Logo

American Heart Association

  57
  0


Final ID: Mo1029

From Arm to Lung: H.E.L.P. Team Management of a Dual Vascular Crisis

Abstract Body (Do not enter title and authors here): Simultaneous sub-massive pulmonary embolism (PE) and acute upper extremity ischemia from paradoxical embolism through a patent foramen ovale (PFO) is an exceedingly rare and life-threatening presentation that demands rapid, cross-disciplinary intervention. While paradoxical embolism accounts for <2% of systemic embolic events—and upper extremity involvement represents <5% of arterial emboli—coexistence with right ventricular (RV) strain significantly compounds diagnostic and therapeutic complexity. This case illustrates the need for integrated cardiovascular, vascular, and critical care collaboration in managing multisystem embolic crises.
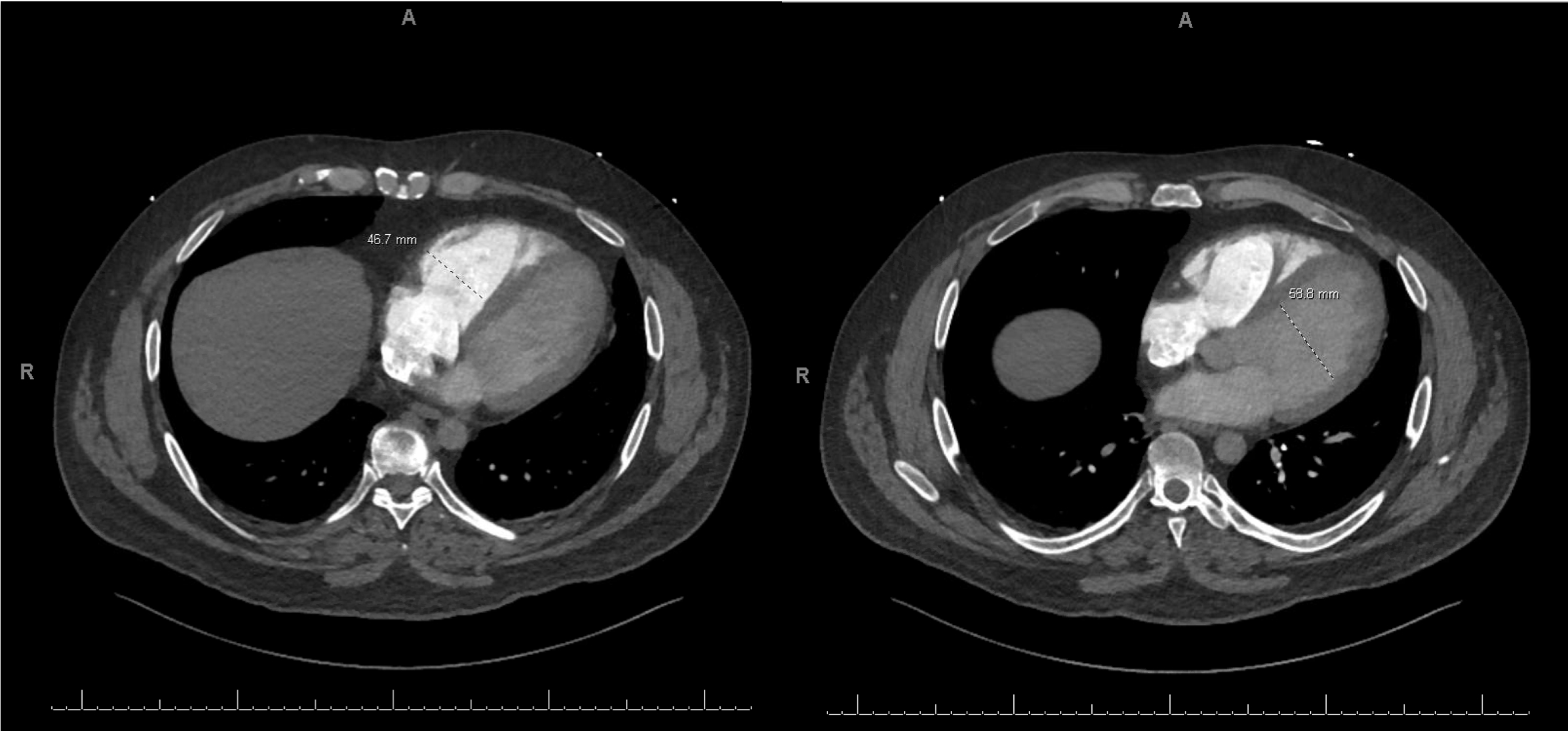
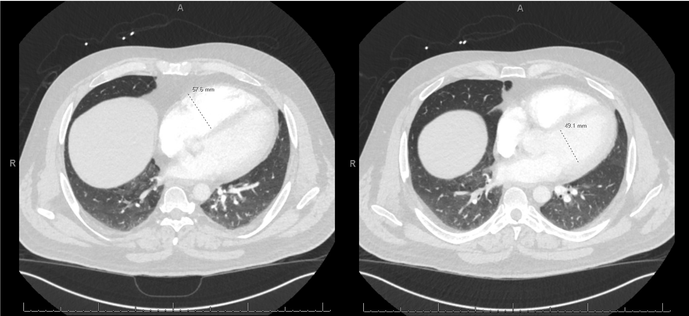
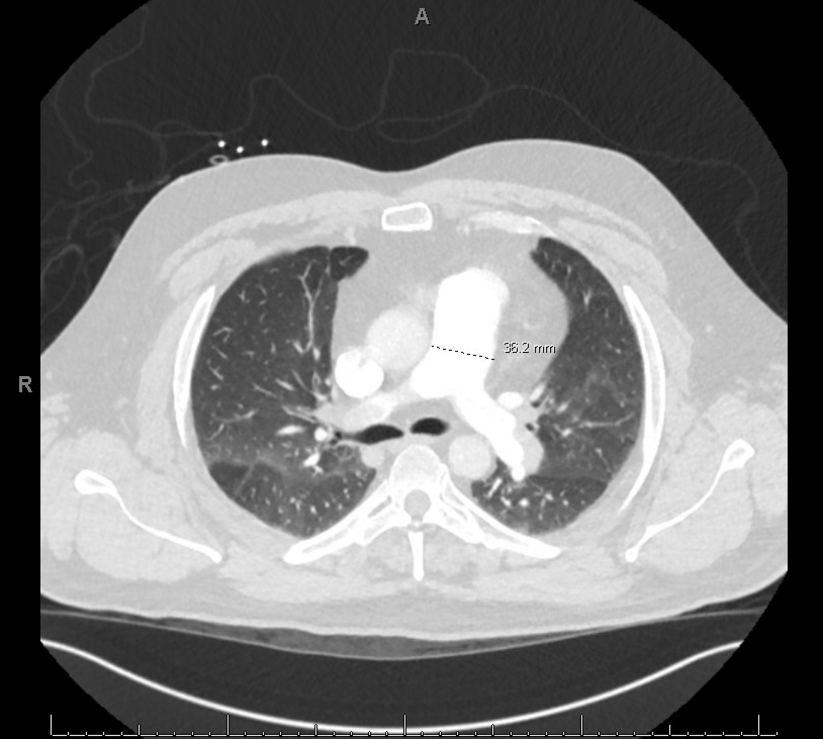
A 44-year-old male with a remote history of resected melanoma presented with acute-onset left upper extremity numbness and discoloration, progressing proximally. He also reported worsening dyspnea over one week. Physical exam revealed an absent left radial pulse and oxygen requirement of 6L via nasal cannula. CT angiography identified a left axillary artery thrombus with distal brachial artery reconstitution and bilateral pulmonary emboli. RV strain was confirmed by an RV/LV ratio of 1.2. Transthoracic echocardiogram demonstrated RV dilation and dysfunction, with a suspected PFO.
Emergent open surgical thrombectomy of the left upper extremity was performed on arrival by vascular surgery. Due to persistent hypoxia and RV dysfunction, percutaneous mechanical thrombectomy of the pulmonary arteries was performed the next day by the same team. Post-operatively, the patient developed new-onset atrial fibrillation and was started on lifelong anticoagulation with apixaban. PFO closure was deferred due to the need for ongoing anticoagulation. Thrombophilia workup was negative; however, the patient had a family history of thrombotic events.
This case underscores the importance of rapid, multidisciplinary coordination in managing complex embolic events. Our institutional Heart-Embolism-Lung Program (H.E.L.P.)—a collaborative team including cardiology, cardiovascular critical care, and vascular surgery—enabled timely, integrated management. While Pulmonary Embolism Response Teams (PERT) are well recognized, this case highlights the value of expanded, cross-specialty programs in addressing multi-system thromboembolic crises.
  • Patel, Krishna  ( University of New Mexico Hospital , Albuquerque , New Mexico , United States )
  • Tawil, Isaac  ( University of New Mexico Hospital , Albuquerque , New Mexico , United States )
  • Author Disclosures:
    Krishna Patel: DO NOT have relevant financial relationships | Isaac Tawil: DO NOT have relevant financial relationships
Meeting Info:

Scientific Sessions 2025

2025

New Orleans, Louisiana

Session Info:

Echocardiography Research and Case Reports

Monday, 11/10/2025 , 01:00PM - 02:00PM

Abstract Poster Board Session

More abstracts on this topic:
Adjunct middle meningeal artery embolization for chronic subdural hematoma: A meta-analysis to guide surgical decision making

Musheer Adeena, Faisal Noman, Haider Tehseen, Ahmed Ali, Arshad Usman, Ur Rehman Muneeb, Hassan Abbas Khan Muhammad, Said Sana, Iqbal Ahsan, Butt Abdur Rehman, Hassan Kazmi Zuha

Anticoagulation versus Antiplatelets Across Subgroups of Embolic Stroke of Undetermined Source: A Meta-Analysis of Seven Randomized Controlled Trials

Ghannam Malik, Elkind Mitchell, Tirschwell David, Poli Sven, Kamel Hooman, Yaghi Shadi, Al-qudah Abdullah, Alshaer Qasem, Kronmal Richard, Ntaios George, Longstreth W, Furie Karen, Saver Jeffrey, Kasner Scott

You have to be authorized to contact abstract author. Please, Login
Not Available