Logo

American Heart Association

  115
  0


Final ID: Sa4061

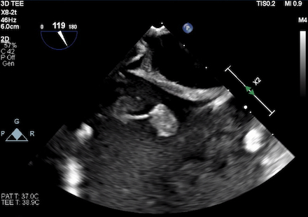
Eustachian Valve Endocarditis Successfully Extracted Using the Angio-Vac Aspiration System

Abstract Body (Do not enter title and authors here): Introduction
Eustachian valve endocarditis is a rare right-sided endocarditis that is often poorly visualized on transthoracic echocardiography (TTE). Here is a case of eustachian valve endocarditis first identified on TTE. It was refractory to intravenous antibiotic therapy and was successfully treated using the AngioVac aspiration system for percutaneous debulking.
Case
A 36-year-old female with a past medical history of depression, intravenous heroin use, and substance-induced mood disorder presented with altered mental status and respiratory distress. She was found to have methicillin-sensitive staphylococcus aureus (MSSA) bacteremia, a gluteal abscess, multiple septic pulmonary emboli, and a left-sided empyema. She was started on broad-spectrum antibiotics that were narrowed to cefazolin. Her gluteal abscess was drained, and a left-sided chest tube was placed with pleural cultures growing MSSA. TTE demonstrated a mass on the eustachian valve. Subsequent transesophageal echocardiography (TEE) demonstrated two echogenic masses adherent to the eustachian valve, one measuring 17 by 9 millimeters and one measuring 15 by 8 millimeters, consistent with eustachian valve endocarditis. Despite appropriate antibiotic therapy, she continued to have intermittent fevers with persistently positive blood cultures. The patient underwent TEE-guided extraction of the eustachian valve vegetation using the AngioVac aspiration system. TEE at the end of the case demonstrated complete removal of her eustachian valve masses. Blood cultures cleared post-procedure, and she was eventually discharged to acute rehabilitation.
Conclusion
In cases of eustachian valve endocarditis refractory to appropriate antibiotic therapy, the AngioVac aspiration system offers an option for percutaneous extraction of eustachian valve vegetations.
  • Schimmer, Hannah  ( NYC Health + Hospitals/Bellevue; , New York , New York , United States )
  • Howe, William  ( NYC Health + Hospitals/Bellevue; , New York , New York , United States )
  • Landau, Jessica  ( NYC Health + Hospitals/Bellevue; , New York , New York , United States )
  • Medamana, John  ( New York University Grossman School of Medicine , New York , New York , United States )
  • Yarusi, Brett  ( New York University Grossman School of Medicine , New York , New York , United States )
  • Kiefer, Nicholas  ( New York University Grossman School of Medicine , New York , New York , United States )
  • Bernard, Samuel  ( New York University Grossman School of Medicine , New York , New York , United States )
  • Alviar, Carlos  ( New York University Grossman School of Medicine , New York , New York , United States )
  • Bangalore, Sripal  ( New York University Grossman School of Medicine , New York , New York , United States )
  • Author Disclosures:
    Hannah Schimmer: DO NOT have relevant financial relationships | William Howe: No Answer | Jessica Landau: DO NOT have relevant financial relationships | John Medamana: No Answer | Brett Yarusi: No Answer | Nicholas Kiefer: No Answer | Samuel Bernard: DO NOT have relevant financial relationships | Carlos Alviar: No Answer | Sripal Bangalore: DO have relevant financial relationships ; Advisor:Abbott Vascular:Active (exists now) ; Consultant:Shockwave:Active (exists now) ; Consultant:Recor:Active (exists now) ; Consultant:Pfizer:Active (exists now) ; Consultant:Amgen:Active (exists now) ; Consultant:Argon:Active (exists now) ; Consultant:Imperial Health:Active (exists now) ; Consultant:Inari:Active (exists now) ; Consultant:Biotronik:Active (exists now) ; Advisor:Boston Scientific:Active (exists now)
Meeting Info:

Scientific Sessions 2024

2024

Chicago, Illinois

Session Info:

Managing the Rarest of Cases: Super Hero Interventionalist to the Rescue!

Saturday, 11/16/2024 , 10:30AM - 11:30AM

Abstract Poster Session

More abstracts on this topic:
Comparative Analysis of Transcatheter Mitral Valve Replacement versus Redo-Surgical Mitral Valve Replacement: A Systematic Review and Meta Analysis

Shaukat Muhammad Talha, Sellke Frank, Rehman Wania, Rehman Aqeeb Ur, Mohsin Aleenah, Rahman Saad Ur, Imran Hafiz, Qureshi Muhammad Ahmad, Abbott Jinnette, Ehsan Afshin

A Meta-Analysis on the Effect of Chronic Total Occlusion of Coronary Arteries on Cardiovascular Outcomes in Patients Undergoing Transcatheter Aortic Valve Replacement

Goyal Aman, Tariq Muhammad Daoud, Zahra Rubab, Jain Hritvik, Khan Rozi, Mahalwar Gauranga

More abstracts from these authors:
Expert Faculty Impella Heart Pump Device

Krychtiuk Konstantin, Alviar Carlos, Kiefer Nicholas

State of the Art in Interventional Management of Coronary Calcification

Bangalore Sripal, Riley Robert

You have to be authorized to contact abstract author. Please, Login
Not Available