Logo

American Heart Association

  135
  0


Final ID:

A Case of Cerebral Infarction Due to Fabry Disease with a Branch Atheromatous Disease-like Course

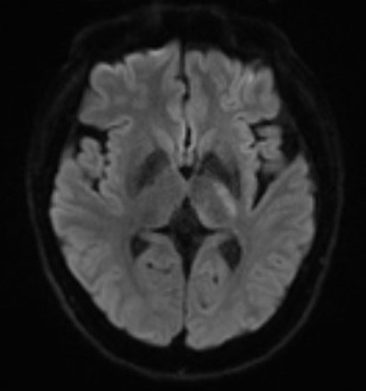
Case Summary: In less than 400 words, please summarize the case. Briefly describe the case and any particular complexities and/or complications encountered.: A 43-year-old man was diagnosed with Fabry disease when he had lacunar infarction of right putamen 8 years before the admission and was treated with agalsidase α. He had recurrent infarction in the right side of the midbrain 6 years ago and in the left corona radiata last year, but was independent in daily life with only residual right lower extremity sensory disturbance and modified Rankin Scale score was 1. This time, he was presented to our hospital with sudden-onset right hemiplegia and dysarthria from the time he woke up, and his NIHSS score was 2. Head MRI showed acute cerebral infarct in the left internal capsula. He was hospitalized and dual antiplatelet therapy (cilostazol 200 mg added to the aspirin 100 mg that he had been taking) initiated as acute lacunar infarction, but a few hours later, his right hemiplegia worsened in stepwise, and he also developed sensory deficit in the right side of his body. On the same night, his NIHSS score worsened to 5 and argatroban infusion was added, but his right hemiplegia continued to worsen. On the second day, his NIHSS score reached 10, and he required tube feeding due to marked dysphagia caused by pseudobulbar palsy. Follow-up head MRI performed on the 12th day showed that the infarct was enlarged in the anterior-posterior direction, and the course of disease was compatible with branch atheromatous disease (BAD). After rehabilitation, his right hemiplegia and pseudobulbar palsy improved with time, and he was weaned off tube feeding. He was transferred to a rehabilitation hospital on his 53rd day with a NIHSS score of 3 and mRS score of 4.
  • Ikegaya, Yuki  ( The Jikei University Hospital , Akasaka , Japan )
  • Author Disclosures:
    Yuki Ikegaya: DO NOT have relevant financial relationships
Meeting Info:
Session Info:

Complexities and Complications: Lessons In Training: Trainee Case Studies Session 2

Friday, 02/07/2025 , 07:30AM - 09:00AM

ISC Invited Symposium

More abstracts on this topic:
You have to be authorized to contact abstract author. Please, Login
Not Available

Readers' Comments

We encourage you to enter the discussion by posting your comments and questions below.

Presenters will be notified of your post so that they can respond as appropriate.

This discussion platform is provided to foster engagement, and simulate conversation and knowledge sharing.

 

You have to be authorized to post a comment. Please, Login or Signup.


   Rate this abstract  (Maximum characters: 500)