Logo

American Heart Association

  82
  0


Final ID: Su3134

Incidental finding of a persistent left superior vena cava during pacemaker placement: a case report

Abstract Body (Do not enter title and authors here): Background:
The incidence of persistent left superior vena cava (PLSVC) in the general population is estimated to be between 0.3% and 0.5%, which equates to approximately 1 in every 200 to 325 healthy individuals.
Aims:
To highlight the technical challenges posed by this congenital venous anomaly during cardiac pacing procedures, particularly in venous access and lead positioning.
To raise awareness of the need for a multidisciplinary approach, involving cardiology, cardiovascular imaging, and cardiothoracic surgery, to ensure safe and effective management of such patients.
Case Presentation:
A 67-year-old male with a history of symptomatic bradycardia presented with episodes of severe sinus bradycardia at 40 bpm, sinus pauses lasting up to 2.9 seconds, and isolated ventricular extrasystoles, as documented on a two-month Holter monitor.
He was admitted to hospital following a nocturnal syncopal episode and an electrocardiogram (ECG) showing a heart rate of 20 bpm.
During initial management, there was difficulty obtaining venous access and advancing a temporary pacemaker lead via the jugular vein. As a result, a temporary pacemaker was implanted via the right femoral vein, and the patient was evaluated for permanent pacemaker implantation.
Decision-Making:
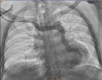
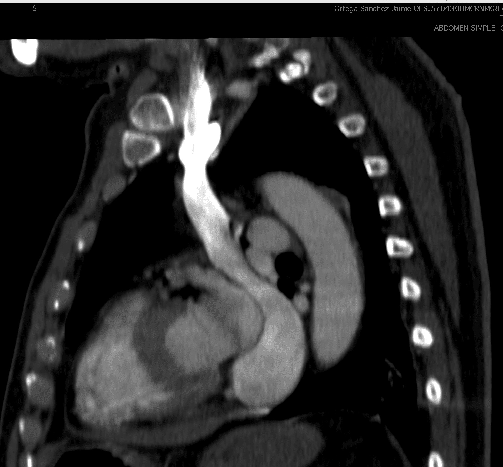
During the procedure in the cardiac catheterisation laboratory, difficulties were encountered in advancing the guidewire towards the subclavian vein. Consequently, bilateral subclavian vein angiography was performed, which revealed a persistent left superior vena cava with anomalous drainage into the coronary sinus. The procedure was therefore deferred.
A cardiac CT angiogram confirmed the diagnosis. The cardiothoracic surgery team was subsequently consulted, and an epicardial pacemaker was successfully implanted via a subxiphoid approach in DDDR mode.
Conclusion:
Persistent left superior vena cava is a rare venous anomaly that can pose significant technical challenges during pacemaker implantation, particularly in patients with atrioventricular block. A thorough pre-procedural assessment of venous anatomy is essential for selecting the most appropriate implantation strategy and minimising procedural risks.
  • Munoz Perez, Marco Antonio  ( ISSSTE Hospital Regional Primero de Octubre , Mexico , Mexico )
  • Author Disclosures:
    Marco Antonio Munoz Perez: DO NOT have relevant financial relationships
Meeting Info:

Scientific Sessions 2025

2025

New Orleans, Louisiana

Session Info:

Life as a Vascular Medicine Specialist: Cases and Clinical Experiences

Sunday, 11/09/2025 , 11:30AM - 12:30PM

Abstract Poster Board Session

More abstracts on this topic:
Abnormal Oxygen Pulse Trajectory Differentiates Anatomic Complexity and Functional Classification in Adults with Congenital Heart Disease

Campbell Matthew, Lefebvre Margaret, Li Pengyang, Padgett Hannah, Tchoukina Inna, Canada Justin, Shah Sangeeta, Rouse Sierra, Reyes Oscar, Shin Yongdeok, Bakken Brad, Coe Alexa, Hallam Jessica, Kapa Meghana

Acceptability and Feasibility Of A Digital Health Intervention For Adults with Congenital Heart Disease

Valente Joseph, Reardon Leigh, Moons Philip, Okumura Megumi, Gurvitz Michelle, Agarwal Anushree, Banala Keerthana, Buenrostro Karina, Alano Lindsay, Duan Rong, Parang Kim, Manyan Karina, Bravo-jaimes Katia, Norris Mark

You have to be authorized to contact abstract author. Please, Login
Not Available