Logo

American Heart Association

  214
  0


Final ID: MDP554

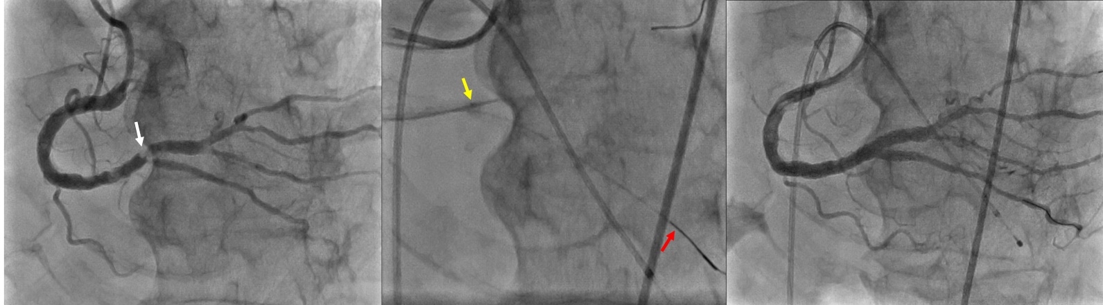
Double Guiding Catheter Technique for Orbital Atherectomy in a Heavily Calcified Coronary Bifurcation Using Microcatheter Protection for Non-atherectomy Wire

Abstract Body (Do not enter title and authors here): Background: Heavily calcified coronary bifurcation lesions present significant challenges during percutaneous coronary intervention, particularly during atherectomy due to the risk of side branch occlusion from plaque shift. We describe the "Double Guiding Catheter Technique" to minimize side branch closure and wire damage to non-atherectomy vessels during bifurcation orbital atherectomy (OA).

Case: A 74-year-old male with a recent NSTEMI presented for elective coronary artery revascularization. A coronary angiogram revealed non-obstructive left coronary arteries and a dominant right coronary artery (RCA) with heavily calcified stenosis at the bifurcation of the right posterolateral (RPL) and right posterior descending (RPD) branches. After placing temporary transvenous pacing and inserting sheaths in the right radial and right femoral arteries, both the RPL and RPD were wired with coronary guidewires. Using a coronary microcatheter, the wire in RPL was replaced with a ViperWire guidewire for OA, while the microcatheter in RPD served as guidewire protection. OA of RPL was successfully performed with the Diamondback 360° OA system (Cardiovascular Systems Inc), followed by multiple dilatations with non-compliant balloons and placement of two drug-eluting stents in the distal RCA to RPL and RPD, achieving good angiographic and IVUS results.

Discussion: The Double Guiding Catheter Technique has been described in a few case reports of heavily calcified left main coronary bifurcation atherectomy which is limited to relatively proximal lesions due to the need to pass a second wire to a non-atherectomy vessel outside a guide extension catheter for the main branch. This is the first reported case of OA using this technique in the right coronary artery and a relatively distal part of the coronary artery. The primary advantage of this technique is eliminating the need to withdraw one of the two wires, which can be challenging when recrossing the side branch. The microcatheter can safely protect the other branch wire during atherectomy.

Conclusion: By maintaining both wires with a protective microcatheter, OA of coronary bifurcation stenosis can be successfully achieved, potentially reducing the risk of wire transection.
  • Yinadsawaphan, Thanaboon  ( University of Hawaii , Honolulu , Hawaii , United States )
  • Kulthamrongsri, Narathorn  ( Mayo Clinic,AZ , Phoenix , Arizona , United States )
  • Baquero, Giselle  ( Univ of Hawaii , Kailua , Hawaii , United States )
  • Author Disclosures:
    Thanaboon Yinadsawaphan: DO NOT have relevant financial relationships | Narathorn Kulthamrongsri: DO NOT have relevant financial relationships | Giselle Baquero: No Answer
Meeting Info:

Scientific Sessions 2024

2024

Chicago, Illinois

Session Info:

Managing Chronic Coronary Syndromes in the Cath Lab and Beyond

Saturday, 11/16/2024 , 02:50PM - 04:05PM

Moderated Digital Poster Session

More abstracts on this topic:
Association of renal function with mortality and heart failure hospitalization rates after Transcatheter Mitral Valve Edge to Edge Repair

Abuzeid Wael, Shuvy Mony, Cantor Warren, Mehta Shamir, Fam Neil, Abdel-qadir Husam, Sacoransky Ethan, Czarnecki Andrew, Ke Danny Yu Jia, Teng Carolyn, Dave Prasham, Osten Mark, Zile Brigita, Wang Xuesong

Safety and Efficacy of Radial Versus Femoral Access for Rotational Atherectomy: An Updated Systematic Review And Meta-Analysis

Ahmed Muhammad, Murtaza Muzna, Muzammil Muhammad, Sami Syeda Zuha, Nazir Ariba, Ahmed Muhammad, Asghar Muhammad Sohaib

More abstracts from these authors:
Circulating Androgen Precursors and Cardiovascular Risk: Insights From NHANES 2017-2023

Kulthamrongsri Narathorn, Kulthamrongsri Kritpong, Srikulmontri Thitiphan, Nuchpramool Prachawanee, Yinadsawaphan Thanaboon, Suenghataiphorn Thanathip, Lorlowhakarn Koravich, Thiravetyan Ben, Puchongmart Chanokporn, Wattanachayakul Phuuwadith, Ngaohirunpat Sorawis

In-Hospital Outcomes of ECMO Use in Takotsubo Cardiomyopathy with Cardiogenic Shock: A Propensity-Matched Analysis of the National Inpatient Sample

Puchongmart Chanokporn, Kulthamrongsri Narathorn, Thiravetyan Ben, Yanpiset Panat, Cruz Diego, Leelaviwat Natnicha, Jenkins Leigh, Sly Zhaunn, Lorlowhakarn Koravich, Yinadsawaphan Thanaboon

You have to be authorized to contact abstract author. Please, Login
Not Available