Logo

American Heart Association

  68
  0


Final ID: FR404

To Revascularize or Not to Revascularize Renal Artery Stenosis? A Case of Pickering Syndrome: Renal Artery Stenosis with Flash Pulmonary Edema

Abstract Body: Case Description
A 78-year-old female with a history of hypertension, coronary artery disease, renal artery stenosis (RAS) with prior left renal artery stent placement, heart failure with reduced ejection fraction, stage IV chronic kidney disease, and recurrent hypertensive emergency presented with acute on chronic dyspnea. Blood pressure on arrival was 170/92 and oxygen saturation 85% requiring continuous positive airway pressure. Exam was significant for bilateral crackles. Initial work-up revealed severe respiratory and metabolic acidosis, elevated lactate and pro-BNP, moderate troponinemia, ST depressions in II, V5 and V6, pulmonary edema on CXR, and baseline 30-35% LV ejection fraction on echocardiogram.

Differential Diagnosis
Presentation was consistent with hypertensive emergency complicated by flash pulmonary edema. The differential diagnosis included non-adherence to anti-hypertensives, dietary triggers, worsening renal failure, and recurrent or worsening RAS.

Treatment and Management
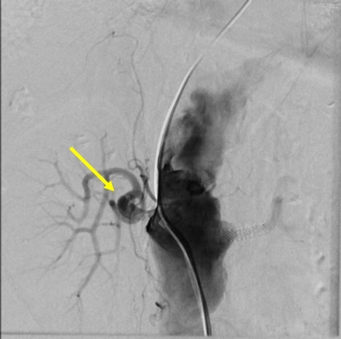
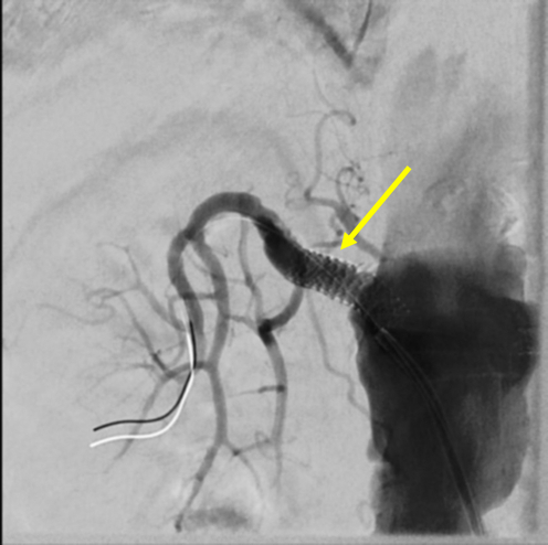
The patient was initially treated with non-invasive ventilation, a continuous nitroglycerin infusion, and IV furosemide with rapid improvement in her symptoms and vital signs. She was quickly transitioned to simple nasal cannula and oral antihypertensive medications; IV diuresis was continued. However, despite these initial improvements, her renal function steadily worsened over the subsequent days. Renal doppler ultrasound revealed an elevated right renal artery peak systolic velocity of 292 cm/sec with delayed acceleration times. After an interdisciplinary discussion, she underwent right renal artery angiography and drug-eluting stent placement.

Outcome and Follow-Up
Post-procedural renal doppler ultrasound showed an improvement in right-sided PSV to 137 cm/sec with no evidence of RAS. Post-discharge blood pressures remained improved and her renal injury resolved with no further hospitalizations after six months.

Discussion
Here we describe a case of recurrent flash pulmonary edema, likely as a consequence of RAS, historically described as Pickering syndrome. We report successful treatment of hypertension and renal injury with renal artery angioplasty and stenting, in contrast to the ASTRAL trial findings of no revascularization benefit compared to medical therapy alone. Pickering syndrome requires prompt recognition and is a subset of RAS in which percutaneous revascularization may be considered as a potential approach to acute management and long-term prevention.
  • Hynds, Melissa  ( Columbia University Vagelos College , New York , New York , United States )
  • Park, Calvin  ( Columbia University Irving Medical Center , New York , New York , United States )
  • Bruce, Samuel  ( Columbia University Irving Medical Center , New York , New York , United States )
  • Fleck, Elaine  ( Columbia University Irving Medical Center , New York , New York , United States )
  • Author Disclosures:
    Melissa Hynds: DO NOT have relevant financial relationships | Calvin Park: No Answer | Samuel Bruce: No Answer | Elaine Fleck: No Answer
Meeting Info:
Session Info:

Poster Session 2 with Breakfast Reception

Friday, 09/05/2025 , 09:00AM - 10:30AM

Poster Session

More abstracts on this topic:
Acute Pulmonary Edema in Peripartum Period: An Unusual Presentation of Takotsubo Cardiomyopathy

Sharma Chinmaya, Bhave Aditya, Bajaj Pratima, Dunlap Stephanie, Sharma Gyanendra

Blood pressure polygenic score predicts long-term blood pressure control and treatment-resistant hypertension

Cho So Mi, Honigberg Michael, Fahed Akl, Patel Aniruddh, Hornsby Whitney, Natarajan Pradeep, Ruan Yunfeng, Lee Hyeok-hee, Koyama Satoshi, Juraschek Stephen, Allen Norrina, Yang Eugene, Mcevoy John, Secemsky Eric

You have to be authorized to contact abstract author. Please, Login
Not Available