Logo

American Heart Association

  52
  0


Final ID: Mo3087

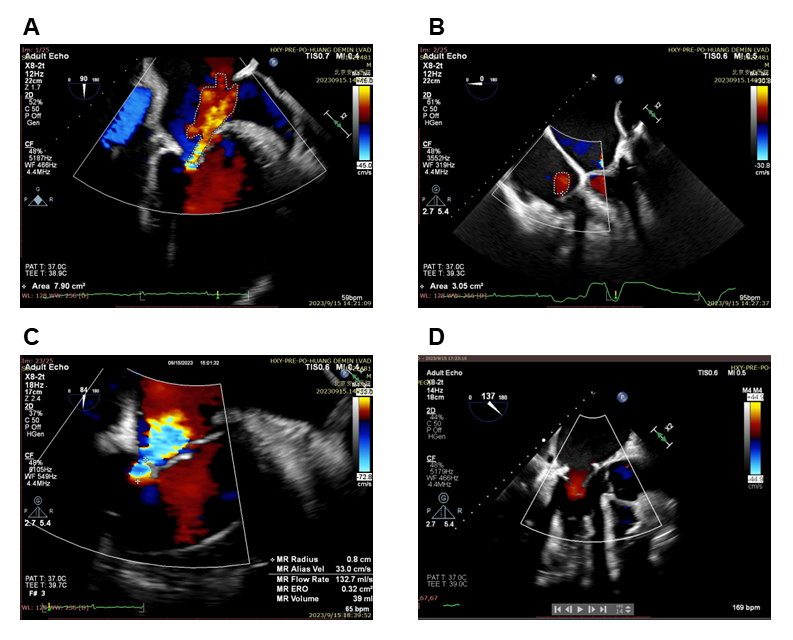
Corheart 6 Ultracompact Magnetically Levitated Left Ventricular Assist Device in a Patient with Obese Heart Failure

Abstract Body (Do not enter title and authors here): Due to the critical shortage of cardiac transplant donors, durable left ventricular assist device (LVAD) has become an effective alternative therapy for end-stage heart failure (ESHF). Miniaturization of LVAD holds significant clinical implications. This report describes the clinical application of the novel 90-gram Corheart 6 ultra-compact axial-flow magnetically levitated LVAD. A 55-year-old male patient with ESHF and high-body mass index (BMI) successfully underwent Corheart 6 implantation. During the 601-day follow-up period, no device-related adverse events were observed. The successful application in this high-BMI patient demonstrates the excellent stability of the Corheart 6 miniaturized magnetically levitated LVAD, highlighting its potential for future minimally invasive implantation techniques and pediatric applications
  • Jia, Songhao  ( Beijing Anzhen Hospital , Beijing , China )
  • Gong, Ming  ( Beijing Anzhen Hospital , Beijing , China )
  • Author Disclosures:
    Songhao Jia: DO NOT have relevant financial relationships | Ming Gong: DO NOT have relevant financial relationships
Meeting Info:

Scientific Sessions 2025

2025

New Orleans, Louisiana

Session Info:

Cool Clinical Cases in Cardiomyopathies

Monday, 11/10/2025 , 01:00PM - 02:00PM

Abstract Poster Board Session

More abstracts on this topic:
A Tale of Two Surgeries: Single Stage Versus Two Staged Approach to Creating an Ovine Model of Fontan Palliation

Kievert Jennifer, Morrison Adrienne, Nelson Kirsten, Heuer Eric, Shinoka Toshiharu, Breuer Christopher, Carrillo Sergio Alejandro, Kelly John, Spiess Joshua, Deshetler Cameron, Yuhara Satoshi, Watanabe Tatsuya, Jimenez Michael, Naguib Aymen, Mckee Christopher, Yates Andrew

A Novel Classification of Heart Failure Derived from the Nationwide JROADHF Cohort Using Unsupervised Machine Learning

Kyodo Atsushi, Tsutsui Hiroyuki, Hikoso Shungo, Nakada Yasuki, Nogi Kazutaka, Ishihara Satomi, Ueda Tomoya, Tohyama Takeshi, Enzan Nobuyuki, Matsushima Shouji, Ide Tomomi

You have to be authorized to contact abstract author. Please, Login
Not Available