Answer | Nobuhiro Tahara: No Answer | Yukako Sato: No Answer | Hiroki Mine: DO NOT have relevant financial relationships | Ryo Kanamoto: No Answer | Yasuyuki Zaima: No Answer | Takanori Kono: DO NOT have relevant financial relationships | Shintani Yusuke: No Answer | Kazuyoshi Takagi: No Answer
Meeting Info:

Scientific Sessions 2025

2025

New Orleans, Louisiana

Session Info:

Vascular Medicine Potpourri

Monday, 11/10/2025 , 12:15PM - 01:30PM

Moderated Digital Poster Session

More abstracts on this topic:
Cardiac Troponin I3 Kinase in Viral Myocarditis

Tjen Kelsey, Farahani Nick, Parrow Lauren, Ricci Jake, Bruno Katelyn, Sucov Henry

A Potential Role for NKG2D, an NK cell receptor, in Accelerated CVD risk in African American Women Living in More Adverse Neighborhood Conditions: Data From the Step It Up Physical Activity Digital Health-Enabled, Community-Engaged Intervention

Baez Andrew, Andrews Marcus, Sandler Dana, Aquino Peterson Elizabeth, Sharda Sonal, Tolentino Katherine Joy, Lopez De Leon Shirley, Seo Jein Eleanor, Cintron Manuel, Pita Mario, Tarfa Hannatu, Baumer Yvonne, Reger Robert, Childs Richard, Powell-wiley Tiffany, Dave Ayushi, Saurabh Abhinav, Mendelsohnl Laurel, Chen Long, Igboko Muna, Wells Ayanna, Marah Marie

More abstracts from these authors:
SATISFY-JP Trial: Satralizumab, an Anti-Interleukin-6 Receptor Antibody, for Pulmonary Arterial Hypertension with an Activated Immune-Responsive Phenotype: Primary Results from the Phase II Trial

Tamura Yuichi, Miyazaki Naoki, Ukita Shoko, Inami Takumi, Abe Kohtaro, Tahara Nobuhiro, Adachi Shiro, Taniguchi Yu, Tsujino Ichizo, Kubota Kayoko, Shigeta Ayako

Incidence and Early Outcomes of Hypo-attenuated Leaflet Thrombosis after Surgical Aortic Valve Replacement with Inspiris Resilia Valve

Kono Takanori, Takagi Kazuyoshi, Mine Hiroki, Saku Kousuke, Zaima Yasuyuki, Shojima Takahiro, Takaseya Tohru, Arinaga Koichi, Tayama Eiki

You have to be authorized to contact abstract author. Please, Login
Not Available