Logo

American Heart Association

  174
  0


Final ID: DP35

Enhanced Stroke Detection with Multi-directional Diffusion Weighted Low-field Magnetic Resonance Imaging

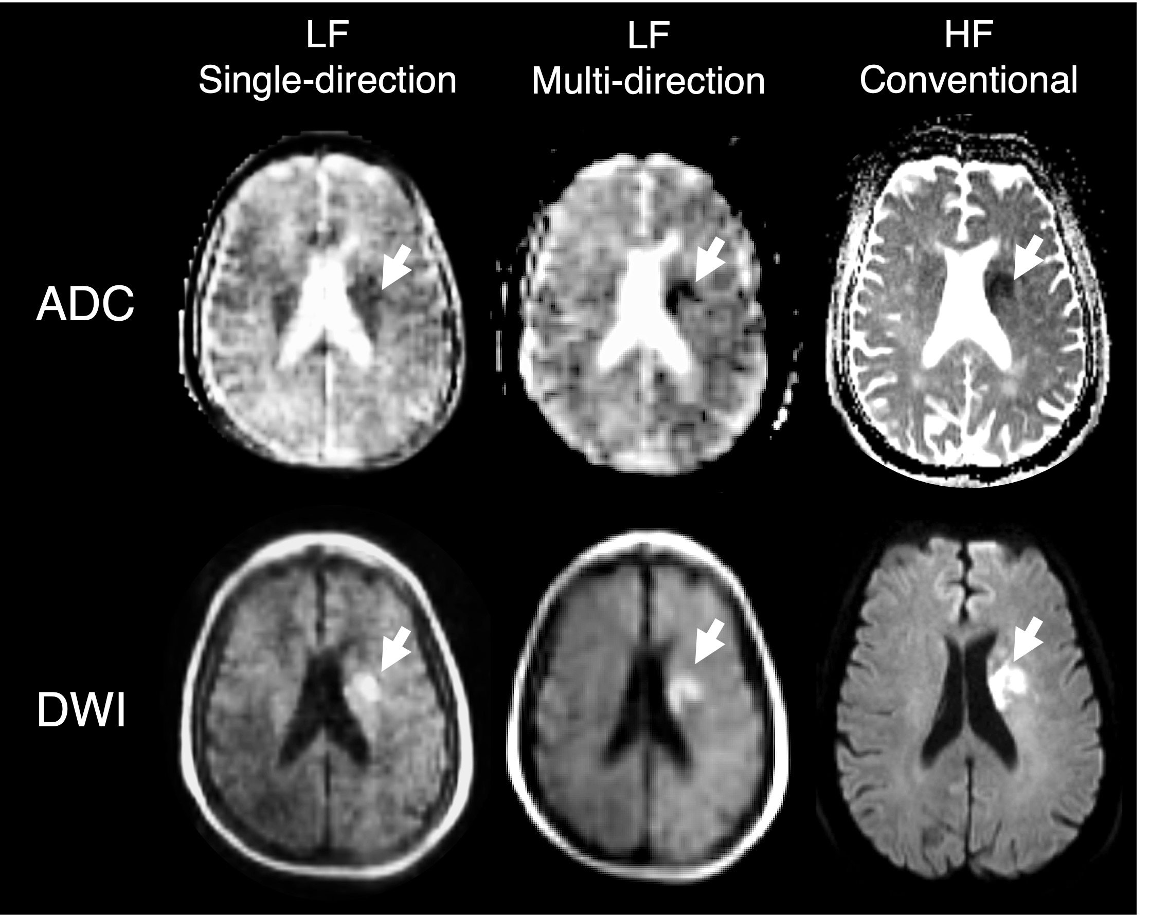
Abstract Body: Introduction: Portable, low-field (LF) magnetic resonance imaging (MRI) has the potential to improve access to brain imaging and facilitate diagnosis of acute ischemic stroke (AIS). However, due to longer acquisition time, diffusion-weighted imaging (DWI) at LF is often restricted to a single diffusion direction, which may reduce sensitivity of detection. We developed a multi-direction DWI sequence and evaluated its ability to detect stroke lesions compared with a single-direction sequence.

Methods: Patients with a suspected diagnosis of AIS were prospectively enrolled at three US centers and underwent single-direction b0 and b900 s/mm2 DWI and generation of corresponding apparent diffusion coefficient (ADC) maps on a 0.064 T MRI (Hyperfine Inc.). A subset of patients underwent additional multi-direction DWI (3 diffusion directions in x, y, and z planes) and generation of trace and ADC maps. Two independent assessors evaluated DWI and ADC scans and recorded the presence or absence of stroke lesions and their location (left/right hemisphere). The agreement, positive predictive value (PPV), negative predictive value (NPV), sensitivity, and specificity were calculated for both single- and multi-directional images as compared to the ground-truth clinical diagnosis.

Results: A total of N=66 patients were included, with N=18 undergoing additional multi-directional acquisition. Of these patients, N=36 had a confirmed ischemic stroke, and N=29 had a stroke mimic with no evidence of infarction or diffusion restriction abnormality on conventional high-field imaging. Agreement between assessors regarding lesion detection on single-direction DWI was κ=0.88 and κ=0.84 on ADC, with a κ=0.92 agreement on lesion location. On multi-directional LF-MRI, agreement increased to κ=1.0 for DWI, ADC, and lesion location. Predictive values for detecting AIS on single-direction DWI revealed a PPV of 83.9% and NPV of 71.4% which was associated with a 72.2% sensitivity and 83.3% specificity. NPV, PPV, sensitivity and specificity all increased to 100% when multi-directional DWI was assessed.

Conclusion: LF single-direction diffusion is sensitive and specific for the detection of acute ischemic infarcts, except for small lesions residing in white matter tracts that align with diffusion gradient direction. A novel LF multi-directional DWI sequence can overcome this limitation and potentially improve qualitative lesion conspicuity. Validation in a larger cohort is warranted.
  • Sorby-adams, Annabel  ( Massachusetts General Hospital and Harvard Medical School , Boston , Massachusetts , United States )
  • Pinter, Nandor  ( University of Buffalo , Buffalo , New York , United States )
  • Kirsch, John  ( Massachusetts General Hospital and Harvard Medical School , Boston , Massachusetts , United States )
  • Jaikumar, Vinay  ( University of Buffalo , Buffalo , New York , United States )
  • Goldstein, Joshua  ( Massachusetts General Hospital and Harvard Medical School , Boston , Massachusetts , United States )
  • Nelson, Olivia  ( Massachusetts General Hospital and Harvard Medical School , Boston , Massachusetts , United States )
  • Bacchi, Stephen  ( Massachusetts General Hospital and Harvard Medical School , Boston , Massachusetts , United States )
  • Guo, Jennifer  ( Massachusetts General Hospital and Harvard Medical School , Boston , Massachusetts , United States )
  • Pitts, Johns  ( Hyperfine Incorporated , Guilford , Connecticut , United States )
  • Lee, Vivien  ( Ohio State University , Columbus , Ohio , United States )
  • Muir, Keith  ( University of Glasgow , Glasgow , United Kingdom )
  • Nimjee, Shahid  ( Ohio State University , Columbus , Ohio , United States )
  • Rosen, Matthew  ( Massachusetts General Hospital and Harvard Medical School , Boston , Massachusetts , United States )
  • Iglesias, Juan Eugenio  ( Massachusetts General Hospital and Harvard Medical School , Boston , Massachusetts , United States )
  • Sheth, Kevin  ( Yale School of Medicine , New Haven , Connecticut , United States )
  • Kimberly, W. Taylor  ( Massachusetts General Hospital and Harvard Medical School , Boston , Massachusetts , United States )
  • Author Disclosures:
    Annabel Sorby-Adams: DO NOT have relevant financial relationships | Vivien Lee: DO NOT have relevant financial relationships | Keith Muir: DO have relevant financial relationships ; Consultant:Boehringer Ingelheim:Active (exists now) ; Research Funding (PI or named investigator):Boehringer Ingelheim:Past (completed) ; Speaker:Brainomix:Past (completed) ; Speaker:Boehringer Ingelheim:Past (completed) ; Consultant:Woolsey Pharma:Active (exists now) ; Consultant:Abbvie:Active (exists now) ; Consultant:Brainomix:Active (exists now) ; Consultant:Hyperfine:Active (exists now) | Shahid Nimjee: DO have relevant financial relationships ; Speaker:Medtronic:Past (completed) ; Ownership Interest:Basking Biosciences:Active (exists now) ; Consultant:Cerenovus:Active (exists now) ; Consultant:Vesalio:Past (completed) | Matthew Rosen: DO have relevant financial relationships ; Individual Stocks/Stock Options:Hyperfine:Active (exists now) ; Other (please indicate in the box next to the company name):Hyperfine (CoFounder):Active (exists now) ; Individual Stocks/Stock Options:Nanalysis:Active (exists now) ; Consultant:Nanalysis:Active (exists now) ; Consultant:ChipIron:Active (exists now) ; Consultant:DeepSpin GmbH:Active (exists now) ; Individual Stocks/Stock Options:DeepSpin GmbH:Active (exists now) | Juan Eugenio Iglesias: No Answer | Kevin Sheth: DO NOT have relevant financial relationships | W. Taylor Kimberly: DO have relevant financial relationships ; Researcher:Biogen:Past (completed) ; Consultant:Ji Xing Pharma:Active (exists now) ; Consultant:Astrocyte Pharma:Active (exists now) ; Consultant:Acasti Pharma:Active (exists now) ; Researcher:NControl Therapeutics:Past (completed) ; Researcher:Hyperfine Research, Inc:Active (exists now) | Nandor Pinter: DO have relevant financial relationships ; Speaker:Dent Neurosciences Research Center:Past (completed) ; Consultant:Biogen:Past (completed) ; Consultant:SyntheticMR:Past (completed) ; Consultant:Synchron:Active (exists now) | John Kirsch: No Answer | Vinay Jaikumar: DO NOT have relevant financial relationships | Joshua Goldstein: DO have relevant financial relationships ; Consultant:AstraZeneca:Active (exists now) ; Consultant:NControl:Past (completed) ; Consultant:Pfizer:Past (completed) ; Individual Stocks/Stock Options:Cayuga:Active (exists now) ; Consultant:Takeda:Active (exists now) ; Consultant:CSL Behring:Past (completed) ; Consultant:Octapharma:Active (exists now) | Olivia Nelson: DO NOT have relevant financial relationships | Stephen Bacchi: DO NOT have relevant financial relationships | Jennifer Guo: No Answer | Johns Pitts: DO NOT have relevant financial relationships
Meeting Info:
Session Info:

Imaging Moderated Digital Posters

Thursday, 02/06/2025 , 12:40PM - 01:10PM

Moderated Digital Poster Abstract Session

More abstracts on this topic:
Acetylcholine-loaded Nanoparticles Protect Against Myocardial Injury In In Vitro Cardiac Spheroids and In an In Vivo Myocardial Infarction Murine Model

Liu Chung Ming Clara, Patil Runali, Refaat Ahmed, Vettori Laura, Couttas Timothy, Beck Dominik, Wang Xiaowei, Gentile Carmine

An Unusual but Clinically Significant Mechanism of Cerebral Fat Embolism Syndrome in Sickle Cell Disease Patient via Patent Foramen Ovale

Obeng Samed, Odukudu God-dowell, Amadi Chima, Ford Dimitri, Azees Ridwan, Saint Julien Berlandson, Opare-addo Michael S. N.

More abstracts from these authors:
The Performance of Portable Low-field Magnetic resonance imaging in Acute Ischemic Stroke

Ciaramitaro Cody, Han Alexander, Nimjee Shahid, Forrest Cassandra, Sorby-adams Annabel, Kimberly W. Taylor, Lee Vivien

A Biomarker Based on Aneurysm Wall Enhancement and Blood Gene Expression to Identify Symptomatic Intracranial Aneurysms

Veeturi Sricharan, Poppenberg Kerry, Jaikumar Vinay, Pinter Nandor, Levy Elad, Siddiqui Adnan, Tutino Vincent

You have to be authorized to contact abstract author. Please, Login
Not Available

Readers' Comments

We encourage you to enter the discussion by posting your comments and questions below.

Presenters will be notified of your post so that they can respond as appropriate.

This discussion platform is provided to foster engagement, and simulate conversation and knowledge sharing.

 

You have to be authorized to post a comment. Please, Login or Signup.


   Rate this abstract  (Maximum characters: 500)