Logo

American Heart Association

  129
  0


Final ID: Mo2017

The Association of the Muscle Mass with Exercise Capacity and Childhood Opportunity Index in Patients with Fontan Circulation

Abstract Body (Do not enter title and authors here): Background: The Child Opportunity Index (COI) is a validated, comprehensive measure of social context, comprised of 29 indicators of child neighborhood opportunity, split into three domains (education, health and environment, and socioeconomic). Our previous work showed that low COI is associated with a 10% lower percent of predicted peak VO2 post-Fontan. Exercise intolerance is a known prognostic factor for this patient population. Previous studies have shown that health inequities in education, environment, and socioeconomics factor into worse exercise outcomes. Cardiac MRI (CMR) measured muscle mass is a novel practical technique to evaluate muscle mass. We hypothesized that lower muscle mass by CMR is associated with lower exercise capacity and lower COI z-scores.

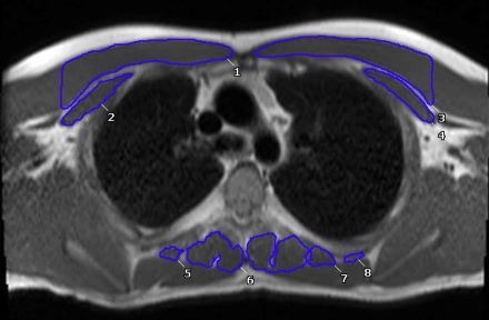
Methods: A retrospective, single-center study was performed, analyzing 75 post-Fontan patients who had CMR completed between 2010 and 2022. The anterior and paraspinal muscles were measured (Figure). COI z-scores were split into low and high levels, and univariate analyses were subsequently performed to determine associations between COI levels, exercise capacity and muscle mass.

Results: The mean age of the population was 19.09 years ± 8.58 with the majority being male (65.3%). Most patients underwent an extracardiac conduit repair (65.3%) (Table). There was a positive correlation between anterior (r=0.36, p=0.007) and paraspinal (r=0.34, p=0.01) muscle mass to peak VO2. There was no significant difference in paraspinal (p=0.15) or anterior (p=0.72) muscle mass between COI groups. Similarly, there were no significant associations between muscle mass and specific COI domains.

Conclusion: Muscle mass correlated with exercise capacity in our population and is easy to measure by CMR. There was no correlation between COI level and muscle mass in this study, suggesting that the COI impact on exercise capacity is not directly mediated by lower muscle mass and that other factors should continue to be explored.
  • Tercek, Abigail  ( UPMC CHILDRENS HOSP of PITTSBURGH , Pittsburgh , Pennsylvania , United States )
  • Smith, Kevin  ( UPMC CHILDRENS HOSP of PITTSBURGH , Pittsburgh , Pennsylvania , United States )
  • Karolcik, Brock  ( UPMC CHILDRENS HOSP of PITTSBURGH , Pittsburgh , Pennsylvania , United States )
  • Arora, Gaurav  ( UPMC CHILDRENS HOSP of PITTSBURGH , Pittsburgh , Pennsylvania , United States )
  • Kreutzer, Jacqueline  ( UPMC CHILDRENS HOSP of PITTSBURGH , Pittsburgh , Pennsylvania , United States )
  • Olivieri, Laura  ( UPMC CHILDRENS HOSP of PITTSBURGH , Pittsburgh , Pennsylvania , United States )
  • Christopher, Adam  ( UPMC CHILDRENS HOSP of PITTSBURGH , Pittsburgh , Pennsylvania , United States )
  • Alsaied, Tarek  ( UPMC CHILDRENS HOSP of PITTSBURGH , Pittsburgh , Pennsylvania , United States )
  • Author Disclosures:
    Abigail Tercek: DO NOT have relevant financial relationships | Kevin Smith: No Answer | Brock Karolcik: No Answer | Gaurav Arora: No Answer | Jacqueline Kreutzer: DO have relevant financial relationships ; Researcher:Edwards Lifesciences LLC:Active (exists now) ; Consultant:Medtronic :Active (exists now) ; Researcher:Medtronic:Active (exists now) | Laura Olivieri: DO NOT have relevant financial relationships | Adam Christopher: DO NOT have relevant financial relationships | Tarek Alsaied: DO NOT have relevant financial relationships
Meeting Info:

Scientific Sessions 2024

2024

Chicago, Illinois

Session Info:

Pediatric Imaging, Physiology and Adult Congenital Heart Disease

Monday, 11/18/2024 , 10:30AM - 11:30AM

Abstract Poster Session

More abstracts on this topic:
Association of Bone Mineral Density with Progression and Incidence of Aortic Calcification: the ERA JUMP Study

Carlson Lauren, Kadota Aya, Kadowaki Sayaka, Kondo Keiko, Miura Katsuyuki, Fujiyoshi Akira, Hisamatsu Takashi, Okamura Tomonori, Sekikawa Akira, Li Mengyi, Li Jiatong, Leader Joseph, Bon Jessica, Edmundowicz Daniel, Masaki Kamal, Willcox Bradley, Seto Todd

Analysis of Near-Infrared Spectroscopy Vascular Occlusion Test as a Complement to Ankle-Brachial Index and 6-Minute Walk Test in Patients Diagnosed with Peripheral Artery Disease

Rodriguez Cesar, Lanka Santh Prakash, Maraj Joshua, Alsabbagh Yaman, Farres Sam, Ade Carl, Liu Xiuwen, Delp Judy

More abstracts from these authors:
Incidence and Predictors of Atrial Tachyarrhythmia in Fontan Patients from the Fontan Outcome Registry using CMR Examinations (FORCE)

Rooney Sydney, Kamp Anna, Kreutzer Jacqueline, Morell Victor, Rathod Rahul, Alsaied Tarek, Schiff Mary, Li Yu, Olivieri Laura, Christopher Adam, Wolfe Natasha, Fogel Mark, Arora Gaurav, Follansbee Christopher

Panel: How do we amplify pediatric cardiology as a field in medicine and retain diverse talent in the field?

Capers Quinn, Kreutzer Jacqueline

You have to be authorized to contact abstract author. Please, Login
Not Available