Logo

American Heart Association

  44
  0


Final ID: MP1960

Multi-system Thromboembolism: A Case of Concurrent Pulmonary, Myocardial, and Abdominal Embolism.

Abstract Body (Do not enter title and authors here): Introduction:
Multisystem thromboembolism is a rare, life-threatening condition that requires rapid identification and intervention. In the presence of a right-to-left shunt, paradoxical embolism can lead to simultaneous infarctions across multiple organ systems. This case illustrates the importance of considering paradoxical embolism in patients presenting with embolic events affecting multiple vascular territories.
Case Presentation:
A 63-year-old male with a history of non-small cell lung cancer, ambulatory dysfunction, type 2 diabetes, and hypertension presented with dyspnea and abdominal discomfort. In the emergency department, he developed acute chest pain and ECG changes concerning for posterior ST-elevation myocardial infarction (STEMI). While awaiting cardiac catheterization, he experienced a pulseless electrical activity (PEA) arrest with return of spontaneous circulation within 4 minutes.
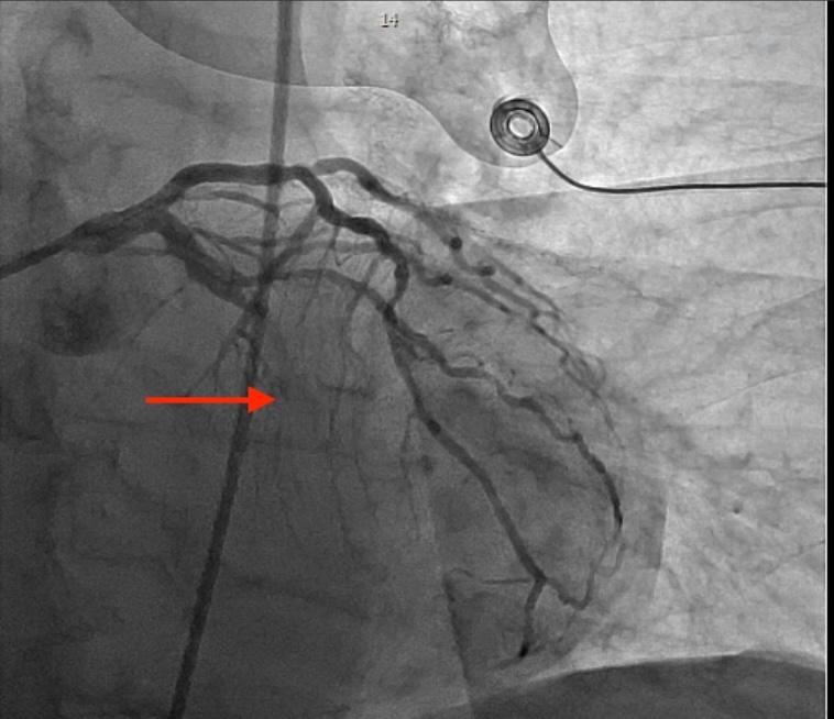
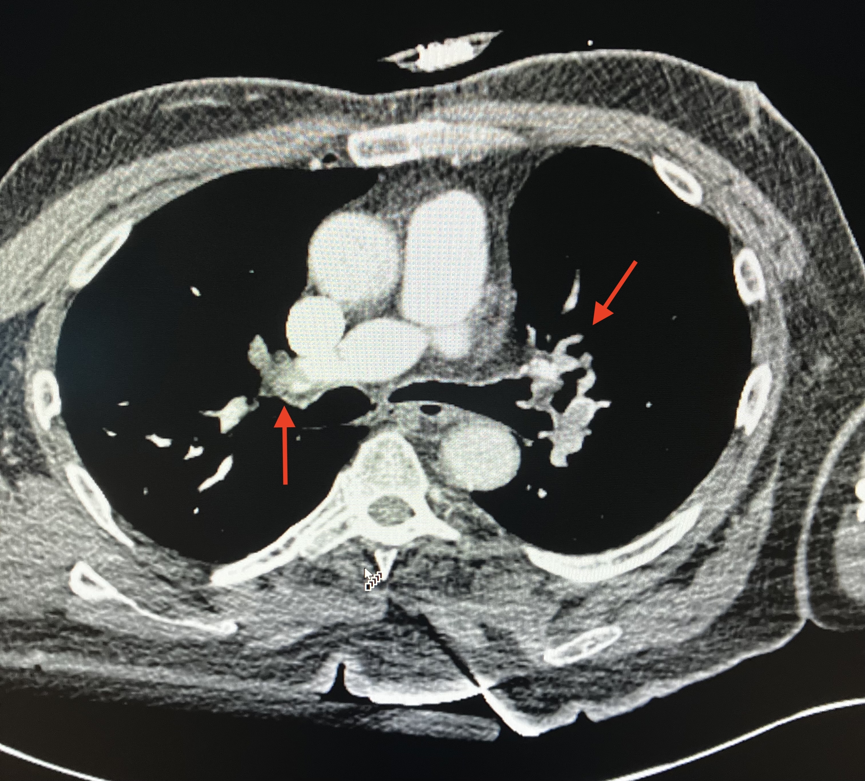
CT angiography revealed bilateral pulmonary emboli (PE) with right heart strain. Emergent coronary angiography showed occlusion of the left circumflex artery, which was successfully stented. Pulmonary thrombectomy was performed the following morning with effective clot extraction. Despite aggressive management, the patient developed progressive renal and hepatic failure with worsening lactic acidosis. Abdominal CT revealed extensive bowel ischemia due to acute mesenteric embolism. Transthoracic echocardiography with bubble study confirmed the presence of a patent foramen ovale with right-to-left shunting, consistent with paradoxical embolism.
Outcome:
Given the extent of bowel necrosis and multiorgan failure, surgical intervention was not pursued, and care was transitioned to comfort measures.

Conclusion:
This case underscores the importance of considering paradoxical emboli in patients with embolic involvement of multiple organs. In cases of persistent lactic acidosis despite targeted intervention, clinicians should maintain a high index of suspicion for occult embolic sources and intracardiac shunting. Early recognition and comprehensive diagnostic workupmay improve clinical outcomes.
  • Mascara, Mariah  ( Allegheny Health Network , Pittsburgh , Pennsylvania , United States )
  • Gupta, Lovish  ( Allegheny Health Network , Pittsburgh , Pennsylvania , United States )
  • Khalil, Ramzi  ( Allegheny Health Network , Pittsburgh , Pennsylvania , United States )
  • Tabbara, Saad  ( Allegheny Health Network , Pittsburgh , Pennsylvania , United States )
  • Author Disclosures:
    Mariah Mascara: DO NOT have relevant financial relationships | Lovish Gupta: DO NOT have relevant financial relationships | ramzi khalil: No Answer | Saad Tabbara: No Answer
Meeting Info:

Scientific Sessions 2025

2025

New Orleans, Louisiana

Session Info:

Rare and Life-Threatening Cardiovascular Emergencies: Trauma, Thrombosis, and Uncommon Triggers

Monday, 11/10/2025 , 01:45PM - 02:45PM

Moderated Digital Poster Session

More abstracts on this topic:
A novel small molecule synthesized based on a snail hibernation model induces hibernation in mouse fibroblasts and perfused hearts

Piao Jiyuan, Zhang Yongneng, Zhao Yuan Yuan, Hannington Patrick, Tabatabaei Dakhili Seyed Amirhossein, Ussher John, Sutendra Gopinath, Michelakis Evangelos

Accuracy of Rule-based Natural Language Processing Models for Identification of Pulmonary Embolism

Rashedi Sina, Jimenez David, Monreal Manuel, Secemsky Eric, Klok Erik, Hunsaker Andetta, Aghayev Ayaz, Muriel Alfonso, Hussain Mohamad, Appah-sampong Abena, Aneja Sanjay, Krishnathasan Darsiya, Mojibian Hamid, Goldhaber Samuel, Wang Liqin, Zhou Li, Krumholz Harlan, Piazza Gregory, Bikdeli Behnood, Khairani Candrika, Bejjani Antoine, Lo Ying-chih, Zarghami Mehrdad, Mahajan Shiwani, Caraballo Cesar, Jimenez Ceja Jose Victor

More abstracts from these authors:
Racial Differences in Right Ventricular Load Adaptation: Pulmonary Arterial Compliance and RV Stroke Work Index in Right Heart Catheterization and Transthoracic ECHO

Slifer Damian, Abdel Aziz Khaled, Gunani Manas, Gupta Lovish, Mutabi Erasmus, Ashour Ahmed, Kassis-george Hayah

Early Safety Signals and Common Pitfalls of the TriClip™ System for Transcatheter Tricuspid Valve Repair: Analysis of FDA's MAUDE Database

Gupta Lovish, Gulati Arvind, Futela Pragyat, Khanna Tejasvini, Aneja Ashish, Kowlgi Gurukripa, Gupta Tanush, Chatterjee Arka

You have to be authorized to contact abstract author. Please, Login
Not Available