Logo

American Heart Association

  47
  0


Final ID: MP64

Prediction of Aspiration Pneumonia After Cardiac Surgery Using Preoperative Oral Frailty: A Logistic Model

Abstract Body (Do not enter title and authors here): Background: Aspiration pneumonia is a serious complication after cardiac surgery, particularly among older patients. Preoperative oral frailty—decline in oral function including poor hygiene and impaired swallowing—may predispose patients to aspiration. We aimed to develop a risk prediction model for aspiration pneumonia based on oral frailty and other clinical factors in cardiac surgery patients.

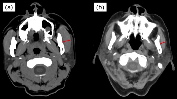
Methods: This retrospective cohort study included 275 consecutive adult patients (median age, 72 years) who underwent elective cardiac surgery between July 2021 and December 2023. Preoperative oral frailty was assessed using the Oral Frailty 5-item Checklist (OF-5; subjective) and masseter muscle thickness on CT (objective; muscle loss defined as ≤25th percentile: males ≤10 mm, females ≤8 mm). Independent predictors of aspiration pneumonia were identified by multivariable logistic regression. Model performance was evaluated using ROC analysis and internally validated using bootstrap resampling to correct for optimism.

Results: Aspiration pneumonia occurred in 28 patients (10%). Significant predictors included low masseter thickness (OR 11.4, p<0.001), preoperative surgical risk score ≥8% (OR 4.8, p=0.002), COPD (OR 3.9, p=0.023), and OF-5 score ≥2 (OR 2.2, p=0.117). The final logistic regression model was expressed as: logit(p) = –4.4872 + 0.7952×(OF-5≥2) + 2.4326×(Masseter≤25th) + 1.3496×(COPD) + 1.5686×(Risk score≥8%). The logistic model demonstrated excellent discrimination (AUC = 0.892; 95% CI: 0.833–0.951). With a predicted probability cutoff of ≥10.7%, the model achieved 89% sensitivity and 78% specificity. Bootstrap-corrected AUC was 0.881 (95% CI: 0.822–0.941), indicating strong model generalizability. High-risk patients (≥10.7% predicted probability) had significantly worse outcomes than low-risk patients, including aspiration pneumonia (24.8% vs. 1.2%, p<0.001), longer hospital stays (median 20 vs. 14 days, p<0.001), and higher rehabilitation transfer rates (17.1% vs. 4.7%, p<0.001).

Conclusions: Preoperative oral frailty, when incorporated into a logistic regression–based model, accurately predicts aspiration pneumonia following cardiac surgery. Bootstrap validation confirmed the model’s robustness. This tool may support risk stratification and guide preventive strategies to improve perioperative outcomes.
  • Morimoto, Kenichi  ( Tottori University , Tottori , Japan )
  • Nakashima, Junya  ( Tottori University , Tottori , Japan )
  • Yoshikawa, Yasushi  ( Tottori University , Tottori , Japan )
  • Kishimoto, Yuichiro  ( Tottori University , Tottori , Japan )
  • Onohara, Takeshi  ( Tottori University , Tottori , Japan )
  • Horie, Hiromu  ( Tottori University , Tottori , Japan )
  • Sasami, Tsuyoshi  ( Tottori University , Tottori , Japan )
  • Sumi, Naoki  ( Tottori University , Tottori , Japan )
  • Nii, Rikuto  ( Tottori University , Tottori , Japan )
  • Kishimoto, Nozomi  ( Tottori University , Tottori , Japan )
  • Tokutome, Junpei  ( Tottori University , Tottori , Japan )
  • Author Disclosures:
    Kenichi Morimoto: DO NOT have relevant financial relationships | Junya Nakashima: No Answer | Yasushi Yoshikawa: DO NOT have relevant financial relationships | Yuichiro Kishimoto: No Answer | Takeshi Onohara: No Answer | Hiromu Horie: No Answer | Tsuyoshi Sasami: No Answer | Naoki Sumi: No Answer | Rikuto Nii: No Answer | Nozomi Kishimoto: No Answer | Junpei Tokutome: No Answer
Meeting Info:

Scientific Sessions 2025

2025

New Orleans, Louisiana

Session Info:

Precision Predictions: Tailoring Risk in Cardiac Surgery

Saturday, 11/08/2025 , 01:45PM - 02:55PM

Moderated Digital Poster Session

More abstracts on this topic:
Age-Related Differences in Aortic Valve Calcium Progression and the Risk for Aortic Stenosis: Multi-Ethnic Study of Atherosclerosis

Marrero Natalie, Thanassoulis George, Rotter Jerome, Blaha Michael, Whelton Seamus, Jha Kunal, Grant Jelani, Razavi Alexander, Budoff Matthew, Shah Sanjiv, Blumenthal Roger, Post Wendy, Shaw Leslee

Discontinuation vs Continuation of Renin-Angiotensin System Inhibition Before Non-Cardiac Surgery: A Systematic Review and Meta-Analysis

Queiroz Ivo, Guida Camila, Defante Maria Luiza Rodrigues, Barbosa Lucas, Antunes Vanio Do Livramento Junior, X. Mendes Beatriz, Mazetto Roberto, Bulhões Elísio Bulhões, Silva Catarina, Romeiro Pedro

You have to be authorized to contact abstract author. Please, Login
Not Available