Logo

American Heart Association

  164
  0


Final ID: Su2185

Classic Physiology Revealed During Mitral Valve Transcatheter Edge-to-Edge Repair: A Case of Hypertrophic Obstructive Cardiomyopathy Resulting in Severe Mitral Regurgitation

Abstract Body (Do not enter title and authors here): Case
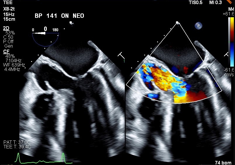
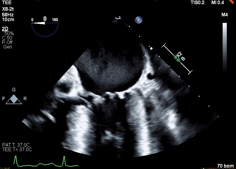
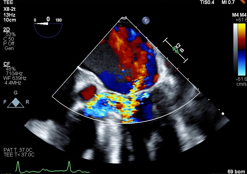
This case demonstrates classic cardiac physiology revealed in an unorthodox manner. Our patient is a 76-year-old male with a past medical history of HOCM, CAD, mild mitral regurgitation who presents to the hospital in the setting of chest pain. Work up revealed a high sensitivity troponin trend concerning for NSTEMI. Patient underwent a left heart cath where he was found to have a proximal LAD lesion with 99% stenosis requiring stenting. Post-intervention patient developed recurrent chest pain and a stat echocardiogram raised concerns for impending cardiogenic shock. Patient thus underwent emergent left and right heart cath. Impella LVAD placed for hemodynamic support. TEE was later obtained revealing moderate to severe mitral regurgitation, representing a progression from prior. At this time both advanced heart failure and structural heart service were consulted. The progression of the patient’s mitral regurgitation was thought to be impacting clinical deterioration and mitral valve transcatheter edge-to-edge repair (TEER) was discussed to address MR in the setting of obstruction. A multidisciplinary meeting resulted in decision to proceed with mitral valve TEER. Baseline hemodynamic gradients confirmed the presence of HOCM with peak-to-peak pressure gradient of 110 mmHg. Intraoperative TEE confirmed the presence of SAM and severe MR. The patient was prepared for a Pascal ACE clip, though in setting of this procedure phenylephrine was required for blood pressure support, revealing improvement in both SAM and MR. The patient was hemodynamically challenged with phenylephrine resulting in temporary resolution of MR and LVOT obstruction. These findings demonstrated a competent mitral valve with regurgitation resulting from HOCM physiology. After a multidisciplinary discussion, decision made to abort and withhold MV TEER.


Discussion
This case demonstrates classic HOCM physiology in the setting of an attempted TEER procedure. With the addition of phenylephrine and increased afterload SAM resolved, as did much of the patient’s valvular regurgitation. This confirmed a competent mitral valve impacted by HOCM physiology rather than primary mitral valvular pathology. This case demonstrates the impact of structural imaging and competent imagers in the setting of complex anatomy and physiology. In this case TEE findings from provocative hemodynamic testing prevented unnecessary procedures.
  • Axline, Michael  ( NCH Rooney Heart Institute , Naples , Florida , United States )
  • Axline, David  ( NCH Rooney Heart Institute , Naples , Florida , United States )
  • Cudemus, Gaston  ( NCH Rooney Heart Institute , Naples , Florida , United States )
  • Muller, Laura  ( NCH Rooney Heart Institute , Naples , Florida , United States )
  • Verghese, Dhiran  ( NCH Rooney Heart Institute , Naples , Florida , United States )
  • Sierra, Juan  ( NCH Rooney Heart Institute , Naples , Florida , United States )
  • Dakkak, Wael  ( NCH Rooney Heart Institute , Naples , Florida , United States )
  • Patel, Sankalp  ( NCH Healthcare System , Naples , Florida , United States )
  • Cubeddu, Robert  ( NCH Rooney Heart Institute , Naples , Florida , United States )
  • Author Disclosures:
    Michael Axline: DO NOT have relevant financial relationships | David Axline: DO NOT have relevant financial relationships | Gaston Cudemus: DO have relevant financial relationships ; Consultant:abiomed:Active (exists now) | Laura Muller: DO NOT have relevant financial relationships | Dhiran Verghese: No Answer | Juan Sierra: No Answer | Wael Dakkak: No Answer | Sankalp Patel: No Answer | Robert Cubeddu: No Answer
Meeting Info:

Scientific Sessions 2024

2024

Chicago, Illinois

Session Info:

#Trending Clinical Cases in Heart Failure

Sunday, 11/17/2024 , 03:15PM - 04:15PM

Abstract Poster Session

More abstracts on this topic:
Biomechanical Impact of Crossing Neochords In Mitral Valve Repair Using Ex Vivo Mitral Valve Prolapse Models

Zhu Yuanjia, Huynh Chris, Wu Catherine, Park Matthew, Elde Stefan, Yajima Shin, Kim Joon Bum, Woo Y Joseph

Association of Systemic Inflammatory Response Syndrome with Cardiovascular Events after Mitral Transcatheter Edge-to-edge Repair

Mannina Carlo, Sharma Samin, Kini Annapoorna, Lerakis Stamatios, Sharma Akarsh, Carbone Andreina, Bossone Eduardo, Tuttolomondo Antonino, Argulian Edgar, Neibart Eric, Halperin Jonathan, Dangas George

More abstracts from these authors:
The Safety and Efficacy of Surgical Cardiac Sympathetic Denervation for Ventricular Arrhythmias: An Updated Systematic Review & Meta-Analysis

Hanna Daniel, Karimianpour Reza, Mamprejew Nicole, Fiechter Christopher, Sierra Juan, Verghese Dhiran, Navas Elsy, Sharma Dinesh


Title: Cardiovascular Events Associated with Endothelin Receptor Antagonists: A Pharmacovigilance Analysis of Bosentan and Ambrisentan

Rathore Azeem, Jonna Sadhana, Hanna Daniel, Verghese Dhiran, Muller Laura, Sierra Juan, Navas Elsy, Mirsaeidi Mehdi

You have to be authorized to contact abstract author. Please, Login
Not Available