Logo

American Heart Association

  120
  0


Final ID: Sa4073

ST Elevation Myocardial Infarction in the Setting of Severe Ectasia and Aneurysm of the Left Anterior Descending Coronary Artery.

Abstract Body (Do not enter title and authors here): Background:
Coronary artery aneurysm seen in patients undergoing coronary angiography is an uncommon disorder with poorly understood pathophysiology. Patients have variable clinical presentations and often poor long-term outcomes. Management of these patients still pose a clinical dilemma given there are no standardized treatment guidelines

Description of case and discussion
A 44-year-old male with a significant past medical history of hypertension, diabetes mellitus, and hyperlipidemia presented in the emergency room (ER) for acute onset chest pain. His pain was retro-sternal, non-radiating, and pressure-like in nature. Pain was initially rated as 2/10 intensity which progressed to 9/10 later in the day with associated diaphoresis. He took acetaminophen which provided no relief. His electrocardiogram (EKG) showed ST elevation in the inferior and lateral leads. Initial troponin was negative. The cardiac catheterization laboratory was activated and the patient was administered loading doses of Aspirin, ticagrelor and a bolus of intravenous (IV) heparin.
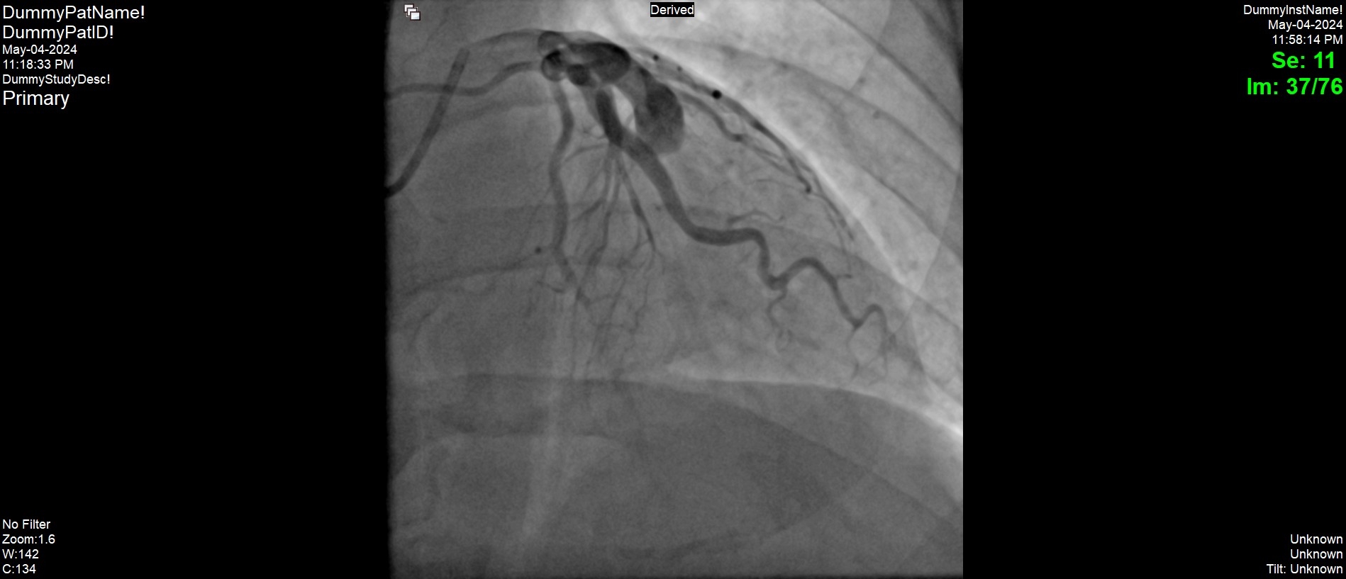
An emergent left heart catheterization and coronary angiogram was performed which revealed a 100% thrombotic occlusion of the mid LAD as well as severe ectasia of the proximal vessel. There was mild ectasia of the left circumflex and right coronary arteries without any significant stenosis. There were no collaterals to the distal LAD consistent with an acute presentation. At the level of the occlusion (mid LAD), there was an aneurysm measuring up to 10 mm in diameter by angiography. Intravenous eptifibatide was administered with the continuation of IV heparin. The thrombotic occlusion was managed medically with a plan to repeat angiography in 24-48 hours. Transthoracic echocardiography revealed a preserved left ejection fraction at about 55-60% with mild hypokinesis of the apex. Repeated angiography in 48 hours revealed a mostly patent LAD with diffuse TIMI 2 flow and sub occluded distal LAD at the apex. He was discharged home with dual antiplatelet therapy, a statin, and a beta blocker. Two weeks later he was seen on outpatient setting and his medications were transitioned to Rivaroxaban and clopidogrel

Conclusion:
Large LAD aneurysms are not common and they carry long term complications which includes thrombosis (as seen in our patient), fistula formation, and rupture. Management of this condition is still challenging as there are no standardized management guidelines.
  • Ugwendum, Derek  ( Richmond University Medical Center , Lorton , New York , United States )
  • Castillo, Ricardo  ( Richmond University Medical Center , Lorton , New York , United States )
  • Grodman, Richard  ( Richmond University Medical Center , Staten Island , New York , United States )
  • Atere, Muhammed  ( Suny downstate , Brooklyn , New York , United States )
  • Arrey Agbor, Divine B  ( Richmond University medical Center , staten Island , New York , United States )
  • Tindoy, Merschelle  ( Richmond University Medical Center , Lorton , New York , United States )
  • Farid, Meena  ( Richmond University Medical Center , Lorton , New York , United States )
  • Aboah Taylor, Akua  ( Richmond University Medical Center , Lorton , New York , United States )
  • Upadhya, Gautham  ( Richmond University Medical Center , Lorton , New York , United States )
  • Rotatori, Francesco  ( Richmond University Medical Center , Lorton , New York , United States )
  • Galligan, Sean  ( Richmond University Medical Center , Lorton , New York , United States )
  • Author Disclosures:
    Derek Ugwendum: DO NOT have relevant financial relationships | Ricardo Castillo: No Answer | Richard Grodman: DO NOT have relevant financial relationships | Muhammed Atere: No Answer | Divine B Arrey Agbor: DO NOT have relevant financial relationships | Merschelle Tindoy: DO NOT have relevant financial relationships | Meena Farid: DO NOT have relevant financial relationships | Akua Aboah Taylor: No Answer | Gautham Upadhya: DO NOT have relevant financial relationships | Francesco Rotatori: No Answer | Sean Galligan: No Answer
Meeting Info:

Scientific Sessions 2024

2024

Chicago, Illinois

Session Info:

Vascular and Microvascular Considerations for Coronary Intervention

Saturday, 11/16/2024 , 10:30AM - 11:30AM

Abstract Poster Session

More abstracts on this topic:
Anticoagulation versus Antiplatelets in Coronary Artery Ectasia and Acute Coronary Syndrome: A Systematic Review and Meta-analysis

Hernandez-pastrana Sarai, Latapi Ruiz Esparza Ximena, Martignoni Felipe, Araiza Diego, Doma Mohamed, Fatima Syeda Rubab, Hemdanieh Maya, Kritya Mangesh, Huang Wilbert, Naji Zahra, Lingamsetty Shanmukh Sai Pavan, Gewehr Douglas

Anticoagulation versus Antiplatelets Across Subgroups of Embolic Stroke of Undetermined Source: A Meta-Analysis of Seven Randomized Controlled Trials

Ghannam Malik, Elkind Mitchell, Tirschwell David, Poli Sven, Kamel Hooman, Yaghi Shadi, Al-qudah Abdullah, Alshaer Qasem, Kronmal Richard, Ntaios George, Longstreth W, Furie Karen, Saver Jeffrey, Kasner Scott

More abstracts from these authors:
Impact of Different Socioeconomic Metrics on Heart Failure-Related Admission and Short-Term Outcomes in Maryland

Akinyemi Oluwasegun, Odusanya Eunice, Fasokun Mojisola, Weldeslase Terhas, Ugwendum Derek, Lasisi Oluwatobi, Cadet Nadia, Ogundipe Temitayo, Michael Miriam

When is the Broken Heart Most Dangerous? Assessing Risk Factors to Predicting Mortality in Takotsubo Cardiomyopathy: Analysis of The National Inpatient Sample 2021

Ogunniyi Kayode, Awoyemi Toluwalase, Ugwendum Derek, Padda Inderbir, Mahtani Arun, Farid Meena

You have to be authorized to contact abstract author. Please, Login
Not Available