Logo

American Heart Association

  127
  0


Final ID: MDP1518

Parachute to the Rescue: The Mysterious Right Heart Mass

Abstract Body (Do not enter title and authors here): Case Presentation:
A 27-year-old female with a history of Crohn’s disease and prior pulmonary nocardiosis presented with fever of unknown origin (FUO) and lung infiltrate. CT pulmonary angiogram revealed a segmental pulmonary embolism and a sessile mass with mobile components in the right atrium (RA). A band-like mass extending from the interventricular septum to the body of the right ventricle (RV) was also noted. Transthoracic echocardiogram confirmed these findings and showed moderate to severe tricuspid regurgitation. Lab testing was notable for white blood cell count elevation and positive lupus anticoagulant with unremarkable antibody panel. Based on initial testing, the differential diagnosis included RV thrombus, malignancy, or endocarditis. The patient was started on antibiotics, anticoagulation, and transferred to our hospital.

Decision Making:
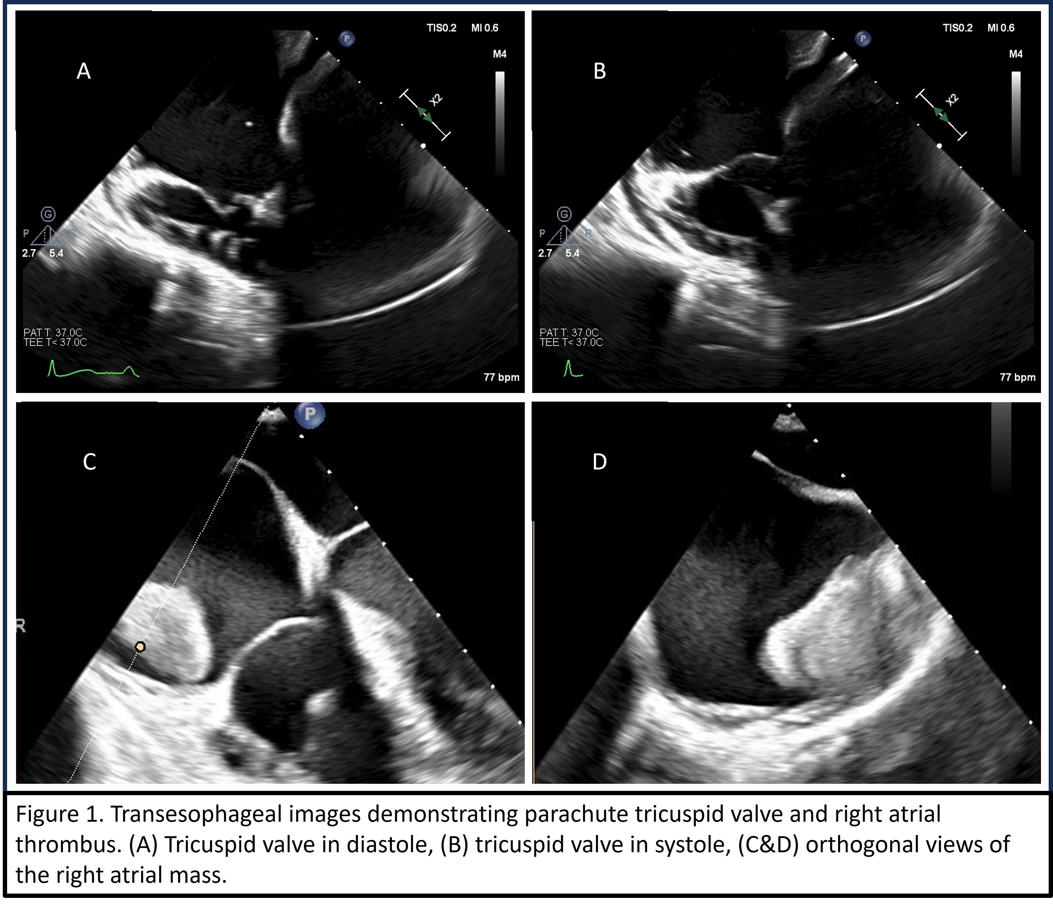
The patient underwent a transesophageal echocardiogram that demonstrated a layered RA thrombus with mobile components, patent foramen ovale, and a congenitally dysplastic ‘parachute’ tricuspid valve (TV) with apical displacement of septal leaflet (Figure 1). It was noted that TV chordae tendinae attached to a single papillary muscle which was contiguous with the moderator band. Cardiac MRI confirmed these findings and that the RA mass was a thrombus. Despite anticoagulation and antibiotics, the patient continued to have intermittent fevers. PET CT demonstrated hypermetabolism of the RA thrombus and therefore suction thrombectomy was performed. Pathology revealed thrombus with purulent debris; however, no organisms were identified. With antibiotics and anticoagulation, the patient improved clinically and was discharged with plans for outpatient follow up.

Discussion:
Parachute deformity of the atrioventricular valves is characterized by unifocal attachment of chordae tendinae to a single papillary muscle. Parachute deformity of the TV has been very rarely reported (<20 published cases) and it is associated with other congenital anomalies. This case of parachute TV deformity with FUO highlights the importance of multi-modality imaging in the workup of structural heart abnormalities and the importance of pattern recognition in diagnosing rare cardiac abnormalities.
  • Trivedi, Rishi  ( Cedars Sinai Medical Center , Los Angeles , California , United States )
  • Madaan, Prateek  ( Cedars Sinai Medical Center , Los Angeles , California , United States )
  • Gheyath, Bashaer  ( Cedars Sinai Medical Center , Los Angeles , California , United States )
  • Friedman, Oren  ( Cedars Sinai Medical Center , Los Angeles , California , United States )
  • Singh, Siddharth  ( Cedars Sinai Medical Center , Los Angeles , California , United States )
  • Author Disclosures:
    Rishi Trivedi: DO NOT have relevant financial relationships | Prateek Madaan: No Answer | bashaer gheyath: No Answer | Oren Friedman: No Answer | Siddharth Singh: No Answer
Meeting Info:

Scientific Sessions 2024

2024

Chicago, Illinois

Session Info:
More abstracts on this topic:


A Case of Possible IgG4-Related Constrictive Pericarditis Masquerading as Idiopathic Pericarditis: A Rare and Elusive Diagnosis

Nandyal Shreyas, Sharma Bharosa, Gajjar Rohan, Varma Revati, Ezegwu Olisa, Amdetison Gedion Yilma, Tottleben Jon

Acceptability and Gain of Knowledge of Community Educational Tools About Rheumatic Heart Disease Integrated With Screening In Low-Income Settings

Abrams Jessica, Nunes Maria, Diniz Marina, Fraga Lucas, Paula Luiza, Coelho Cecilia, Tacuri Chavez Luz Marina, Lemos Larissa, Correia Julliane, Ribeiro Antonio, Nascimento Bruno, Sable Craig, Spaziani Alison, Zuhlke Liesl, Cardoso Clareci, Vinhal Wanessa, Ribeiro Isabely, Oliveira Kaciane, Amaral Ingred Beatriz

More abstracts from these authors:
Novel Echocardiographic Strain Analysis Enables Mapping of Myocardial Fiber Contraction Patterns: A Case Study in Pulmonary Hypertension

Pradhan Satya Prakash, Hashemi Mohammad, Yavari Arash, Singh Siddharth, Matusov Yuri, Pedrizzetti Gianni, Kheradvar Arash

Reverse Takotsubo Syndrome in Women at Different Stages after In Vitro Fertilization

Lee Alexander, Singh Siddharth, Wei Janet

You have to be authorized to contact abstract author. Please, Login
Not Available