Logo

American Heart Association

  56
  0


Final ID: Mo3140

Imaging-Guided Retrieval of a Migrated Coil from the Right Atrium: A Multimodal Endovascular Approach

Abstract Body (Do not enter title and authors here): Introduction
Foreign body migration into cardiac chambers is a rare but potentially life-threatening complication of vascular interventions such as gonadal vein embolization. Migration of coils into the right atrium (RA) may lead to thromboembolism, valvular injury, arrhythmias, or perforation. Prompt recognition and retrieval are essential to avoid complications.

Research Question
Can a percutaneous approach safely and effectively retrieve a migrated embolization coil from the right atrium in a stable young adult? What technical considerations and device strategies increase success in such complex retrievals?

Goals/Aims
To describe a challenging case of right atrial embolization coil retrieval using advanced endovascular techniques and to highlight the importance of individualized procedural planning in high-risk patients.

Case Presentation
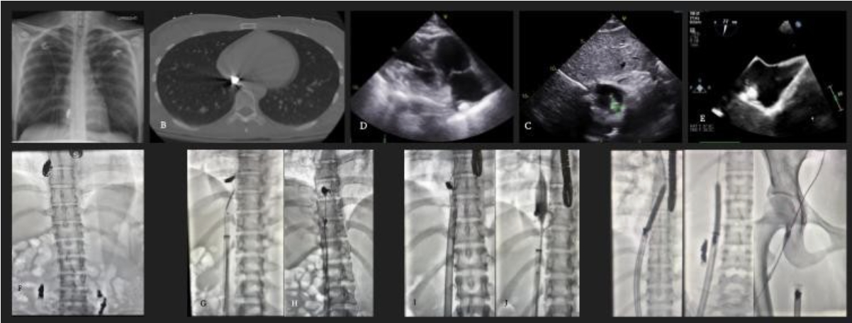
A 27-year-old female presented with pleuritic chest pain, dizziness, and a history of prior gonadal vein embolization. Imaging revealed a metallic foreign body in the right atrium. Transthoracic echocardiography (TTE) and CT confirmed coil presence (2.25 × 1.25 cm) affixed to the RA roof. Multidisciplinary decision-making favored a percutaneous approach. Preprocedural TEE was performed for localization. Retrieval attempts included use of multi-loop snares, J-wire looping, balloon trapping (Cordis balloon), and ultimately AngioVac aspiration with ECMO backup. An Amplatz Super Stiff wire facilitated device support.

Management/Outcome
Initial snare attempts led to fraying and partial coil removal. Sequential strategies including balloon trapping via right internal jugular access and mechanical aspiration with AngioVac were employed. A 7 × 20 mm balloon was inflated within the AngioVac sheath at 23 atm to trap the coil. Successful en bloc removal was achieved under fluoroscopy and confirmed by intraoperative TEE. The patient remained hemodynamically stable and was discharged the following day without complications.

Conclusion
Percutaneous retrieval of migrated intravascular coils can be successful with advanced planning and a stepwise escalation of techniques. Success hinges on detailed imaging, anatomical understanding, and availability of equipment such as snares, balloons, and vacuum-assisted retrieval systems. While percutaneous removal is preferred, procedural flexibility and surgical backup are critical in complex cases.
  • Bharaj, Inderjeet Singh  ( Abrazo Healthcare , Glendale , Arizona , United States )
  • Thwe, Ei Ei  ( Abrazo Health Network , Phoenix , Arizona , United States )
  • Padda, Inderbir  ( Richmond University Medical Center/Mount Sinai , Staten Island , New York , United States )
  • Pan, Hao  ( Abrazo Health Network , Phoenix , Arizona , United States )
  • Loli, Akil  ( Abrazo Health Network , Phoenix , Arizona , United States )
  • Prutzman, David  ( Elliot Hospital , Manchester , New Hampshire , United States )
  • Alkhatib, Basil  ( Abrazo Health Network , Phoenix , Arizona , United States )
  • Sethi, Yashendra  ( PearResearch , Dehradun , India )
  • Author Disclosures:
    Inderjeet Singh Bharaj: DO NOT have relevant financial relationships | Ei Ei Thwe: DO NOT have relevant financial relationships | Inderbir Padda: DO NOT have relevant financial relationships | Hao Pan: No Answer | Akil Loli: No Answer | David Prutzman: No Answer | Basil Alkhatib: No Answer | Yashendra Sethi: DO NOT have relevant financial relationships
Meeting Info:

Scientific Sessions 2025

2025

New Orleans, Louisiana

Session Info:

Vascular Cases and Unique Scientific Inquiries

Monday, 11/10/2025 , 01:00PM - 02:00PM

Abstract Poster Board Session

More abstracts on this topic:
Association Between Vertebral Artery Hypoplasia and Atherosclerotic Stenosis of Subclavian Artery, Vertebral Artery and Basilar Artery: An Observational Cohort Study

Zhang Zhao, Luo Anling, Yang Yujia, Li Xuzi, Deng Yiting, He Li, Zhou Muke

A Novel Framework for End-Diastolic and End-Systolic Frame Localization in Contrast and Non-Contrast Echocardiography Without Manual Annotations

Patel Sahaj, Arora Garima, Kummaragunta Neeraj, Yerabolu Krishin, Shahid Abdulla, Baria Priyank, Li Cynthia, Vekariya Nehal, Pampana Akhil, Arora Pankaj

More abstracts from these authors:
Transseptal Rescue for Failure to Cross the Aortic Valve During Valve-in-Valve TAVR

Bharaj Inderjeet Singh, Padda Inderbir, Mohmand Billal, Yeneneh Beeletsega, Gupta Nishant, Sethi Yashendra

Advanced Imaging for STEMI Mimicry: Diagnosing Myopericarditis in HIV

Bharaj Inderjeet Singh, Padda Inderbir, Brar Ajit, Mohmand Billal, Yeneneh Beeletsega, Sethi Yashendra

You have to be authorized to contact abstract author. Please, Login
Not Available