Logo

American Heart Association

  185
  0


Final ID: Sa1081

Endothelial-Mesenchymal Transition Mediated by Mechanical Stress Prompts Atrial Fibrogenesis

Abstract Body (Do not enter title and authors here): Background: Atrial fibrosis is crucial in developing atrial fibrillation (AF). Elevated atrial pressure may significantly mediate atrial fibrosis, yet its underlying mechanisms remain unclear.
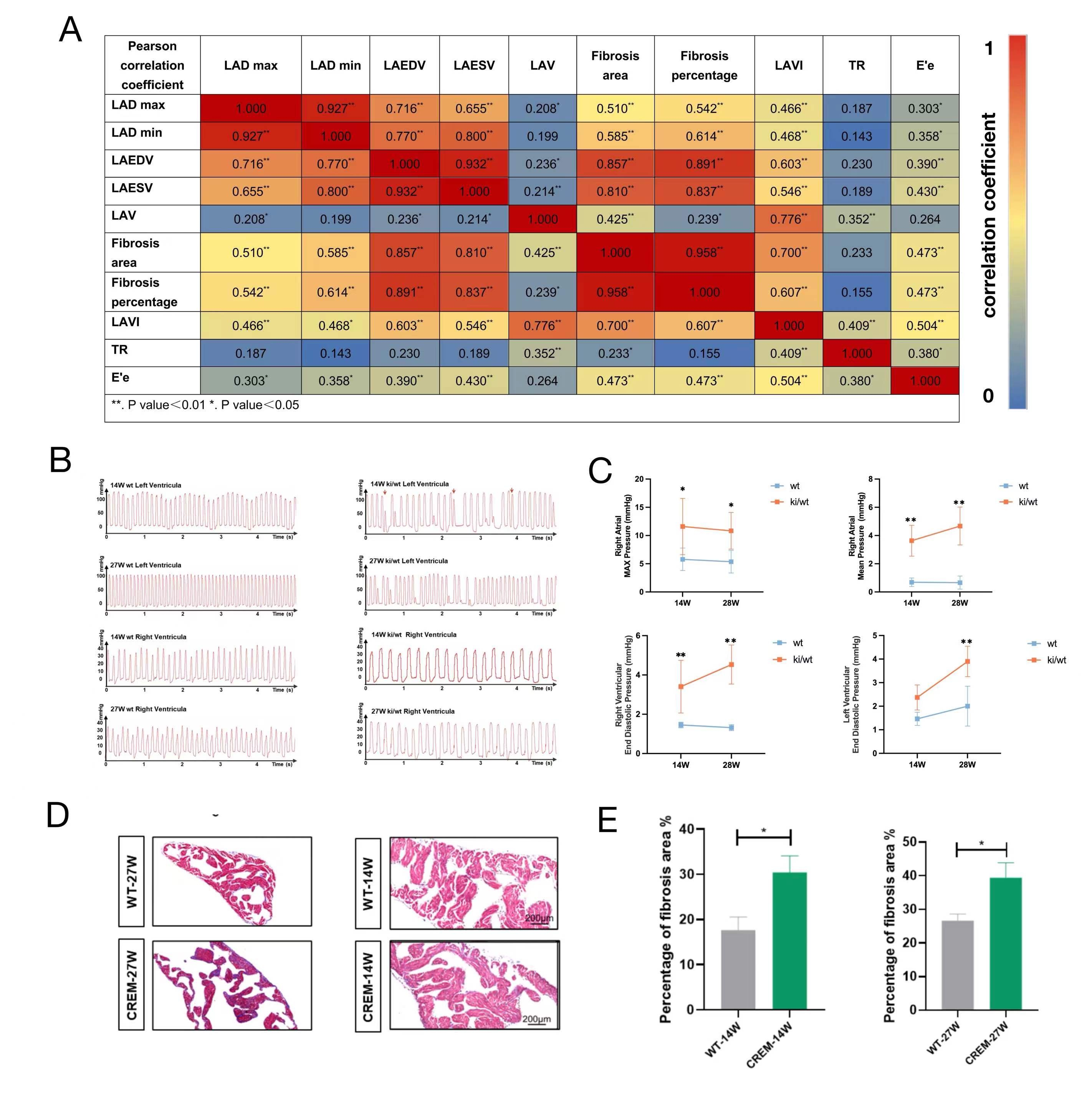
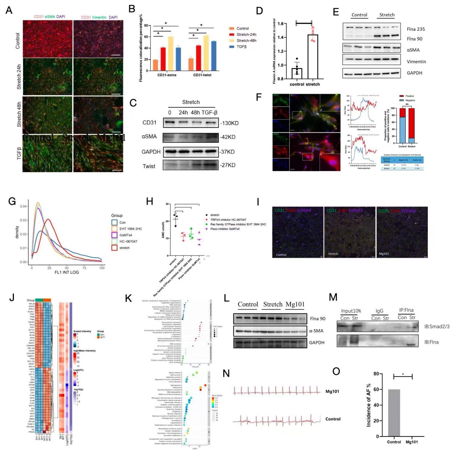
Methods: Patients with AF who underwent radiofrequency ablation were recruited. Clinical data, including high-density mapping and imaging information, was analyzed. Multivariate regression analysis was performed to identify risk factors for low-voltage areas in the atrium. The CS-CREM mouse model, an autonomic AF model, was previously developed by our research group. Millar pressure catheters were used to measure left ventricular, right ventricular, and right atrial pressures in CS-CREM mice. Single-nucleus sequencing was employed to map the single-cell transcriptomes of atrial samples in CS-CREM and wild-type mice at different disease stages. Human primary atrial endocardial endothelial cells (ACCE) and HUVEC cell lines were subjected to mechanical stretch using the Flexcell tension system, followed by in vitro validation experiments. Mg101, a calpain inhibitor, was administered to CS-CREM mice for in vivo validation experiments.
Results: Elevated atrial pressure in AF patients was identified as a significant risk factor for atrial fibrosis. Atrial pressure-related indices were linearly correlated with atrial fibrosis. Compared to wild-type mice, CS-CREM heterozygous mice exhibited significantly higher atrial pressure and aggravated atrial fibrosis. Single-nucleus sequencing revealed that atrial endocardial endothelial cells in CS-CREM mice underwent endothelial-mesenchymal transition (EnMT) into fibroblasts, with mechanical stress protein Flna being a critical regulatory protein. In vitro experiments demonstrated mechanical stretch-induced EnMT in ACCE and HUVEC cell lines. Mechanical stretch-activated mechanosensitive receptors on ACCE cell membranes led to increased intracellular calcium levels and calpain activation, which cleaved Flna into Flna 90. Flna 90 facilitated the nuclear translocation of transcription factor Smad3/7 and TGF-β, promoting the expressions of EnMT genes. This EnMT process was reversible with Mg101. In vivo experiments showed that Mg101 reduced the incidence of AF and mitigated atrial fibrosis in CS-CREM mice.
Conclusion: Mechanical stress induces cleaved Flna 90 from Flna in atrial endocardial endothelial cells, thus assisting transcription factors Smad3/7 and TGF-β in nuclear translocation, regulating EnMT and mediating atrial fibrosis.
  • Cui, Chang  ( The First Affiliated Hospital of Nanjing Medical University , Nanjing , China )
  • Qin, Huiyuan  ( The First Affiliated Hospital of Nanjing Medical University , Nanjing , China )
  • Zhu, Yue  ( The First Affiliated Hospital of Nanjing Medical University , Nanjing , China )
  • Zhang, Yike  ( The First Affiliated Hospital of Nanjing Medical University , Nanjing , China )
  • Shen, Youmei  ( The First Affiliated Hospital of Nanjing Medical University , Nanjing , China )
  • Liu, Hailei  ( The First Affiliated Hospital of Nanjing Medical University , Nanjing , China )
  • Chen, Minglong  ( The First Affiliated Hospital of Nanjing Medical University , Nanjing , China )
  • Author Disclosures:
    Chang Cui: DO NOT have relevant financial relationships | Huiyuan Qin: DO NOT have relevant financial relationships | YUE ZHU: DO NOT have relevant financial relationships | YIKE ZHANG: No Answer | Youmei Shen: No Answer | Hailei Liu: No Answer | Minglong Chen: DO NOT have relevant financial relationships
Meeting Info:

Scientific Sessions 2024

2024

Chicago, Illinois

Session Info:

Atrial and Ventricular Cardiomyocytes

Saturday, 11/16/2024 , 10:30AM - 11:30AM

Abstract Poster Session

More abstracts on this topic:
Activation of the Histamine-3 Receptor Prevents Cardiac Fibrosis and Diastolic Dysfunction by Opposing a Profibrotic Cardiac Fibroblast Phenotype through Inhibition of cAMP Signaling

Connery Heather, Herrnreiter Anja, Campbell William, Widiapradja Alexander, Levick Scott

CD38 Activation by Disturbed Flow (d-flow) Promotes Endothelial Cell (EC) Senescence-Associated Stemness (SAS) through Glutaminolysis Enhanced by Pyruvate Dehydrogenase (PDH) Inhibition, Leading to Atherothrombosis

Kotla Sivareddy, Ostos Mendoza Keila Carolina, Chau Khanh, Le Nhat Tu, Schadler Keri, Burks Jared K, Seeley Erin, Lorenzi Philip, Brookes Paul, Martin James, Wang Guangyu, Lee Jonghae, Chini Eduardo, Abe Junichi, Osborn Abigail, Pathania Rajneesh, Chen Weiqing, Samanthapudi Venkata Subrahman K, Mejia Gilbert, Hoang Oanh, Ko Kyung Ae

You have to be authorized to contact abstract author. Please, Login
Not Available