Logo

American Heart Association

  21
  0


Final ID: Mo3093

The Hypertrophic Heart That Told Two Stories: A Case of Coexisting Hypertrophic Cardiomyopathy and Fabry Disease

Abstract Body (Do not enter title and authors here): Background
Fabry disease is a rare lysosomal storage disorder that frequently presents with concentric left ventricular hypertrophy, mimicking sarcomeric hypertrophic cardiomyopathy (HCM) both clinically and on imaging. We present a unique case of a patient with myocardial hypertrophy who was found to harbor both a pathogenic sarcomeric HCM mutation and a mutation associated with Fabry disease, highlighting the rare coexistence of these dual pathologies.
Methods
A 64-year-old female presented to the ED with a 3-day history of dyspnea and palpitations. Initial workup revealed an elevated pro-BNP of 9146 pg/mL and a troponin level of 81 ng/L. EKG showed Afib with RVR. Telemetry captured one episode of SVT lasting approximately 24–30 seconds and multiple episodes of NSVT.
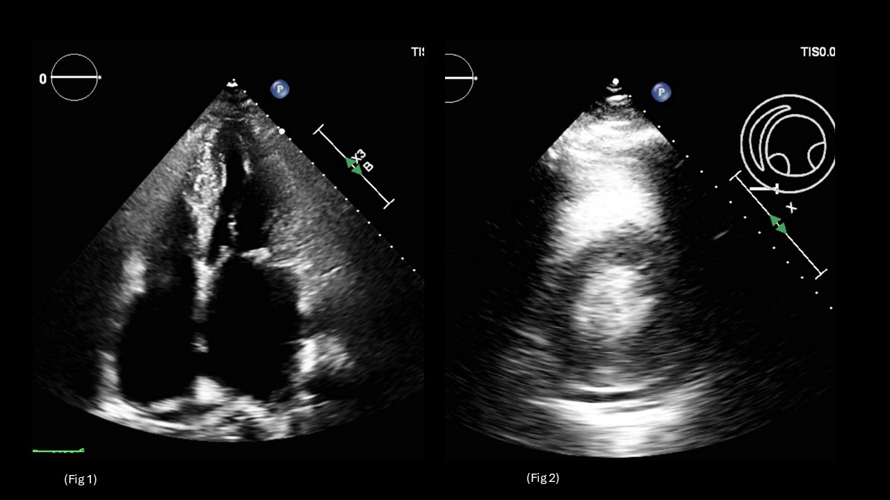
The patient was started on IV amiodarone, which resolved the SVT and NSVT, though she remained in Afib with RVR. Anticoagulation with IV heparin was initiated. Cardiology consultation recommended continuation of IV amiodarone, beta blockers, and anticoagulation. TTE revealed asymmetric left ventricular hypertrophy (LVH) involving the apex, suggestive of HCM, and severe biatrial enlargement (Fig 1 – 2). Of note, the patient had a family history of Fabry disease.
A TEE-guided cardioversion was performed, resulting in temporary restoration of sinus rhythm. Coronary angiography demonstrated mild non-obstructive CAD and normal filling pressures. She was discharged on oral amiodarone and metoprolol, with a plan for outpatient cardiac MRI.
Cardiac MRI revealed severe asymmetric LVH with lateral wall thinning and a late gadolinium enhancement pattern with elevated extracellular volume, raising concern for an infiltrative cardiomyopathy (Fig 3a – Fig 3d). Over the next 4–5 months, the patient was readmitted twice for recurrent Afib with RVR, ultimately requiring catheter ablation.
Genetic testing identified mutations in both MYBPC3, consistent with sarcomeric HCM, and GLA, confirming Fabry disease. She was referred for endomyocardial biopsy and further evaluation for potential gene-targeted therapy.
Discussion
This case illustrates the rare coexistence of sarcomeric HCM and Fabry disease in a single patient. It underscores the importance of comprehensive evaluation, including genetic testing, in patients with hypertrophic cardiomyopathy - especially when imaging or family history raises suspicion for an infiltrative or metabolic etiology.
  • Nawaz, Haleema  ( Geisinger , Wilkes Barre , Pennsylvania , United States )
  • Aghasili, Chukwuemeka  ( Geisinger , Wilkes Barre , Pennsylvania , United States )
  • Frimpong, Smith  ( Geisinger , Wilkes Barre , Pennsylvania , United States )
  • Chandran, Sindu  ( Geisinger , Wilkes Barre , Pennsylvania , United States )
  • Nawaz, Yassir  ( Geisinger , Wilkes Barre , Pennsylvania , United States )
  • Author Disclosures:
    Haleema Nawaz: DO NOT have relevant financial relationships | Chukwuemeka Aghasili: DO NOT have relevant financial relationships | Smith Frimpong: DO NOT have relevant financial relationships | Sindu Chandran: No Answer | Yassir Nawaz: DO NOT have relevant financial relationships
Meeting Info:

Scientific Sessions 2025

2025

New Orleans, Louisiana

Session Info:

Cool Clinical Cases in Cardiomyopathies

Monday, 11/10/2025 , 01:00PM - 02:00PM

Abstract Poster Board Session

More abstracts on this topic:
A REPORT OF >2000 CONSECUTIVE NON-SELECTED PATIENTS UNDERGOING IMAGING WITH PACEMAKER'S AND ICD'S IN THE MRI ENVIRONMENT; THE ADDITIVE VALUE OF A LARGE, PROSPECTIVE >20-YEAR OBSERVATIONAL STUDY

Biederman Robert, Shah Moneal, Lombardi Rich, Boltralik Mark, Mangini Francesco, Doyle Mark

A Novel Echocardiography Risk Score Predicted Mortality In Patients With Heart Failure With Preserved Ejection Fraction.

Iwakura Katsuomi, Yoshio Yasumura, Hikoso Shungo, Okada Katsuki, Nakatani Daisaku, Sotomi Yohei, Sakata Yasushi, Tanaka Nobuaki, Okada Masato, Okamura Atsunori, Heitaro Watanabe, Seo Masahiro, Hayashi Takaharu, Yano Masamichi, Yamada Takahisa

More abstracts from these authors:
Bridging to Delivery and Respecting Maternal Choice : Wearable Cardioverter Defibrillator Management of Sustained Ventricular Tachycardia in Pregnancy

Frimpong Smith, Aghasili Chukwuemeka, Nawaz Haleema, Patel Ketul, Appiah John

Beyond the Apex: Redefining High-Risk Phenotypes in Apical Hypertrophic Cardiomyopathy

Frimpong Smith, Aghasili Chukwuemeka, Nawaz Haleema, Patel Ketul, Ellis John, Nawaz Yassir

You have to be authorized to contact abstract author. Please, Login
Not Available