Logo

American Heart Association

  47
  0


Final ID: MP1951

Symptomatic Recurrence of Subaortic Membrane- An Obstructive Challenge

Abstract Body (Do not enter title and authors here):

Description of Case:
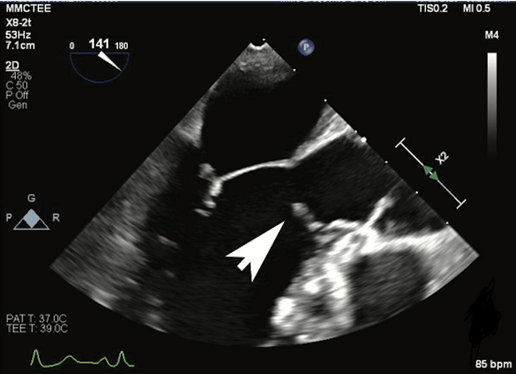
A 42-year-old female with a history of sub-aortic membrane resection 10 years ago presented to the cardiology clinic with complaints of exertional dyspnea and two episodes of syncope. She was referred to the ER, where her vitals were stable, and both her EKG and troponin levels were normal. A cardiac CT scan was performed which revealed an area of myocardial bridging involving the mid-left anterior descending artery. Transthoracic echocardiogram showed an aortic valve (AoV) peak velocity of 2.78 m/s, a peak gradient of 31 mmHg, a mean gradient of 14 mmHg and an AoV area of 2.09 cm square. There were elevated pressure gradients across the left ventricular outflow tract (LVOT) and AoV with a maximum gradient of 31 mmHg at rest. Left and right heart catheterization demonstrated normal coronary arteries, but an elevated left ventricular end-diastolic pressure of 30 mmHg was noted. The resting LVOT gradient was elevated at 20 mmHg, and post-premature ventricular contraction gradients were as high as 50 mmHg, suggesting dynamic obstruction. Subsequently, a transesophageal echocardiogram revealed a subaortic membrane in the proximal part of the LVOT (figure 1). Cardiothoracic surgery was consulted for a redo subaortic membrane resection.



Discussion:
Sub-aortic membrane is an uncommon cause of LVOT obstruction, characterized by a fibro-muscular membrane located just below the aortic valve. The incidence varies, but it is a notable cause of congenital LVOT obstruction, comprising approximately 16% of such cases. Complications of sub-aortic membrane include progressive LVOT obstruction, aortic regurgitation, left ventricular hypertrophy, and an increased risk of bacterial endocarditis, which occurs in about 13% of patients. Management primarily involves surgical resection of the membrane, often combined with septal myectomy to reduce recurrence rates and improve outcomes. Postoperative follow-up is crucial due to the risk of recurrence, which can necessitate repeat surgery in a significant minority of patients. Our patient is of particular interest, having developed a subaortic membrane in adulthood, followed by successful resection and subsequent regrowth several years later. As demonstrated in our case—where cardiac MRI was performed prior to redo surgery—advanced imaging techniques such as three-dimensional echocardiography and cardiac MRI are valuable tools for accurate diagnosis and surgical planning.
  • Rafique, Soomal  ( Southern Illinois University- SOM , Springfield , Illinois , United States )
  • Al-ayyubi, Rami  ( Southern Illinois University SOM , Springfield , Illinois , United States )
  • Hafiz, Abdul Moiz  ( Southern Illinois University- SOM , Springfield , Illinois , United States )
  • Author Disclosures:
    Soomal Rafique: DO NOT have relevant financial relationships | Rami Al-Ayyubi: DO NOT have relevant financial relationships | Abdul Moiz Hafiz: No Answer
Meeting Info:

Scientific Sessions 2025

2025

New Orleans, Louisiana

Session Info:
More abstracts on this topic:
A Meta-Analysis Comparing Same-Day Discharge to Later-Day Discharge in Transcatheter Aortic Valve Replacement

Jain Hritvik, Passey Siddhant, Jain Jyoti, Goyal Aman, Wasir Amanpreet, Ahmed Mushood, Patel Nandan, Yadav Ashish, Shah Janhvi, Mehta Aryan

4D Cardiac Magnetic Resonance Identifies Differences in Regional Strain Patterns Among Pediatric Heart Transplant Patients with Acute Rejection or Cardiac Allograft Vasculopathy

Henderson Christopher, Starnes Joseph, Samyn Margaret, Damon Bruce, Hernandez Lazaro, Goergen Craig, Soslow Jonathan, Prado Marco Aurélio, Earl Conner, Georgedurrett Kristen, Lee Simon, Nandi Deipanjan, Chan Kak-chen, Shugh Svetlana, Kikano Sandra

More abstracts from these authors:
You have to be authorized to contact abstract author. Please, Login
Not Available