Logo

American Heart Association

  204
  0


Final ID: MDP1356

A Rare Cause of Recurrent Heart Failure Exacerbations After Transcatheter Aortic Valve Replacement: Ventricular Septal Defect and Significant Paravalvular Leak

Abstract Body (Do not enter title and authors here):
Introduction: Ventricular septal defects (VSD) have been reported in <1% of cases following transcatheter aortic valve replacement (TAVR). A retrospective record review of VSD cases occurring after all TAVRs performed between January 2012 and September 2020 at one urban US tertiary hospital showed 0.37% incidence of these complications, mostly with small and restrictive VSD.

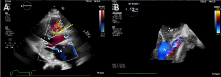
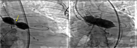
Case Description: An 80-year-old woman with history of hypertension, HFpEF, and TAVR 8 months prior for severe aortic stenosis (AS) at an outside hospital presented with worsening dyspnea and peripheral edema over the past month. Blood pressure was 148/53mmHg, heartrate 83bpm, oxygen saturation 98% and auscultation revealed a harsh holosystolic murmur 4/6 loudest at left sternal border and bibasilar rales. Chest X-ray showed pulmonary edema and bilateral pleural effusions. NT-proBNP was 17,000pg/ml and troponin-I was negative. Echocardiogram showed EF55-60%, a membranous VSD, severe pulmonary hypertension, and moderate paravalvular leak (PVL). Coronary angiogram showed non-obstructive disease. Right heart catheterization confirmed significant left to right shunting.

Treatment/Outcomes: Cardiothoracic surgery was consulted for multidisciplinary evaluation, and joint recommendation was for surgical aortic valve replacement and VSD closure which was successfully performed. One month follow-up echocardiogram showed normal aortic valve gradient without PVL and normal right ventricular pressure.

Discussion/Conclusion: Numerous potential risks such as severe and uneven calcification of the native valve, an elliptic aortic annulus, excessive valve sizing, or elevated valve placement can lead to VSD. A recurrent element in many of these instances involves direct trauma to the septum caused by the implanted valve, exacerbated by subsequent annulus dilation. The presence of PVL is common post-TAVR and is an established independent prognostic factor, while VSD post-TAVR is uncommon, but may be associated with low implantation position relative to the aortic annulus or post-implantation balloon dilatation. Rarely, worsening VSD may require operative management. In this case, the improvement of heart failure symptoms and echocardiogram parameters after transthoracic surgery confirmed successful repair.
  • Medina, Jesse  ( University of Miami/Jackson Memorial Hospital , Miami , Florida , United States )
  • Vincent, Louis  ( University of Miami/Jackson Memorial Hospital , Miami , Florida , United States )
  • Rodriguez Ferreira, Esteban  ( Facultad de Ciencias Medicas, Universidad Nacional de Asuncion , Asuncion , Paraguay )
  • Spence-miller, Shanice  ( University of Miami/Jackson Memorial Hospital , Miami , Florida , United States )
  • Fernandez, Joel  ( University of South Florida , Tampa , Florida , United States )
  • Colombo, Rosario  ( University of Miami/Jackson Memorial Hospital , Miami , Florida , United States )
  • Calfa, Marian  ( University of Miami/Jackson Memorial Hospital , Miami , Florida , United States )
  • Author Disclosures:
    Jesse Medina: DO NOT have relevant financial relationships | Louis Vincent: No Answer | Esteban Rodriguez Ferreira: DO NOT have relevant financial relationships | Shanice Spence-Miller: DO NOT have relevant financial relationships | Joel Fernandez: DO have relevant financial relationships ; Researcher:Pfizer:Active (exists now) ; Speaker:Zoll:Past (completed) | Rosario Colombo: DO NOT have relevant financial relationships | Marian Calfa: No Answer
Meeting Info:

Scientific Sessions 2024

2024

Chicago, Illinois

Session Info:

SGLT-2 Inhibition in Heart Failure: Beyond the RCTs. What Else Do We Know?

Monday, 11/18/2024 , 09:30AM - 10:55AM

Moderated Digital Poster Session

More abstracts on this topic:
Bridging the Divide: Evaluating Outcomes Between the Sexes for Transcatheter Aortic Valve Replacement

Hattab Aleyah, Ismail Mariam, Torres Kayla, Hammad Bayan, Balami Jesse, Salem Edward, Natsheh Zachary, Seshadri Suhas, Carlson Andrew, Yu Julia, Dau Trang, Bhayani Siddharth, Qiao Victor, Singam Manisha, Wahba Romani, Habeel Samer, Nasrollahi Farrah, Dickens Helena, Dohse Carlos, Ibrahim Khalil, Kansal Mayank, Shroff Adhir, Khan Azmer, Tiu David, Tiu Daniel, Navarro Laura, Sreepathy Pranati, Ambalavanan Manoj, Kalagara Swetha

A Two-Hit HFpEF-like Mouse Model with Accelerated Disease Onset

Nehra Sarita, Selvam Sabariya, Anand Amit, Luettgen Joseph, Gulia Jyoti, Dokania Manoj, Gupta Ankit, Garcia Ricardo, Dudhgaonkar Shailesh, Mazumder Tagore Debarati, Ck Neethu, Wagh Somnath, Kale Prajakta

More abstracts from these authors:
Clinical and Angiographic Outcomes of Paclitaxel-Coated versus Limus-Coated Balloons for Coronary In-Sent Restenosis: A Systematic Review and Meta-analysis

Rodriguez Ferreira Esteban, Callizo Bedoya Maria Agustina, Hariyanto Jesslyn, Batool Gharira, Vargas Maria, Medina Jesse, Ebner Bertrand, Torres Heisecke Raul, Colombo Rosario

In-Hospital Outcomes of Surgical Versus Transcatheter Aortic Valve Replacement in Patients with Dementia

Yarlagadda Chetan, Tegegn Mickias, Vilarino Valerie, Medina Jesse, Ergui Ian, Colombo Rosario

You have to be authorized to contact abstract author. Please, Login
Not Available