Logo

American Heart Association

  80
  0


Final ID: MP1803

Pericardial Tamponade Physiology in a Rare Case of Primary Mediastinal Embryonal Carcinoma: Diagnostic and Management Challenges

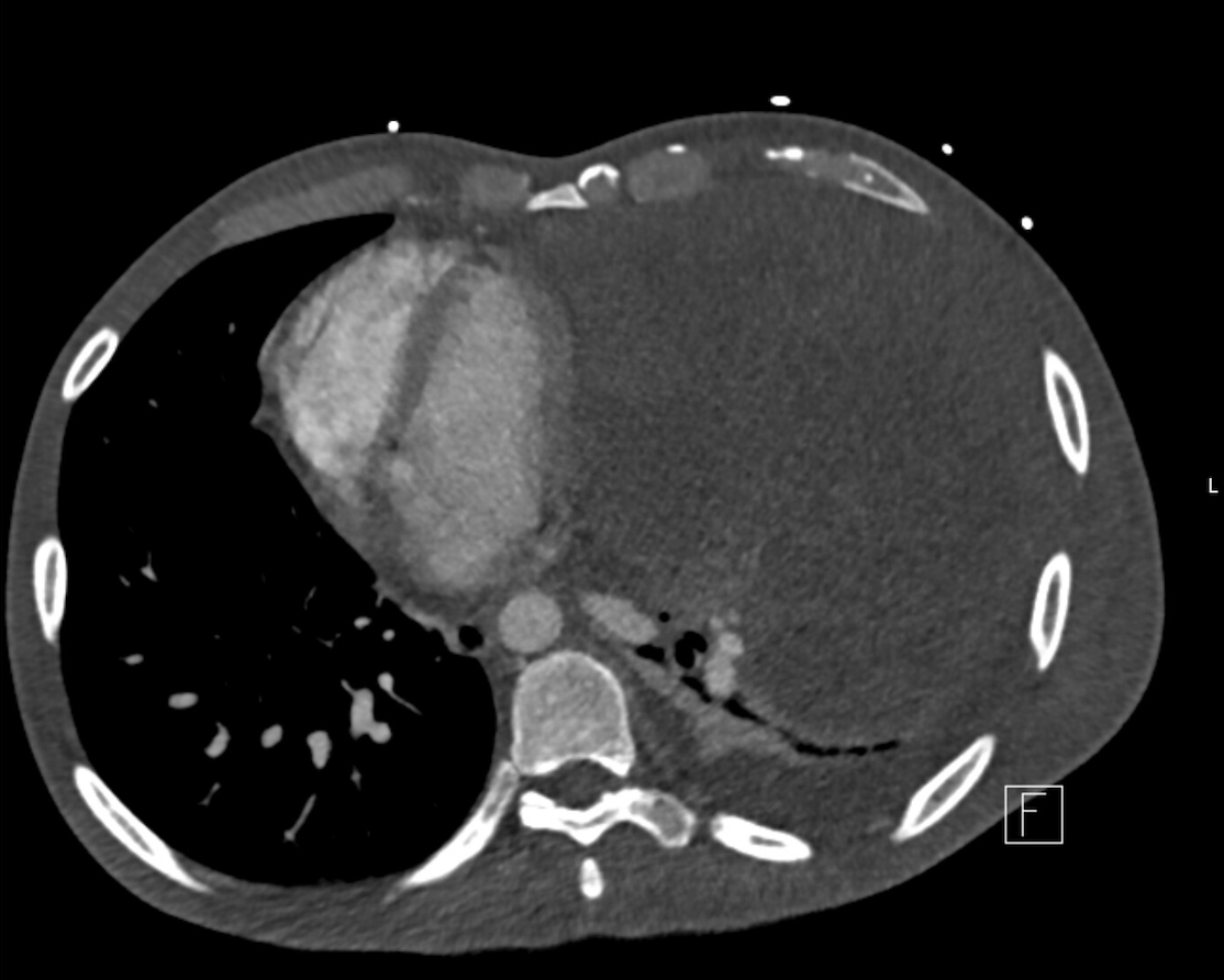
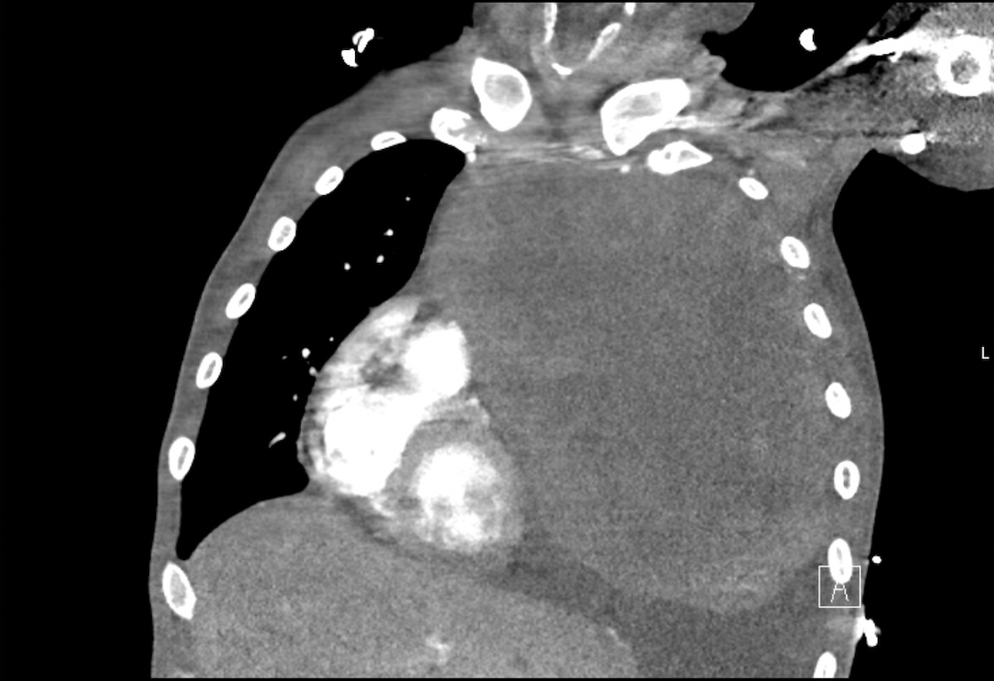
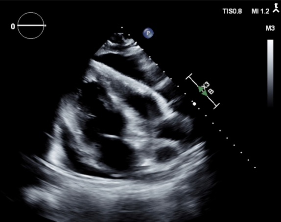
Abstract Body (Do not enter title and authors here): Primary mediastinal embryonal carcinoma is an exceptionally rare and aggressive extragonadal germ cell tumor, comprising less than 2% of mediastinal germ cell neoplasms. Cardiovascular complications, including pericardial effusion and tamponade physiology, are even more infrequent, with only isolated cases reported. We present the case of a 35-year-old male with no significant medical history who presented with progressive dyspnea, pleuritic chest pain, and right shoulder discomfort. Imaging revealed a massive anterior mediastinal mass (21.2 × 14.3 × 20.3 cm) compressing the left lung and shifting mediastinal structures rightward, with direct extension into the left atrium and pulmonary veins (Image 1 and 2). Echocardiography demonstrated a moderate-to-large pericardial effusion with right atrial inversion and respiratory variation in mitral inflow, suggestive of early tamponade (Image 3). However, due to stable hemodynamics and significant distortion of normal anatomy from the tumor mass, pericardiocentesis was deferred as high-risk. Multidisciplinary teams opted for conservative management, and the patient was initiated on systemic chemotherapy with ifosfamide, etoposide, and cisplatin. Serial imaging demonstrated stabilization of the pericardial effusion and early signs of tumor response. Pathology confirmed embryonal carcinoma with elevated tumor markers (AFP 514 ng/mL, β-hCG 158 mIU/mL, LDH 3,078 U/L). Neurological evaluation for multifocal infarcts revealed a brain metastasis and suspected embolic phenomena; vascular imaging showed a left popliteal artery thrombus. The case illustrates a rare instance where both malignant pericardial effusion and external tumor compression contributed to tamponade physiology without overt clinical collapse. It highlights the complexity of managing cardiac involvement in malignancy, where anatomy, mass effect, and clinical stability guide intervention. This case reinforces the need for individualized cardiovascular decision-making and interdisciplinary coordination in rare oncologic presentations involving pericardial pathology.
  • Karzoun, Ahmad  ( HCA Blake Hospital , Bradenton , Florida , United States )
  • Alkowatli, Hamza  ( HCA Blake Hospital , Bradenton , Florida , United States )
  • Alkowatli, Oubada  ( Endeavor Health , Evanston , Illinois , United States )
  • Faiz, Muhammad  ( HCA Blake Hospital , Bradenton , Florida , United States )
  • Author Disclosures:
    Ahmad Karzoun: DO NOT have relevant financial relationships | Hamza Alkowatli: DO NOT have relevant financial relationships | Oubada Alkowatli: DO NOT have relevant financial relationships | Muhammad Faiz: DO NOT have relevant financial relationships
Meeting Info:

Scientific Sessions 2025

2025

New Orleans, Louisiana

Session Info:

Lessons from the Front Lines: Challenging Coronary Case Reports

Sunday, 11/09/2025 , 09:15AM - 10:15AM

Moderated Digital Poster Session

More abstracts on this topic:
A Novel Framework for End-Diastolic and End-Systolic Frame Localization in Contrast and Non-Contrast Echocardiography Without Manual Annotations

Patel Sahaj, Arora Garima, Kummaragunta Neeraj, Yerabolu Krishin, Shahid Abdulla, Baria Priyank, Li Cynthia, Vekariya Nehal, Pampana Akhil, Arora Pankaj

A Comparison Between Global Longitudinal Strain (GLS) Derived with CMR Feature-Tracking (CMR-FT) and 2D Speckle-Tracking Echocardiography (2D-STE) to Monitor Cancer Therapy-Related Cardiac Dysfunction (CTRCD)

Kar Julia, Cohen Michael, Revere Cherie, Mcquiston Samuel, Malozzi Christopher

More abstracts from these authors:
Marital Status as a Factor in Cardiovascular Disease Risk Stratification: A Systematic Review and Meta-Analysis.

Moradi Ali, Ghadri Helia, Rabbani Mina, Mohammadi Maryam, Emami Ehsan, Deravi Niloofar, Khadem Hannaneh, Rahmani Mohammadreza, Tabbaa Kutiba, Khodor Maya, Alkowatli Hamza, Sahyouni Abdullah, Karzoun Ahmad, Saghafi Mohammad Sadra

Association Between High-Sensitivity Troponin Levels and Hypertension

Karzoun Ahmad, Alkowatli Hamza, Hassan Noheir

You have to be authorized to contact abstract author. Please, Login
Not Available