Logo

American Heart Association

  120
  0


Final ID: Sa4066

Simultaneous Percutaneous Ventricular Septal Closure and Mitral Valve Repair in Postinfarction Ventricular Septal Rupture and Papillary Muscle Rupture Complicated by Cardiogenic Shock

Abstract Body (Do not enter title and authors here): Introduction: Post-infarction (post-MI) ventricular septal rupture (VSR) and papillary muscle rupture (PMR) are usually lethal complications of acute STEMI that have decreased in the fibrinolytic era and with rapid STEMI response teams. Delayed correction is preferred for recovery from MI and healing of the edges of the VSD but like emergent repair, delayed treatment is also associated with high mortality. We present a case of concomitant post-MI VSR and PMR successfully corrected by simultaneous percutaneous intervention.
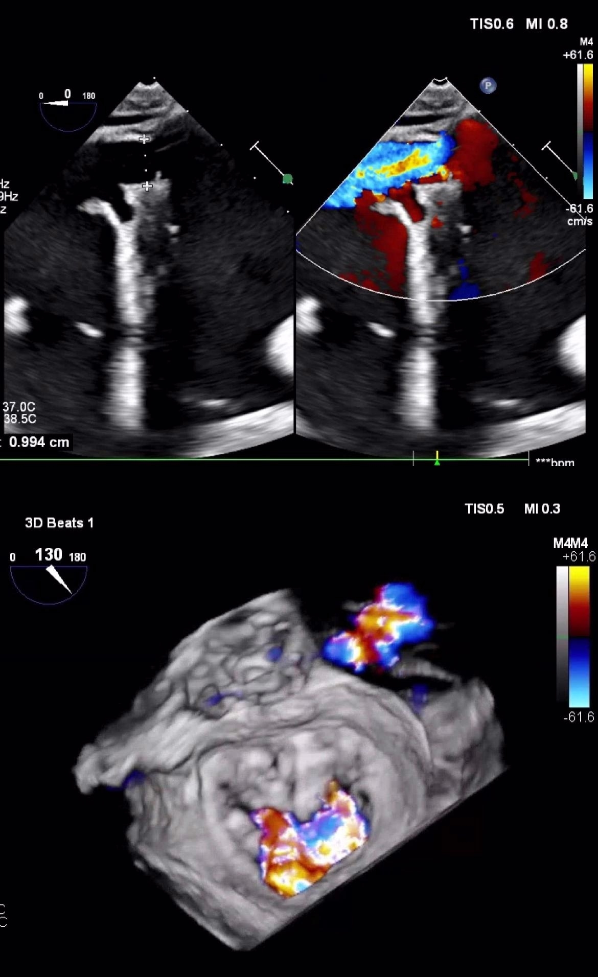
Case presentation: A 76-yo female with hypertension, obesity and asthma presented with progressively worsening dyspnea and mild substernal chest pain for 4 days. She appeared pale, diaphoretic, and hypoxic, with troponin of 22ng/mL and lactate of 9mmol/L. ECG showed Q waves with STE<1 mm in the inferior leads. A bedside EchoCG suggested possible VSR with a L-to-R shunt. Emergent angiography showed a 100% thrombotic occlusion of LCA and chronic 100% RCA occlusion. Right heart catheterization indicated elevated right-sided pressures with a stepwise increase in SaO2 from 45% the RA to 70% in the RV. She remained hemodynamically unstable requiring mechanical ventilatory and circulatory support with intra-aortic balloon pump (IABP) and vasopressors. Transthoracic EchoCG showed LVEF of 30% with akinetic inferior wall and RV, irregularly shaped 1 cm VSD in the mid-inferoseptum with a predominant L-to-R shunt, along with intramyocardial dissection, partially torn papillary muscle with severe MR. The patient was kept in ICU for 25 days with IAPM to allow for scarring of the VSD followed by percutaneous VSD closure with an Amplatzer device and mitral valve repair with a MitraClip. IABP was removed subsequently but the patient failed weaning process and ended up requiring tracheostomy. She was successfully discharged to a skilled nursing facility two months after admission.
Discussion: Post-MI VSR and PMR usually fail conservative management while open heart surgery carries high risk. In our case VSR and PMR were corrected with a one-time percutaneous procedure.
Conclusion: Percutaneous intervention seems a promising alternative even for combined post-MI mechanical complications.
  • Giverts, Ilya  ( Maimonides Medical Center , Brooklyn , New York , United States )
  • Naeem, Azka  ( Maimonides medical center , Brooklyn , New York , United States )
  • Shetty, Vijay  ( Maimonides Medical Center , Brooklyn , New York , United States )
  • Youdelman, Benjamin  ( Maimonides Medical Center , Brooklyn , New York , United States )
  • Author Disclosures:
    Ilya Giverts: DO NOT have relevant financial relationships | Azka Naeem: DO NOT have relevant financial relationships | VIJAY SHETTY: No Answer | Benjamin Youdelman: No Answer
Meeting Info:

Scientific Sessions 2024

2024

Chicago, Illinois

Session Info:

Managing the Rarest of Cases: Super Hero Interventionalist to the Rescue!

Saturday, 11/16/2024 , 10:30AM - 11:30AM

Abstract Poster Session

More abstracts on this topic:
Comparative Analysis of Transcatheter Mitral Valve Replacement versus Redo-Surgical Mitral Valve Replacement: A Systematic Review and Meta Analysis

Shaukat Muhammad Talha, Sellke Frank, Rehman Wania, Rehman Aqeeb Ur, Mohsin Aleenah, Rahman Saad Ur, Imran Hafiz, Qureshi Muhammad Ahmad, Abbott Jinnette, Ehsan Afshin

Association of Mitral Regurgitation with Heart Failure Subtypes in Patients with Chronic Kidney Disease: the CRIC Study

Jin Xuanyi, Bazzano Lydia, Mills Katherine, He Jiang, Chen Jing, He Hua, Zhao Cong, Richardson Sydney, Wright Layla, Suayp Oygen, Alvarado Flor, Alper Arnold

More abstracts from these authors:
Can We Diagnose Ticagrelor-induced Dyspnea After Urgent Percutaneous Coronary Intervention with Cardiopulmonary Exercise Testing?

Giverts Ilya, Andreev Denis, Nanda Saumya

Language AI Chat BOTs as Pioneers in Cardiovascular Diagnosis? A Retrospective Analysis on Real-Time Patients in a Tertiary Care Centre

Naeem Azka, Shetty Vijay, Slobodyanyuk Kseniya, Baqir Syed Mujtaba, Khan Omair, Jana Kundan, Mohsin Fizza, Sajid Fatima, Aung Oo, Kaur Avleen, Wong Victor

You have to be authorized to contact abstract author. Please, Login
Not Available