Logo

American Heart Association

  106
  0


Final ID: MDP1470

Radiation Induced Valvular Heart Disease complicated by Concomitant Radiation Induced Coronary Artery Disease

Abstract Body (Do not enter title and authors here): The cardiac adverse effects of radiation therapy include both radiation-induced valvular disease and radiation-induced coronary artery disease (RICAD). However, the management of each when present concurrently is minimally described by current research and guidelines.

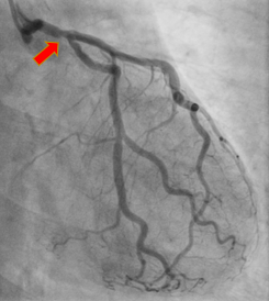
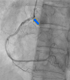
A 60 year-old infectious disease physician with history of Stage IIA Hodgkin Disease s/p radiation therapy in 1976 (age 13) presented to cardiology for new dyspnea on exertion. She had known valvular heart disease followed with serial echocardiograms. Repeat TTE completed showing now moderate to severe aortic stenosis, moderate aortic regurgitation, moderate tricuspid regurgitation, and mild to moderate mitral regurgitation. After exercise stress testing aborted due to decrease in systolic blood pressure with exertion, patient underwent cardiac catheterization and found to have moderate-severe aortic stenosis as well as hemodynamically significant ostial disease of the right coronary artery and distal left main coronary artery; classic bi-ostial coronary stenosis characteristic of RICAD. After multidisciplinary discussion with interventional cardiology, cardiothoracic surgery, and second opinion with tertiary valve center, she was referred for surgical revascularization and aortic valve replacement (AVR). Patient underwent AVR with a 23mm bioprosthetic aortic tissue valve replacement, aortic root enlargement, tricuspid valve repair with 28mm ring, and three vessel coronary artery bypass grafting.

Notably, several retrospective studies have found increased mortality with surgical aortic valve replacement in patients with prior history of radiation with many centers preferring transcatheter aortic valve replacement as a safe and effective alternative in this demographic. Despite acknowledging this predilection, SAVR chosen in this patient specifically given her concurrent RICAD requiring revascularization. This case intimately highlights the need for further studies regarding management of radiation-induced valvular disease when complicated by RICAD.
  • Basile, Sean  ( Walter Reed National Military Medical Center , Bethesda , Maryland , United States )
  • Venkataraman, Ramesh  ( Walter Reed National Military Medical Center , Bethesda , Maryland , United States )
  • Gallagher, Robert  ( Walter Reed National Military Medical Center , Bethesda , Maryland , United States )
  • Author Disclosures:
    Sean Basile: DO NOT have relevant financial relationships | Ramesh Venkataraman: No Answer | Robert Gallagher: No Answer
Meeting Info:

Scientific Sessions 2024

2024

Chicago, Illinois

Session Info:

Get Pumped: Top Clinical Cases in Cardio-Oncology

Monday, 11/18/2024 , 12:50PM - 02:15PM

Moderated Digital Poster Session

More abstracts on this topic:
A Remedy for the Heart and the Hemoglobin: Improvement in Anemia Post Transcatheter Aortic Valve Replacement

Matta Raghav, Roy Aanya, Hammad Bayan, Draffen Arvind, Natsheh Zachary, Tiu Daniel, Tiu David, Salem Edward, Balami Jesse, Kalagara Swetha, Gupta Neil, Uraizee Omar, Sahgal Savina, Mishra Atreya, Ene Adriana, Hattab Aleyah, Arora Aarushi, Sufyaan Humam, Dau Trang, Silberstein Jonathan, Yu Julia, Torres Kayla, Seshadri Suhas, Navarro Laura, Singam Manisha, Ismail Mariam, Rana Riya, Habeel Samer, Liu Simon, Chaganti Srinidhi, Gurbuxani Vidur, Dwyer Kaluzna Stephanie, Groo Vicki, Carlson Andrew, Shroff Adhir, Bhayani Siddharth, Khan Azmer, Bhattaram Rohan, Zhang Runze, Shah Pal

A New Comprehensive Parameter Residual C-Reactive Protein And Neutrophil Risk Predict Adverse Events In Chinese Patients After Percutaneous Coronary Intervention: a National Multi-Center Prospective Cohort Study

Yang Fen, Yu Miao, Cheng Xiang

You have to be authorized to contact abstract author. Please, Login
Not Available