Logo

American Heart Association

  63
  0


Final ID: MP1708

Impact of Aorto-Mitral Length on Aortic Valve Following Mitral Valve Surgery

Abstract Body (Do not enter title and authors here):
Introduction:
Advancements in cardiac imaging technology have enabled the acquisition of detailed anatomical information. The mitral valve is anatomically adjacent to the aortic valve, connected through the aorto-mitral curtain, therefore suturing during mitral valve surgery potentially can interfere with the aortic valve. However, detailed information regarding the aorto-mitral length and its impact on surgical outcomes are little known.

Methods:
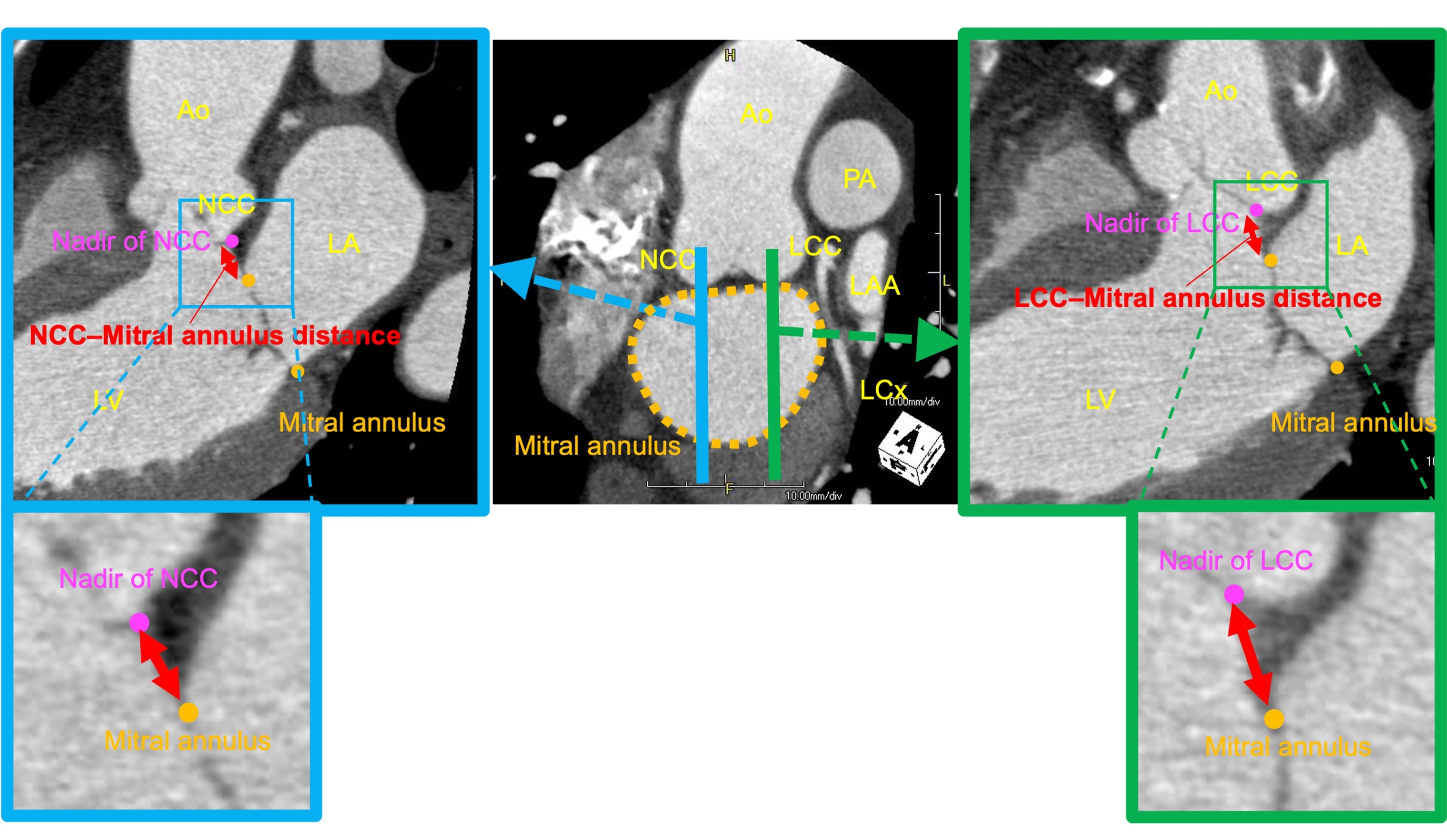
Among 857 patients who underwent mitral valve surgery between 2010–2022, those with planned concomitant aortic valve surgery, infective endocarditis, and history of aortic valve surgery (n=343) were excluded. Of the remaining 514 patients, 276 patients (53.7%) with preoperative enhanced cardiac computed tomography (CT) were included in the final analysis. The aorto-mitral length was measured as the shortest length between the non- or left-coronary cusp (NCC or LCC) and mitral annulus (Fig.1). Worsening of aortic insufficiency (AI) was defined as either (1) an increase of at least one severity grade relative to the pre-operative assessment or (2) the need for unplanned aortic valve surgery due to severe intra-operative AI. Data are presented as % or median (interquartile range).

Results:
The patient demographics were as follows: age, 68 [55–76] years; male, 65.2%; primary mitral valve surgery, 88.8% (all cases with mitral regurgitation), and redo mitral valve surgery, 11.2%. The NCC–mitral annulus length was 9.8 mm (8.3–11.2 mm). In redo cases, this length was shorter than in primary cases (7.6 mm [5.6–10.1 mm] vs 10.0 mm [8.7–11.3 mm]; P<0.001). The LCC–mitral annulus length was 6.2 mm (5.3–7.4 mm), which was shorter than the NCC–mitral annulus length (P<0.001). Likewise, in redo cases the LCC–mitral annulus length was shorter than in primary cases (5.4 mm [4.8–7.0 mm] vs 6.3 mm [5.4–7.4 mm]; P=0.037: Fig.2). Postoperative worsening of AI occurred in 12.0% (n=33/276), including three patients requiring unplanned aortic valve replacement. LCC- and NCC-mitral annulus length of worsening AI group were shorter than those in the non-worsening AI group (6.8 [4.6–8.0] vs. 10.7 [8.7–11.8] mm, P<0.001; 4.0 [3.6–5.8] vs. 6.5 [5.8–7.8] mm, P<0.001), associated with worsening of AI (cutoff value, 4.93 and 8.83mm: Fig.3).

Conclusions:
The aorto-mitral length can be precisely measured using preoperative cardiac CT, and a shorter aorto-mitral length would be associated with worsening of AI following mitral valve surgery.
  • Handa, Kazuma  ( The University of Osaka Graduate School of Medicine , Osaka , Japan )
  • Yajima, Shin  ( The University of Osaka Graduate School of Medicine , Osaka , Japan )
  • Yanagino, Yusuke  ( The University of Osaka Graduate School of Medicine , Osaka , Japan )
  • Kakizawa, Yumi  ( The University of Osaka Graduate School of Medicine , Osaka , Japan )
  • Yoshioka, Daisuke  ( The University of Osaka Graduate School of Medicine , Osaka , Japan )
  • Kawamura, Takuji  ( The University of Osaka Graduate School of Medicine , Osaka , Japan )
  • Kawamura, Ai  ( The University of Osaka Graduate School of Medicine , Osaka , Japan )
  • Misumi, Yusuke  ( The University of Osaka Graduate School of Medicine , Osaka , Japan )
  • Saito, Shunsuke  ( The University of Osaka Graduate School of Medicine , Osaka , Japan )
  • Shimamura, Kazuo  ( The University of Osaka Graduate School of Medicine , Osaka , Japan )
  • Yamauchi, Takashi  ( The University of Osaka Graduate School of Medicine , Osaka , Japan )
  • Miyagawa, Shigeru  ( The University of Osaka Graduate School of Medicine , Osaka , Japan )
  • Author Disclosures:
    Kazuma Handa: DO NOT have relevant financial relationships | Kazuo Shimamura: DO NOT have relevant financial relationships | Takashi Yamauchi: No Answer | Shigeru Miyagawa: No Answer | Shin Yajima: No Answer | Yusuke Yanagino: DO NOT have relevant financial relationships | Yumi Kakizawa: No Answer | Daisuke Yoshioka: No Answer | Takuji Kawamura: DO NOT have relevant financial relationships | Ai Kawamura: No Answer | Yusuke Misumi: No Answer | Shunsuke Saito: No Answer
Meeting Info:

Scientific Sessions 2025

2025

New Orleans, Louisiana

Session Info:

Mitral Valve Disease in Heart Failure and Atrial Fibrillation: A Hemodynamic Nexus

Sunday, 11/09/2025 , 03:15PM - 04:30PM

Moderated Digital Poster Session

More abstracts on this topic:
Accelerated Coronary Atherosclerosis Following Relugolix Versus Leuprolide Androgen Deprivation Therapy in Men with Prostate Cancer (REVELUTION): An Open-Label Randomized Controlled Trial

Patel Sagar, Sebastian Nikhil, Dhere Vishal, Hershatter Bruce, Patel Pretesh, Stillman Arthur, De Cecco Carlo, Sanda Martin, Jani Ashesh, Mandawat Anant, Yadalam Adithya, Van Assen Marly, Cantu Stephanie, Onnis Carlotta, Zheng Bill, Goyal Subir, Liu Yuan, Liu Chang

Comparative trends in decompressive hemicraniectomy in the era of mechanical thrombectomy among stroke patients (2016-2021) in the US National inpatient Sample.

Sohaib Muhammad, Maaz Hafiz, Chaychi Muhammad Tayyab Muzaffar, Rahman Haseeb, Saeed Daniaal, Kamal Haris, Ahmed Muhammad

More abstracts from these authors:
First-in-Human Clinical Application of Induced Pluripotent Stem Cell-Derived Cardiomyocyte Patches for Non-Ischemic Dilated Cardiomyopathy

Kawamura Takuji, Takeda Maki, Sasai Masao, Saito Shunsuke, Miyagawa Shigeru, Mikami Tsubasa, Suzuki Kota, Nakae Masaro, Yoshioka Daisuke, Kawamura Ai, Yajima Shin, Misumi Yusuke, Ito Emiko

Hemodynamic Stress in Aortic Regurgitation Alters Vascular Cell States and Promotes Aortic Wall Remodeling

Tamagawa Yuki, Shimamura Kazuo, Saito Shunsuke, Yamauchi Takashi, Miyagawa Shigeru, Kawamura Takuji, Harada Akima, Fujimura Lisa, Miyake Keisuke, Misumi Yusuke, Kawamura Ai, Yajima Shin, Yoshioka Daisuke

You have to be authorized to contact abstract author. Please, Login
Not Available