Logo

American Heart Association

  89
  0


Final ID: TP340

Transcranial Model of Stroke in Zebrafish and New Therapeutic Perspectives

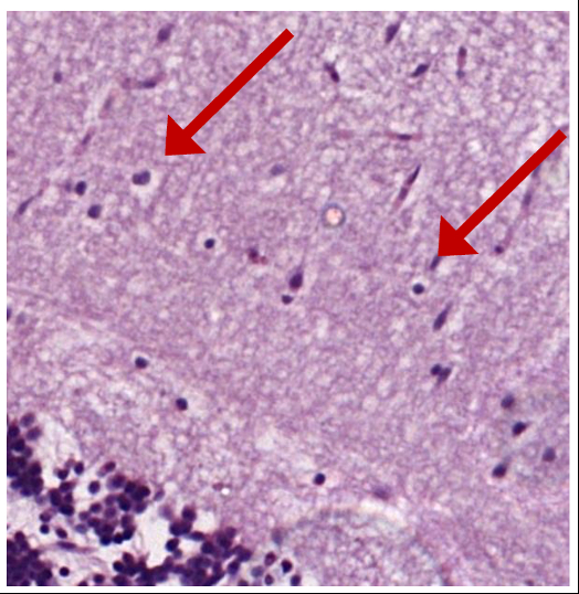
Abstract Body: Stroke is a disease with high mortality worldwide. Malignant stroke, which occurs in the absence of acute phase treatment or insufficient treatment for the recovery of the cerebral parenchyma, has high mortality and is associated with worse functional outcomes. Adequate treatment to prevent the progression of edema and herniation is still a subject that requires further research advancements. The zebrafish (Danio rerio), a vertebrate fish with high genetic and physiological similarity to humans, is used in various research studies related to neuroscience and neurological diseases, such as degenerative and cerebrovascular diseases, including ischemic stroke. Its main characteristics make research more cost-effective and replicable. As the literature mainly presents models that induce global ischemia, mimicking post-hypoxia ischemia, diffuse hypoperfusion or cardiorespiratory arrest, in this study, we propose a new model of focal ischemic stroke, induced by transcranial administration of the potent vasoconstrictor endothelin (ET-1). Animals were distributed into four groups (n=8/each) treated as follows: ET-1, transcranial ET-1, oral vehicle, and transcranial vehicle. A fifth group (n=8) without treatment (naive) was included. Cognitive and locomotor behaviors were analyzed in the Y-maze, 1, 3, 6 and 24 h after treatments. At the end of the tests, the animals were sacrificed and the brains removed for histopathological analysis. Reduced mobility, swimming speed, and distance traveled were observed in the transcranial ET-1 group, but memory was preserved in comparison to the control group (p < 0.05). Brain lesions were confirmed by histopathological analysis, showing neuronal injury and signs of neuroinflammation. It is expected that this model will aid in the advancement of translational research related to the treatment of brain edema and inflammation.
  • Homem, Hellen  ( UNIFOR , Fortaleza , Brazil )
  • Albuquerque, Julia  ( UNIFOR , Fortaleza , Brazil )
  • Feitosa, Ismael  ( UNIFOR , Fortaleza , Brazil )
  • Carneiro Melo, Juliana  ( UNIFOR , Fortaleza , Brazil )
  • Carvalho, Fernanda  ( UNIFOR , Fortaleza , Brazil )
  • Rolim Campos, Adriana  ( UNIFOR , Fortaleza , Brazil )
  • Author Disclosures:
    Hellen Homem: DO NOT have relevant financial relationships | Julia Albuquerque: No Answer | Ismael Feitosa: DO NOT have relevant financial relationships | Juliana Carneiro Melo: DO NOT have relevant financial relationships | Fernanda Carvalho: No Answer | Adriana Rolim Campos: DO NOT have relevant financial relationships
Meeting Info:
Session Info:

Translational Basic Science Posters II

Thursday, 02/06/2025 , 07:00PM - 07:30PM

Poster Abstract Session

More abstracts on this topic:
Efficacy and safety of aprocitentan in patients with resistant hypertension receiving at least 4 antihypertensive medications including beta (β) blockers

Weber Michael, Bakris George, Flack John, Narkiewicz Krzysztof, Sassi-sayadi Mouna, Schlaich Markus, Wang Jiguang, Ahuja Ajay

A First-in-Class Humanized Antibody Fragment Targeting Platelet Glycoprotein Ibα: A Comprehensive Preclinical Study of CA1001 for the Treatment of Acute Ischemic Stroke

Xu Xiaohong, Preeti Preeti, Yu Ruoying, Shaykhalishahi Hamed, Zhang Cheng, Shen Chuanbin, Li Bei, Tang Naping, Chang Yan, Xiang Qian, Cui Yimin, Lei Xi, Ni Heyu, Zhu Guangheng, Liu Zhenze, Hu Xudong, Slavkovic Sladjana, Neves Miguel, Ma Wenjing, Xie Huifang

You have to be authorized to contact abstract author. Please, Login
Not Available

Readers' Comments

We encourage you to enter the discussion by posting your comments and questions below.

Presenters will be notified of your post so that they can respond as appropriate.

This discussion platform is provided to foster engagement, and simulate conversation and knowledge sharing.

 

You have to be authorized to post a comment. Please, Login or Signup.


   Rate this abstract  (Maximum characters: 500)