Logo

American Heart Association

  113
  0


Final ID: 29

Non-gated Dual-source Photon-counting CT Angiography Can Detect Cardioembolic Sources Of Acute Ischemic Stroke At The Primary Investigation: A Retrospective Consecutive Cohort Study

Abstract Body: Introduction:
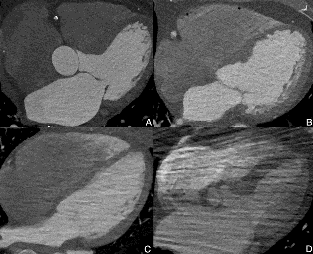
Early identification of the etiology of ischemic stroke is crucial for secondary prevention. Recent publications on dedicated ECG-gated cardiac CT showcase the potential to detect sources of cardiac embolism.

Photon-counting CT (PCCT) uses semiconductors to convert X-ray photons into electrical signals directly. This allows for improved image quality and lower radiation dose compared to conventional CT. Exploiting PCCT technology with a high-pitch dual-source image acquisition may render an exceptionally high temporal resolution.

We hypothesized that non-ECG-gated high-pitch dual-source PCCT angiography from the diaphragm to the brain might provide added clinical value in detecting cardiac stroke sources during initial stroke imaging while maintaining optimal brain and neck image quality.

Methods:
Consecutive patients with a clinical suspicion of acute stroke imaged with a PCCT system between October 4th, 2023 and April 13th, 2024 at a Swedish comprehensive stroke center were included. Diaphragm to brain coverage was obtained in an acquisition time of 1.3 seconds; on average, yielding a dose-length product of 360 mGy*cm for the study participants (2.34 mSv). Image quality was graded using a 4-point Likert scale. Images were assessed for cardiac stroke sources. Where available, reference standard echocardiography results were collected.

Results:
Of 249 consecutive stroke investigations, 193 included cardiothoracic imaging, which constituted the study population. 126 scans (65.3%) were cases with imaging confirmed ischemic stroke. The median age was 74 (IQR, 61-81) years, 99 were male (51.3%). In total, 39.4% underwent follow-up echocardiography.

Image quality of the heart was excellent in 19 scans (9.8%) good in 97 (50.3%), moderate in 72 (37.3%), and poor in 5 scans (2.6%). Fourteen (7.3%) certain or probable interatrial septal defects were found in the study population. In the imaging-confirmed ischemic stroke subgroup, six certain or probable cardiac thrombi were found (4.8%). Additionally, a possible cardiac thrombus was found in 31 instances (24.6%). Three aortic valve vegetations were found (2.4%), all confirmed by echocardiography.

Conclusions:
Non-ECG-gated high-pitch dual-source PCCT angiography typically provides images of high quality, at virtually no time expense while maintaining a reasonably low radiation exposure. Non-gated PCCT angiography is a promising technique to be used as a primary screening method for cardioembolic stroke.
  • Stahl, Fredrik  ( Karolinska Institutet , Stockholm , Sweden )
  • Szum, Adrian  ( Karolinska Institutet , Stockholm , Sweden )
  • Damlin, Anna  ( Karolinska Institutet , Stockholm , Sweden )
  • Planken, R. Nils  ( Amsterdam UMC , Amsterdam , Netherlands )
  • Coutinho, Jonathan  ( Amsterdam UMC , Amsterdam , Netherlands )
  • Granberg, Tobias  ( Karolinska Institutet , Stockholm , Sweden )
  • Lundberg, Johan  ( Karolinska Institutet , Stockholm , Sweden )
  • Author Disclosures:
    Fredrik Stahl: DO NOT have relevant financial relationships | Adrian Szum: DO NOT have relevant financial relationships | Anna Damlin: No Answer | R. Nils Planken: No Answer | Jonathan Coutinho: No Answer | Tobias Granberg: DO NOT have relevant financial relationships | Johan Lundberg: DO have relevant financial relationships ; Individual Stocks/Stock Options:Smartcella AB:Active (exists now)
Meeting Info:
Session Info:

Imaging Oral Abstracts I

Wednesday, 02/05/2025 , 09:15AM - 10:45AM

Oral Abstract Session

More abstracts on this topic:
Computed Tomography Cardiac Angiography Guided vs Invasive Angiography Alone in Patients with Prior Coronary Artery Bypass Grafting: A Systematic Review and Meta-Analysis

Lingamsetty Shanmukh Sai Pavan, Pamreddy Hrushikesh Reddy, Gaddam Vinuthna, Jitta Sahas Reddy, Vatsavayi Priyanka, Patel Nirmit, Tera Chenna Reddy, Mishra Tanisha, Perumalla Hima Sanjana, Gudiwada Mohan Chandra Vinay Bharadwaj, Jasti Jaswanth

A Case Report: Outpatient Diagnosis of Venous Stent Migration - Avoiding Catastrophic Outcomes

Basnyat Anouksha, Pamganamamula Madhu, Naidu Raja, Pamganamamula Teja, Manchiraju Srinidhi, Gaddam Srilakshmi, Panganamamula Lalitha

More abstracts from these authors:
Volume of brain saved in patients with a medium distal vessel occlusion stroke treated with endovascular therapy plus best medical treatment versus best medical treatment alone: A sub-analysis of the DISTAL Trial

Anastasiou Aikaterini, Arenillas Juan, Martínez-galdámez Mario, Hajdu Steven, Michel Patrik, Gralla Jan, Piechowiak Eike, Kaiser Daniel, Puetz Volker, Van Den Bergh Frans R.a., De Raedt Sylvie, Corbaz Helene, Bellante Flavio, Dusart Anne, Hellstern Victoria, Khanafer Ali, Parrilla Guillermo, Morales Ana, Kirschke Jan, Wunderlich Silke, Fiehler Jens, Thomalla Gotz, Brehm Alex, Lemmens Robin, Peluso Jo, Bolognese Manuel, Von Hessling Alexander, Van Es Adriaan, Kruyt Nyika, Coutinho Jonathan, Castano Carlos, Minnerup Jens, Van Zwam Wim, Müller Lioba, Dhondt Elisabeth, Nolte Christian, Machi Paolo, Loehr Christian, Mattle Heinrich, Buhk Jan-hendrik, Kaesmacher Johannes, Dobrocky Tomas, Papanagiotou Panagiotis, Alonso Angelika, Christodoulou Evangelia, Holtmannspoetter Markus, Zini Andrea, Renieri Leonardo, Keil Fee, Van Den Wijngaard Ido, Kaegi Georg, Fragata Isabel, Katan Mira, Leker Ronen, Saver Jeffrey, Ribo Marc, Staals Julie, Rommers Nikki, Balmer Luzia, Fischer Urs, Psychogios Marios, On Behalf Of The Distal Investigators ., Rizzo Federica, Strbian Daniel, Raty Silja

Novel imaging modalities for stroke prevention

Schambra Heidi, Ospel Johanna, Leslie-mazwi Thabele, Coutinho Jonathan, Tirschwell David

You have to be authorized to contact abstract author. Please, Login
Not Available

Readers' Comments

We encourage you to enter the discussion by posting your comments and questions below.

Presenters will be notified of your post so that they can respond as appropriate.

This discussion platform is provided to foster engagement, and simulate conversation and knowledge sharing.

 

You have to be authorized to post a comment. Please, Login or Signup.


   Rate this abstract  (Maximum characters: 500)