Logo

American Heart Association

  132
  0


Final ID: 4123899

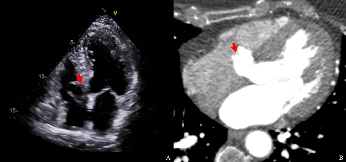
Stroke Risk in Patients with an Isolated Interventricular Membranous Septal Aneurysm

Abstract Body (Do not enter title and authors here): Aim: This study investigates the prevalence of isolated interventricular membranous septal (IVMS) aneurysms detected via echocardiography and assesses the associated stroke risk without other classical risk factors.

Methods: We searched the echocardiography database at Mount Sinai Morningside from January 2017 to September 2023. Identified echocardiograms were reviewed to confirm IVMS aneurysms and exclude sinus of Valsalva aneurysms. Patients with concurrent structural heart anomalies were excluded. Medical records were examined for baseline characteristics, risk factors, and cortical brain infarcts.

Results: From 51,732 subjects, 18 were identified with IVMS aneurysms, yielding a prevalence of 0.04%. Four patients with significant structural heart disease were excluded, resulting in a final sample size of 14. Of these, 9 (64%) were female with a mean age of 59.6, and 5 (36%) were male with a mean age of 55.4. The mean BMI was 27.9 kg/m2, with 4 classified as obese. All patients were nonsmokers; 2 had a family history of stroke. One patient had diabetes, 8 had hyperlipidemia, and 9 had hypertension. Only one patient had paroxysmal atrial fibrillation, with a CHA2DS2-VASc score of 0. Echocardiography revealed structurally normal hearts with a mean left ventricular ejection fraction of 61% and a mean left atrial volume index of 24.8 mL/m2. The mean neck diameter of the aneurysm was 8.7 mm, and the mean diameter was 11.9 mm. Two patients had inter-atrial septal aneurysms, and one had a patent foramen ovale.
Out of the 14 patients, 5 had a history of ischemic stroke (4) or transient ischemic attacks (1), all of whom were 64 years or younger with a mean RoPE Score of 6 and a mean CHA2DS2-VASc score of 1.6 at the time of their first neurologic event. All patients were treated with aspirin and statin therapy. Two patients had recurrent strokes, one of whom had four recurrent strokes, all cortical infarcts. These patients were switched to clopidogrel after 3 months of dual antiplatelet therapy. No anticoagulation was used.

Conclusion: This retrospective study highlights a notable association between isolated IVMS aneurysms and an increased risk of ischemic stroke (36%) and recurrent ischemic stroke (14%). Despite their rarity, these anomalies should be considered in unexplained strokes. Optimal management strategies remain ambiguous, but anticoagulation may be favored based on presumed stroke mechanisms. Large-scale multicenter studies are needed for validation.
  • Elias, Joseph  ( MOUNT SINAI MORNINGSIDE Hospital , New York , New York , United States )
  • Konje, Swiri  ( MOUNT SINAI MORNINGSIDE Hospital , New York , New York , United States )
  • Argulian, Edgar  ( MOUNT SINAI MORNINGSIDE Hospital , New York , New York , United States )
  • Author Disclosures:
    Joseph Elias: DO NOT have relevant financial relationships | Swiri Konje: No Answer | Edgar Argulian: DO NOT have relevant financial relationships
Meeting Info:

Scientific Sessions 2024

2024

Chicago, Illinois

Session Info:

Innovative Markers and Therapeutic Strategies in Cardiovascular and Neurological Health

Saturday, 11/16/2024 , 09:45AM - 10:45AM

Abstract Oral Session

More abstracts on this topic:
Accelerated Biological Aging, Early-Life Exposure to Tobacco, and Incident Aortic Aneurysm: A Large-Scale Prospective Cohort Study in UK Biobank

Yang Miaomiao, Feng Weijing, Dang Aimin, Gu Yingzhen

A Mast Cell-Specific Receptor Mediates Post-Stroke Brain Inflammation Via a Dural-Brain Axis

Kothari Ruchita, Caplan Justin, Gonzalez L. Fernando, Jackson Christopher, Bettegowda Chetan, Huang Judy, Koehler Raymond, Tamargo Rafael, Xu Risheng, Dong Xinzhong, Abdulrahim Mostafa, Oh Hyun Jong, Capuzzi Daniel, Nair Sumil, Zhang Yaowu, Limjunyawong Nathachit, Saini Sarbjit, Kim Jennifer

You have to be authorized to contact abstract author. Please, Login
Not Available