Logo

American Heart Association

  123
  0


Final ID: WMP47

Exploring the Neural Mechanism of Post-Thalamic Stroke Apathy Based on Disconnection-Symptom Mapping Analysis

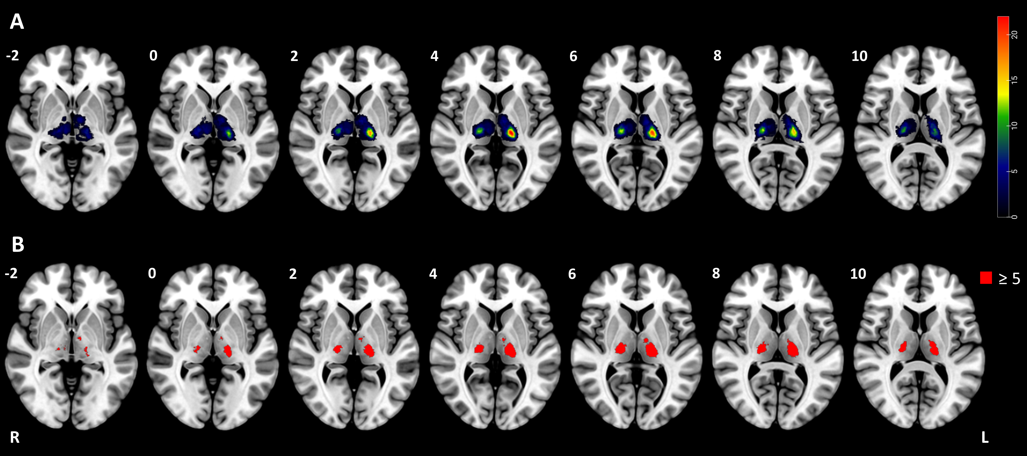
Abstract Body: Background: Occurrence of post-stroke apathy (PSA) is associated with worse outcomes and poorer quality of life. Particularly, post-thalamic stroke apathy was repeatedly reported. In this study, we performed disconnection-based analyses to reveal the neural basis of post-thalamic stroke apathy from both focal and network perspectives.

Method: This study recruited first-ever unilateral thalamic ischemic stroke patients. The Lille Apathy Rating Scale was used to characterize the appearance and severity of apathy. Patient’s lesion masks were embedded into normative connectome to generate functional or structural disconnection maps. Support Vector Regression-based Multivariate Lesion-Symptom Mapping and Disconnection-Symptom Mapping were employed to explore associations between lesion locations, structural and functional disconnections, and PSA.

Results: A total of 92 patients with thalamic infarction were included. No significant associations were found between thalamic lesion locations and PSA. However, structural disconnection in the anterior thalamic radiation and functional disconnection in the bilateral medial prefrontal cortex, bilateral inferior frontal gyrus, bilateral anterior insular cortex, right inferior parietal lobule, and right superior temporal gyrus were significantly associated with PSA.

Conclusion: The study revealed that apathy following thalamic ischemic stroke is associated with disruptions in thalamocortical networks rather than specific lesion locations. These findings suggest that post-thalamic stroke apathy is a network disorder, driven by functional diaschisis and secondary neurodegeneration. Understanding these mechanisms may inform treatment targets and improve post-stroke rehabilitation strategies.
  • Ruosu, Pan  ( West China Hospital , Chengdu , China )
  • Ye, Chen  ( West China Hospital, SCU , Chengdu , China )
  • Tang, Biqiu  ( West China Hospital , Chengdu , China )
  • Lui, Su  ( West China Hospital , Chengdu , China )
  • Wu, Bo  ( West China Hospital, Sichuan Univer , Chengdu , China )
  • Author Disclosures:
    Pan Ruosu: DO NOT have relevant financial relationships | Chen Ye: DO NOT have relevant financial relationships | Biqiu Tang: No Answer | Su Lui: No Answer | Bo Wu: DO NOT have relevant financial relationships
Meeting Info:
Session Info:

Clinical Rehabilitation and Recovery Moderated Poster Tour

Wednesday, 02/05/2025 , 06:00PM - 07:00PM

Moderated Poster Abstract Session

More abstracts on this topic:
Bridging the Gap in Stroke Care: Enhancing Early Detection of Cognitive Impairments Through Standardized Screening Improves Therapy Referrals

Phillips Taylor, Vnenchak Leslie, Sloane Kelly

Comparing hypodensity and volume measurements for ischemic stroke patients in admission CT between CTP ischemic core, DWI, and deep learning based CT regions of interest

Van Voorst Henk, Mlynash Michael, Zaharchuk Greg, Lansberg Maarten, Albers Gregory, Heit Jeremy, Zamarud Aroosa, Liu Yongkai, Wouters Anke, Seners Pierre, Mahammedi Abdelkader, Verhaaren Benjamin, Christensen Soren, Yuen Nicole

More abstracts from these authors:
Mapping the cerebral structural changes related to the multi-dimensional neuropsychiatric deficits in patients with ischemic thalamic stroke

Li Congjun, Ye Chen, Pan Ruosu, Yan Yuying, Jiang Shuai, Cao Le, Wu Bo

Iron deposition changes of ipsilateral ventral posterolateral nuclei correlate with central post-stroke pain after thalamic infarction

Ye Chen, Shuai Jiang, Liu Junfeng, Tao Wendan, Lui Su, Wu Bo, Tang Biqiu, Pan Ruosu, Kwapong William Robert, Cao Le, Yan Yuying, Yang Tang, Zhang Xuening, Zhang Miaoqi

You have to be authorized to contact abstract author. Please, Login
Not Available

Readers' Comments

We encourage you to enter the discussion by posting your comments and questions below.

Presenters will be notified of your post so that they can respond as appropriate.

This discussion platform is provided to foster engagement, and simulate conversation and knowledge sharing.

 

You have to be authorized to post a comment. Please, Login or Signup.


   Rate this abstract  (Maximum characters: 500)