Logo

American Heart Association

  109
  0


Final ID: Mo2164

Hidden in Plain Sight: Mavacamten’s Role in Unmasking Structural Abnormalities in Obstructive Hypertrophic Cardiomyopathy

Abstract Body (Do not enter title and authors here): Goals: Mavacamten not only promotes favorable cardiac remodeling in obstructive hypertrophic cardiomyopathy but can also unmask additional underlying structural abnormalities.

Description of Case:
An 80-year-old man with atrial fibrillation and basal septal hypertrophy with an intracardiac defibrillator, presented due to six months of exertional dyspnea.

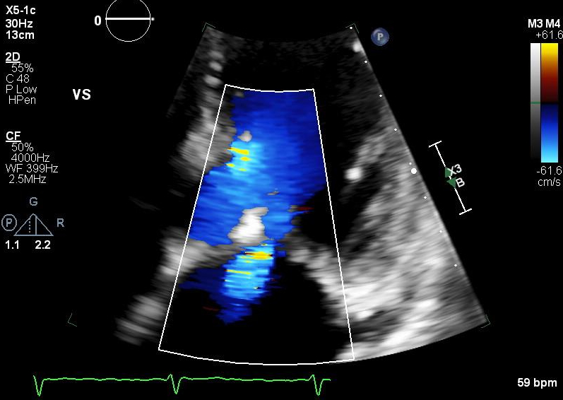
Transthoracic echocardiography (TTE) revealed severe basal septal hypertrophy (1.7cm) and systolic anterior motion (SAM) of the anterior mitral valve leaflet (peak LVOT gradient 104 mm Hg; Figure 1). The patient was treated with metoprolol but presented again one month later with recurrent postural syncope. The metoprolol dosage was increased, and the patient was initiated on mavacamten.

12 weeks after initiation of mavacamten, surveillance TTE demonstrated a LVOT gradient of 7 mmHg at rest and 11 mmHg during Valsalva maneuver, and a basal septal wall thickness of 1.0 cm. Severe mitral regurgitation was noted with the mechanism identified as both Carpentier type I and II. The primary etiology of the regurgitation was determined to be P3 prolapse (Figure 2). There was no longer evidence of SAM.

The patient remained symptomatic and was referred to cardiothoracic surgery for mitral transcatheter edge-to-edge repair (mTEER). Post procedure, the patient’s dyspnea resolved. TTE showed the implanted Mitraclip with trace intra-valvular mitral regurgitation (Figure 3).

Discussion:
This patient likely had a multifactorial cause of dyspnea. Mavacamten improved the patient’s basal septal hypertrophy and SAM. Subsequent TTE revealed a previously undetected mitral regurgitation jet which was only apparent after the use of mavacamten. This finding led to resolution of symptoms with mTEER.
  • Bhuiya, Tanzim  ( Hospital of the University of Pennsylvania , Philadelphia , Pennsylvania , United States )
  • Hsieh, Ji-cheng  ( Northwell Health , Manhasset , New York , United States )
  • Gilman, Joshua  ( North Shore University Hospital at Northwell Health , Manhasset , New York , United States )
  • Makaryus, John  ( North Shore University Hospital at Northwell Health , Manhasset , New York , United States )
  • Wharton, Ronald  ( North Shore University Hospital at Northwell Health , Manhasset , New York , United States )
  • Author Disclosures:
    Tanzim Bhuiya: DO NOT have relevant financial relationships | Ji-Cheng Hsieh: No Answer | Joshua Gilman: No Answer | John Makaryus: No Answer | Ronald Wharton: No Answer
Meeting Info:

Scientific Sessions 2024

2024

Chicago, Illinois

Session Info:

The Case of the Interesting HF Patient

Monday, 11/18/2024 , 01:30PM - 02:30PM

Abstract Poster Session

More abstracts on this topic:
Classic Physiology Revealed During Mitral Valve Transcatheter Edge-to-Edge Repair: A Case of Hypertrophic Obstructive Cardiomyopathy Resulting in Severe Mitral Regurgitation

Axline Michael, Axline David, Cudemus Gaston, Muller Laura, Verghese Dhiran, Sierra Juan, Dakkak Wael, Patel Sankalp, Cubeddu Robert

Cardiogenic Shock secondary to Acute Structural Valve Dysfunction of an Avalus Bioprosthesis in a Patient with Two Prior Valve Replacement Surgeries - Third Time’s the Charm

Matute-martinez Carlos, Twayana Anu Radha, Gumpu Sivashankar Prashanth, Tabowei Godfrey, Tabatabaei Yeganeh Hanieh, Watts Abi, Boccalandro Fernando

More abstracts from these authors:
Targeted Therapy Interrupted: Managing Hypertrophic Obstructive Cardiomyopathy in Pregnancy

Bhuiya Tanzim, Oribabor Jessica, Saith Armaan, Genuardi Michael, Day Sharlene

The Utility of the Modified Shock Index (MSI) in Risk Stratification of Patients with STEMI

Jnani Jack, Alboucai Jack, Bulsara Kishen, Cheng Austin, Griffin Matthew, Alvarez Villela Miguel, Pierce Matthew, Weintraub Spencer, George Riya, Impastato Brandon, Kamel Maikel, Sood Aditya, Hsieh Ji-cheng, Srivastava Shreya, Tsai Andrew

You have to be authorized to contact abstract author. Please, Login
Not Available