Logo

American Heart Association

  194
  0


Final ID: Sa2133

An Overlap Between Takotsubo Cardiomyopathy and Hypertrophic Obstructive Cardiomyopathy Causing Dynamic Left Ventricular Outflow Tract Obstruction: A Unique Case Report

Abstract Body (Do not enter title and authors here): Background: Takotsubo cardiomyopathy (TC) can cause dynamic left ventricular outflow tract (LVOT) obstruction leading to cardiogenic shock. Due to differential wall-motion abnormalities, flow acceleration in the LVOT can lead to systolic anterior motion (SAM) of the mitral valve which worsens LVOT obstruction and leads to hemodynamic compromise. We present a case of overlap between TC and hypertrophic obstructive cardiomyopathy (HOCM) with worsening LVOT obstruction leading to cardiogenic shock.
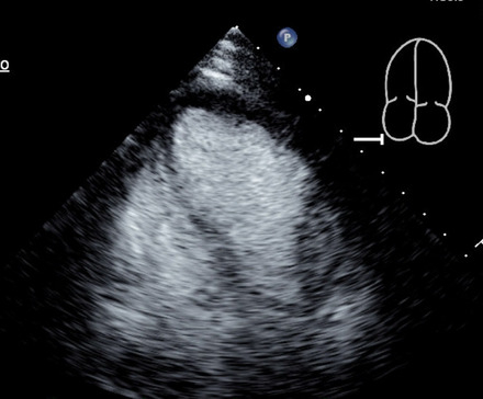
Case: A 76-year-old female presented with typical chest pain, nausea, and worsening shortness of breath. On examination, she was hypotensive and cold to touch. EKG showed T-wave inversions in lateral leads with elevated cardiac troponins. Coronary angiogram showed non-obstructive coronary artery disease, and right heart catheterization revealed elevated filling pressures. Transthoracic echocardiogram (TTE) showed septal hypertrophy and SAM of the mitral valve causing dynamic LVOT obstruction (Figure 1) and ejection fraction (EF) of 20%. TTE with contrast showed apical ballooning consistent with TC (Figure 2).
Decision Making: Initially with diuresis, she became hypotensive so it was stopped and she received controlled intravenous fluids along with phenylephrine to reduce LVOT obstruction. Her blood pressure improved and she was started on low-dose metoprolol succinate along with ivabradine to reduce heart rate. She tolerated this therapy and hemodynamics stabilized.
Conclusion: Cardiogenic shock can be a severe complication of TC. Early detection of LVOT obstruction in cardiogenic shock is important as traditional management strategies of increased inotropy and reduction of afterload can be fatal in these cases. The treatment strategy focuses on reducing the LVOT gradient and includes fluid administration to increase preload, beta-blockers to increase diastolic filling time, and vasopressors to raise afterload.
  • Sharif, Muhammad Hammad  ( Rochester General Hospital , Rochester , New York , United States )
  • Latifi, Ahmad Nawid  ( Rochester General Hospital , Rochester , New York , United States )
  • Naeem, Nauman  ( Rochester General Hospital , Rochester , New York , United States )
  • Baibhav, Bipul  ( Rochester General Hospital , Rochester , New York , United States )
  • Khaleeque, Madeeha  ( Khyber Teaching Hospital , Peshawar , Pakistan )
  • Sanjeevi, Aditya  ( Rochester General Hospital , Rochester , New York , United States )
  • Author Disclosures:
    Muhammad Hammad Sharif: DO NOT have relevant financial relationships | Ahmad Nawid Latifi: DO NOT have relevant financial relationships | Nauman Naeem: No Answer | bipul baibhav: No Answer | Madeeha Khaleeque: No Answer | Aditya Sanjeevi: DO NOT have relevant financial relationships
Meeting Info:

Scientific Sessions 2024

2024

Chicago, Illinois

Session Info:

Cool Clinical Cases in Heart Failure

Saturday, 11/16/2024 , 10:30AM - 11:30AM

Abstract Poster Session

More abstracts on this topic:
A Case of Recurrent Acute Coronary Syndrome and Cardiogenic Shock due to Apolipoprotein A-IV Amyloidosis

Muthukkumar Rashmi, Holmes Taylor, Friede Kevin

2 Dimensional Echocardiography versus 3 Dimentional Echocardiography to Assess Right Ventricular Function in Pulmonary Hypertension: A Systematic Review

Chaudhry Waleed Razzaq, Hajj Fatima, Bathula Satyamedha, Meghji Mohammed Askari, Pasupuleti Hemalatha, Kiyani Madiha, Shah Syeda Simrah, Neelakantan Ramaswamy Sanathanan, Mirzaeidizaji Nakisa, St. Jacques Jahnoy, Khan Khalil Ullah, Veluchamy Elakkiya, Jesse Joshanna

More abstracts from these authors:
In-Hospital Outcomes of Open Mitral Valve Repair or Replacement versus Percutaneous Mitral Valve Repair or Replacement in patients with Prior Mediastinal Radiation: Insight from The National Inpatient Database (2015-2020)

Osama Muhammad, Naeem Nauman, Ahmed Asmaa, Ahmad Muhammad, Rehman Saif Ur, Sharif Muhammad Hammad, Balmer-swain Mallory

Impact of Mavacamten on blood pressure in Hypertrophic Obstructive Cardiomyopathy

Shehadeh Mohanad, Eid Fahad, Rahhal Alaa, Hanafi Amir, Eid Mohamed, Baibhav Bipul

You have to be authorized to contact abstract author. Please, Login
Not Available