Logo

American Heart Association

  119
  0


Final ID: Sa2138

High Output Heart Failure After Leadless Pacemaker Placement In a Heart Transplant Recipient

Abstract Body (Do not enter title and authors here): Introduction: The advent of leadless pacemaker (LP) technology has revolutionized cardiac rhythm management by minimizing risks associated with traditional transvenous pacemakers. LP use is expected to increase as dual-chamber LP systems emerge into clinical practice. The LP requires a large-bore venous sheath (27-Fr) through a femoral vein. One risk of large bore femoral cannulation is creation of an occult arteriovenous fistula (AVF), which can cause high output heart failure (HOHF) over time. In the LEADLESS II trial, the event rate for AVF was 0.2%. HOHF as a complication of LP implant has not been previously reported. We describe the first case of HOHF in a heart transplant (HT) recipient after LP.
Case Presentation: An 82-year-old male with a history of HT 26 years earlier underwent leadless pacemaker for recurrent syncope, deemed associated with conduction system disease. He had no history of cardiac allograft rejection, angiographic coronary allograft vasculopathy or left ventricular dysfunction. Six months post-implant he presented with shortness of breath and bilateral lower extremity edema.
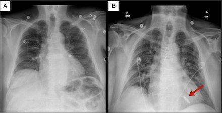
Management: Evaluation included: 1) Chest X-ray which was suggestive of pulmonary edema 2) natriuretic peptide level of 5,500 pg/ml (6-fold increase from 6 months prior) 3) echocardiogram showing EF of 69%, and 4) bilateral lower extremity Doppler ultrasound where he was found to have a large AVF between the right superficial femoral artery and superficial femoral vein. Subsequent right heart catheterization was notable for a PCWP of 18 mmHg and a cardiac output/index of 11 L/min and 5.8 L/min/m2 respectively, hence confirming HOHF. Treatment with intravenous diuretic was initiated and percutaneous stent placement to correct the AVF was performed with symptomatic relief.
Conclusion: This case highlights the rare but serious complication of unrecognized AVF following leadless pacemaker implant. Given that this event occurred in a HT recipient, a more exhaustive work-up was required to rule-out expected causes of congestion. To our knowledge there is only one other case report describing AVF post-LP implant for which no intervention was performed due to absence of symptoms at 6-month follow up and HOHF was not reported. Our case emphasizes that the differential diagnosis of new onset of signs and symptoms of heart failure that develop post LP implant in general and in HT recipients specifically, should include HOHF related to an unrecognized procedural AVF.
  • Kim, Han Wool  ( UT Southwestern Medical Center , Dallas , Texas , United States )
  • Araj, Faris  ( UT Southwestern Medical Center , Dallas , Texas , United States )
  • Malensek, Paris  ( UT Southwestern Medical Center , Dallas , Texas , United States )
  • Morlend, Robert  ( UT Southwestern Medical Center , Dallas , Texas , United States )
  • Beaini, Hadi  ( UT Southwestern Medical Center , Dallas , Texas , United States )
  • Patel, Ravi  ( Methodist Health System Dallas , Richardson , Texas , United States )
  • O'hara, Patrick  ( UT Southwestern Medical Center , Dallas , Texas , United States )
  • Goral, Montana  ( UT Southwestern Medical Center , Dallas , Texas , United States )
  • Hussain, Fizza  ( UT Southwestern Medical Center , Dallas , Texas , United States )
  • Farr, Maryjane  ( UT Southwestern Medical Center , Dallas , Texas , United States )
  • Author Disclosures:
    Han Wool Kim: DO NOT have relevant financial relationships | Faris Araj: DO NOT have relevant financial relationships | Paris Malensek: DO NOT have relevant financial relationships | Robert Morlend: DO NOT have relevant financial relationships | Hadi Beaini: DO NOT have relevant financial relationships | Ravi Patel: DO NOT have relevant financial relationships | Patrick O'Hara: DO NOT have relevant financial relationships | Montana Goral: DO NOT have relevant financial relationships | Fizza Hussain: No Answer | Maryjane Farr: DO have relevant financial relationships ; Consultant:TransMedics:Active (exists now) ; Consultant:Natera:Active (exists now)
Meeting Info:

Scientific Sessions 2024

2024

Chicago, Illinois

Session Info:

Cool Clinical Cases in Heart Failure

Saturday, 11/16/2024 , 10:30AM - 11:30AM

Abstract Poster Session

More abstracts on this topic:
4D Cardiac Magnetic Resonance Identifies Differences in Regional Strain Patterns Among Pediatric Heart Transplant Patients with Acute Rejection or Cardiac Allograft Vasculopathy

Henderson Christopher, Starnes Joseph, Samyn Margaret, Damon Bruce, Hernandez Lazaro, Goergen Craig, Soslow Jonathan, Prado Marco Aurélio, Earl Conner, Georgedurrett Kristen, Lee Simon, Nandi Deipanjan, Chan Kak-chen, Shugh Svetlana, Kikano Sandra

A Case of Recurrent Neurocardiogenic Syncope in a COVID-19 Patient

Naeem Nauman, Sharif Muhammad Hammad, Osama Muhammad, Takla Andrew, Arora Sahej, Khan Ghazi, Rao Mohan

More abstracts from these authors:
The Ultimate Test in Hemocompatibility: HeartMate3 Restart After Prolonged Pump Shut Down

Goral Montana, Patel Ravi, O'hara Patrick, Jawaid Anas, Hussain Fizza, Peltz Matthias, Farr Maryjane, Araj Faris, Hightower Mary, Edwards Michele, Varghese Densey, Thomas Melanie, Hardin Elizabeth, Kim Han Wool, Malensek Paris, Beaini Hadi

Demonstrating Pulmonary Hypertension Reversibility Before Heart Transplantation: A Novel Bedside Technique Using Postural Change

Patel Ravi, Araj Faris, Goral Montana, Hardin Elizabeth, Kim Han Wool, Malensek Paris, Beaini Hadi, O'hara Patrick, Jawaid Anas, Hussain Fizza

You have to be authorized to contact abstract author. Please, Login
Not Available