Logo

American Heart Association

  77
  0


Final ID: MP2478

Management of a Mycotic Ascending Aortic Pseudoaneurysm in a Jehovah’s Witness

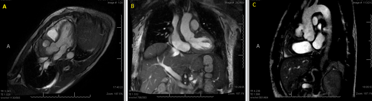
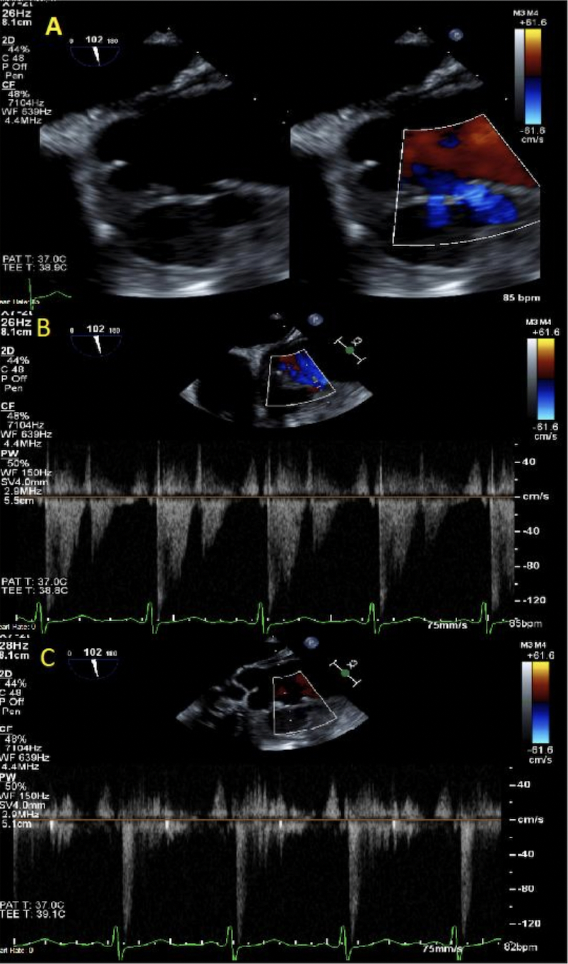
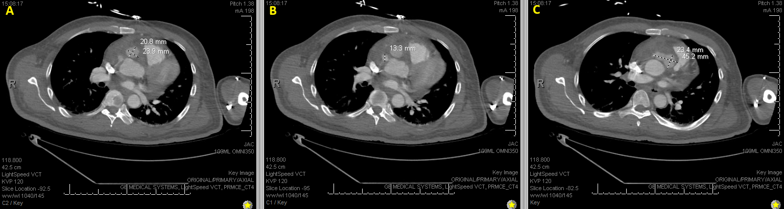
Abstract Body (Do not enter title and authors here): Description of Case: A 57 y.o. male with a hx of prior MSSA bactermia and RCA aneurysm presented for intermittent fevers. His exam showed a harsh systolic murmur at the pulmonic post. ESR and CRP were elevated at 78 mm/hr and 17.1 mg/dL, respectively. WBC of 32.1 x 10e3/uL and a HGB of 8.8 g/dL. Blood cultures were positive for MSSA. Imaging with a CTA Chest, TTE, TEE, and cardiac MRI showed a multilobular 5 x 2.5 x 5.3 cm PSA originating from the proximal ascending aorta.
The patient was initially managed in the ICU for septic shock. Cardiothoracic Surgery believed that he would be a candidate for planned bloodless surgery provided his HGB was > 13. In consultation with Hematology, he was started on erythropoetin (EPO) weekly. This resulted in an improvement in his HGB to 13.1 g/dL over two months. Six weeks later, he underwent debridement of ascending aortic mycotic pseudoaneurysm with graft placement, ligation of ostial right coronary artery and repair of ruptured right coronary ostium, CABG x1, and IABP placement. He was sent to the ICU post-operatively for cardiogenic shock and eventually underwent cardiac arrest.
Discussion: Jehovah’s Witnesses are at increased risk for post-operative acute blood loss anemia and mortality. It is critical to understand the patient’s personal interpretation of their religious restrictions and thoroughly review and obtain informed consent for blood conservation and “bloodless surgery” techniques. Although adherent Jehovah’s Witnesses generally decline transfusion of whole blood, there is considerable heterogeneity in this population regarding the acceptance of blood “fractions” and products including platelets, plasma, albumin, clotting factors, and immunoglobulin. Optimizing anemia pre-operatively to a HGB greater than 12 reduces adverse outcomes in cardiac surgery. Treatment with EPO may be an acceptable method of augmenting HGB levels prior to their procedure.
It is worth noting is the compression of the pseudoaneurysm on the pulmonary artery. This is a very rare complication of ascending aortic pathology. In our patient, pulmonary artery compression was noted on his initial imaging and persistent throughout. However, right heart failure did not develop until his immediate post-operative course, and it’s possible that the necessary shifting of his pseudoaneurysm within his operation contributed to worsening compression on his pulmonary artery and subsequent mortality.
  • Miotke, Katherine  ( Washington State University , Lake Stevens , Washington , United States )
  • Panzer, Adam  ( Washington State University , Lake Stevens , Washington , United States )
  • Author Disclosures:
    Katherine Miotke: DO NOT have relevant financial relationships | Adam Panzer: DO NOT have relevant financial relationships
Meeting Info:

Scientific Sessions 2025

2025

New Orleans, Louisiana

Session Info:

Medical Therapies in Vascular Medicine

Monday, 11/10/2025 , 10:45AM - 12:00PM

Moderated Digital Poster Session

More abstracts on this topic:


A Case of Possible IgG4-Related Constrictive Pericarditis Masquerading as Idiopathic Pericarditis: A Rare and Elusive Diagnosis

Nandyal Shreyas, Sharma Bharosa, Gajjar Rohan, Varma Revati, Ezegwu Olisa, Amdetison Gedion Yilma, Tottleben Jon

A Multicenter Friedreich Ataxia Registry Identifies Posterior Wall Thickness as a Predictor of Major Adverse Cardiac Events

Lin Kimberly, Johnson Jonathan, Mccormack Shana, Lynch David, Tate Barbara, Feng Yixuan, Huang Jing, Mercer-rosa Laura, Dedio Anna, Mcsweeney Kara, Fournier Anne, Yoon Grace, Payne Ronald, Cripe Linda, Patel Aarti, Niaz Talha

You have to be authorized to contact abstract author. Please, Login
Not Available