Logo

American Heart Association

  44
  0


Final ID: MP318

Targeted Therapy, Collateral Damage: Navigating Acute Coronary Syndrome in the Era of Ponatinib

Abstract Body (Do not enter title and authors here): A 58-year-old male with history of Philadelphia Chromosome-Positive Acute Lymphoblastic Leukemia (Ph+ ALL) on ponatinib, and hypertension was admitted to the Oncology service with three days of fever and chills. On hospital day one, he developed crushing chest pain. Electrocardiogram showed 3 mm ST elevations in leads II, III, and aVF with reciprocal ST-depressions in the anterior leads, consistent with an acute inferior ST-elevation myocardial infarction.

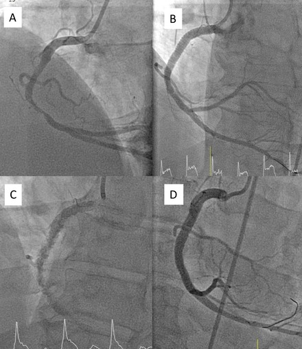
He was started on aspirin and heparin and taken emergently to the cardiac catheterization lab, where he received a loading dose of clopidogrel. Coronary angiography showed a 95% mid-right coronary artery stenosis due to an ulcerated plaque (Figure 2A). Three drug-eluting stents were placed, restoring TIMI grade III flow (Figure 2B). Forty minutes later, he developed sudden altered mental status and was found pulseless with ventricular fibrillation on telemetry. Return of spontaneous circulation followed resuscitation. Repeat angiography revealed acute in-stent thrombosis (Figure 2C). He underwent aspiration thrombectomy and repeat percutaneous coronary intervention, and was started on intravenous cangrelor. The next morning, clopidogrel was switched to ticagrelor for enhanced antiplatelet effect. The patient stabilized, and ponatinib was discontinued.

Ponatinib, a third-generation BCR-ABL tyrosine kinase inhibitor, is effective in Ph+ ALL but carries a risk of arterial thrombotic events, prompting its brief market withdrawal in 2013. The underlying pathophysiology is believed to involve endothelial dysfunction and heightened platelet activation, mechanisms that likely contributed to the hyperacute in-stent thrombosis in this case.

This case highlights the therapeutic challenge of treating acute coronary syndromes in cancer patients on pro-thrombotic therapies. In this instance, the decision to pursue a standard dual antiplatelet strategy was influenced by concerns about bleeding risk in a patient with active leukemia and anemia, which likely contributed to the adverse outcome.

There is a lack of evidence-based guidelines for antiplatelet management in oncology patients undergoing percutaneous coronary intervention, especially those on thrombogenic agents. As survivorship rises, the use of targeted therapies expands. The cardiovascular sequalae of these agents pose clinical challenges. Investigation into the vascular toxicities of novel cancer therapies is urgently needed to guide future management.
  • Walka, Katherine  ( University of Louisville , Louisville , Kentucky , United States )
  • Meili, Zach  ( University of Louisville , Louisville , Kentucky , United States )
  • Elsayed, Abdullah  ( University of Louisville , Louisville , Kentucky , United States )
  • Shetty, Mrin  ( University of Louisville , Louisville , Kentucky , United States )
  • Chowdhury, Yuvraj  ( University of Louisville , Louisville , Kentucky , United States )
  • Author Disclosures:
    Katherine Walka: DO NOT have relevant financial relationships | Zach Meili: No Answer | Abdullah Elsayed: No Answer | Mrin Shetty: No Answer | Yuvraj Chowdhury: No Answer
Meeting Info:

Scientific Sessions 2025

2025

New Orleans, Louisiana

Session Info:

Cardiac Imaging in Cancer Therapy: Risk Prediction, Detection, and AI-Driven Insight

Saturday, 11/08/2025 , 12:15PM - 01:25PM

Moderated Digital Poster Session

More abstracts on this topic:
Antithrombotic Strategies for Stroke Prevention in Elderly Patients with Atrial Fibrillation: A Meta-Analysis of Contemporary Evidence

Farooq Talha, Pandit Maleeha, Ali Mohammad Eisa, Ahsan Muhammad, Khan Abdul Moiz, Qasim Muhammad, Qayyum Mahhum, Akram Anusha, Kamel Mohammed, Naseem Ali

Artificial Intelligence for Predicting Primary Antegrade Wiring Success of Chronic Total Occlusion Crossing

Alexandrou Michaella, Alaswad Khaldoon, Basir Mir, Davies Rhian, Jaffer Farouc, Nicholson William, Azzalini Lorenzo, Gorgulu Sevket, Khatri Jaikirshan, Bangalore Sripal, Rangan Bavana, Rempakos Athanasios, Mastrodemos Olga, Burke M Nicholas, Sandoval Yader, Brilakis Emmanouil, Mutlu Deniz, Strepkos Dimitrios, Carvalho Pedro, Al-ogaili Ahmed, Bahbah Ali, Anastasios Milkas, Tsiafoutis Ioannis

You have to be authorized to contact abstract author. Please, Login
Not Available