Logo

American Heart Association

  198
  0


Final ID: Su4050

Acute Brain Attack: Peering Through The Esophageal Window In Cryptogenic Ischemic Stroke

Abstract Body (Do not enter title and authors here): The growing adoption of advanced imaging modalities, such as transesophageal echocardiography (TEE), has led to more frequent detection of cardiac structural abnormalities. While intracardiac cardiac tumors and shunts are infrequent and typically asymptomatic, their existence can precipitate severe outcomes, including stroke, myocardial infarction and sudden death.
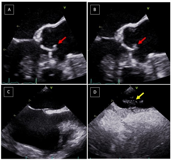
Case Description: A 69-year-old female presented with left sided facial droop, slurred speech and left arm weakness. A computed tomography angiography revealed focal occlusion of the distal right middle cerebral artery. She was initiated on thrombolytic therapy and experienced resolution of symptoms. Transthoracic echocardiogram revealed right to left shunting consistent with a patent foramen ovale (PFO). Further workup with TEE confirmed the presence of a PFO but also detected a mobile echogenic mass on the aortic valve leaflet, indicative of papillary fibroelastoma (PFE). Cerebral infarction was attributed to an embolic event, with the PFO and PFE being likely culprits.
Discussion: Current guidelines give a conditional recommendation, low certainty of evidence, for PFO closure in adults older than 60 years, although some observational studies have shown some risk reduction in older patients. The key trials showing clinical benefit of PFO closure were in adults younger than the age of 60. For left sided cardiac tumors, such as PFE, guidelines give a 2A recommendation for resection. Addressing the risk for recurrent stroke in this 69-year-old patient was an essential part of stroke care, as such, a multi-disciplinary team of experts including cardiology, neurology, and cardiothoracic surgery was conveyed. The decision was to proceed with surgical intervention in addition to antiplatelet therapy to achieve optimal risk reduction. The patient subsequently underwent successful surgical removal of the PFE with native valve preservation and PFO closure.
Conclusion: Cardiac PFEs and PFOs can be associated with increased stroke risk. Employing appropriate imaging techniques and timely interventions are of utmost importance in stroke management.
  • Galeano, Santiago  ( Mayo Clinic , Jacksonville , Florida , United States )
  • Adedinsewo, Demilade  ( Mayo Clinic , Jacksonville , Florida , United States )
  • White, Richard  ( Mayo Clinic , Jacksonville , Florida , United States )
  • Author Disclosures:
    Santiago Galeano: DO NOT have relevant financial relationships | Demilade Adedinsewo: DO NOT have relevant financial relationships | Richard White: DO NOT have relevant financial relationships
Meeting Info:

Scientific Sessions 2024

2024

Chicago, Illinois

Session Info:

Bridging Cerebral Circuits: Innovations in Stroke and Cognitive Outcomes

Sunday, 11/17/2024 , 11:30AM - 12:30PM

Abstract Poster Session

More abstracts on this topic:
3CPR Best Abstract Award: The pathogenic role of ADAMTS13 deficiency in Chronic Thromboembolic Pulmonary Hypertension

Wu Zhijian, Zheng X. Long, Zheng Liang

Age- and Sex- Differences in the Accuracy of Rule-based Natural Language Processing Models for Identification of Pulmonary Embolism

Krishnathasan Darsiya, Jimenez David, Monreal Manuel, Secemsky Eric, Klok Erik, Hunsaker Andetta, Aghayev Ayaz, Muriel Alfonso, Hussain Mohamad, Appah-sampong Abena, Aneja Sanjay, Rashedi Sina, Mojibian Hamid, Goldhaber Samuel, Wang Liqin, Zhou Li, Krumholz Harlan, Piazza Gregory, Bikdeli Behnood, Khairani Candrika, Bejjani Antoine, Lo Ying-chih, Zarghami Mehrdad, Mahajan Shiwani, Caraballo Cesar, Jimenez Ceja Jose Victor

More abstracts from these authors:
Equity in Health Technology Implementation

Adedinsewo Demilade, Johnson Amber

Panelist

Adedinsewo Demilade, Mauricio Rina

You have to be authorized to contact abstract author. Please, Login
Not Available