Logo

American Heart Association

  179
  0


Final ID: MDP1475

POLA-R-CHP: Promising Results in DLBCL with Cardiac Involvement

Abstract Body (Do not enter title and authors here): Polatuzumab Vedotin is a novel antibody-drug conjugate that targets CD79b, a B-cell antigen receptor expressed in mature B-cell lymphomas such as Diffuse Large B-Cell Lymphoma (DLBCL)1. Yet, its effect on cardiac disease is unknown.

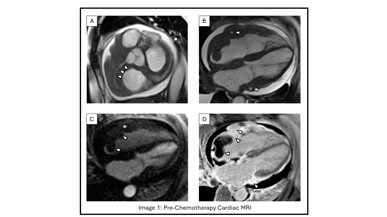
We present a case illustrating clinical outcome of a patient treated with Polatuzumab plus standard Rituximab, Vincristine and Prednisone (Pola-R-CHP) for metastatic DLBCL with profound cardiac involvement. She is a 56-year-old female who presented with pre-syncope associated with night sweats, myalgia and weight loss. On examination, a grade II/VI tricuspid regurgitation murmur was auscultated. CT showed chronic right lower lobe pulmonary embolism along with axillary and mediastinal lymphadenopathy. New findings of a mass protruding into the right atrium with thickening of right atrial and ventricular walls, a right atrial thrombus and small pericardial effusion were reported. Cardiac MRI characterized the mass to be partially vascularized with extension from right to left chambers encasing RCA and coronary sinus with diffuse interstitial expansion and inflammation (Image 1). Axillary lymph node biopsy was consistent with aggressive B cell lymphoma with positive CD19, CD20 and BCL2 markers. Hospital course was significant for polymorphic VT with degeneration into VFib arrest. ROSC was achieved after one round of ACLS. Multiple factors may have contributed to VT including myocardial inflammation, possible tumor induced RCA compression and prolonged QT. Amiodarone and anticoagulation were initiated and patient was discharged with a wearable cardiac defibrillator along with oncology and cardio-oncology referrals.

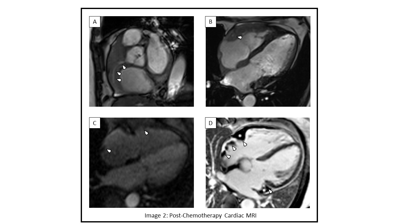
Traditionally, DLBCL is treated with R-CHOP (Rituximab, Cyclophosphamide, Doxorubicin, Vincristine, Prednisone), however up to 40% of patients develop refractory disease or have a relapse1. As in the recent POLARIX trial1, our patient underwent three cycles of novel regimen of Pola-R-CHP. Follow up PET showed dramatic response with metabolic remission (Image 3). Cardiac MRI showed reduction in RV tumor, RA thrombus and inflammatory burden with preserved LV and RV function (Image 2). No further arrhythmias were noted and the patient completed chemotherapy. This case highlights a positive outcome in a patient with aggressive DLBCL with cardiac metastasis treated with Polatuzumab based therapy.

References
1. Tilly H et al. Polatuzumab vedotin in previously untreated diffuse large B-Cell lymphoma. NEJM 2022;386:351–363
  • Sharma, Sneha  ( Ohio State University , Cincinnati , Ohio , United States )
  • Goyal, Akash  ( Ohio State University , Columbus , Ohio , United States )
  • Addison, Daniel  ( Ohio State University , Columbus , Ohio , United States )
  • Potter, Adam  ( Ohio State University , Columbus , Ohio , United States )
  • Author Disclosures:
    Sneha Sharma: DO NOT have relevant financial relationships | Akash Goyal: DO NOT have relevant financial relationships | Daniel Addison: DO NOT have relevant financial relationships | Adam Potter: No Answer
Meeting Info:

Scientific Sessions 2024

2024

Chicago, Illinois

Session Info:

Get Pumped: Top Clinical Cases in Cardio-Oncology

Monday, 11/18/2024 , 12:50PM - 02:15PM

Moderated Digital Poster Session

More abstracts on this topic:
A novel methodology for simultaneous analysis of electrical activation parameters and myocardial fibrosis in patients with LBBB and indications to cardiac resynchronization therapy

Rimskaya Elena, Chmelevsky Mikhail, Aparina Olga, Bazhutina Anastasia, Budanova Margarita, Khamzin Svyatoslav, Stukalova Olga, Ternovoy Sergey, Golitsyn Sergey

Abdominal Aortic Blood Flow and Interstage Growth and Neurodevelopment in Patients with Single Ventricle Heart Disease

Abumregha Osama, Seed Mike, Floh Alejandro, Lee Fu-tsuen, Chetan Devin, Tedesco-bruce Anna, Herridge Joann, Gibson Erika, Honjo Osami, Sananes Renee, Ly Linh

More abstracts from these authors:
You have to be authorized to contact abstract author. Please, Login
Not Available